北海道札幌市中央区北5条西2-5 JRタワーオフィスプラザさっぽろ13F
・JR札幌駅直結
・地下鉄 南北線 さっぽろ駅 2番出口直結
・地下鉄 東豊線 さっぽろ駅 18番出口直結
0120-828-233
受付時間:AM10:00~PM11:00(土・日・祝日も対応)


目元のたるみのせいで実年齢より老けて見られることはないですか?
たるみを取って本来の若々しい目元を取り戻しましょう!
目尻が下がってきた、二重幅が狭くなってきた、目が開けにくい...
状態に応じて本当に必要な治療のみを正直に丁寧に提案いたします
形成外科医として手術歴1500件以上の崔医師が
若返りの主治医として最後まで責任をもって担当させていただきます!


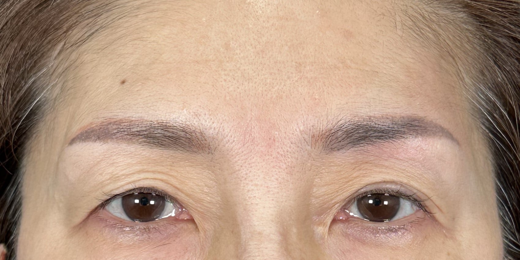
眉下リフト(眉下切開)は、眉下のたるんだ皮膚を切開して引き上げ、たるみ改善の施術です。
眉下の余剰皮膚を除去することで、目元の自然な印象は変えずに上眼瞼のたるみが改善します。
上まぶたのたるみが気になる方、まぶたの厚みが気になる方などにオススメです。


クリニック案内
モニター情報 No.149-0584
北海道札幌市中央区北5条西2-5 JRタワーオフィスプラザさっぽろ13F
・JR札幌駅直結
・地下鉄 南北線 さっぽろ駅 2番出口直結
・地下鉄 東豊線 さっぽろ駅 18番出口直結
0120-828-233
受付時間:AM10:00~PM11:00(土・日・祝日も対応)
必ずご確認ください
※お問い合わせの際にはモニター番号が必要になりますので、
モニター番号をお控えの上、お問い合わせください。
違う条件でモニターを探す
