神奈川県川崎市麻生区上麻生1丁目20番1号 小田急アコルデ新百合ヶ丘 7階
・小田急小田原線 新百合ヶ丘駅 徒歩1分
0120-502-094
受付時間:AM10:00~PM11:00(土・日・祝日も対応)


高度な知識・技術・経験を持つ形成外科専門医が
「取れづらい一生物の二重」を叶えます!
切開整形のもつダウンタイムや傷跡などのリスクを、切開・縫合の技術で極力抑えて理想の二重に。
埋没法では難しい幅広二重をご希望の方や、まぶたの厚みで埋没二重が取れてしまった方など、
ぜひ一度ご相談にお越しください!
丁寧で親身なカウンセリングでお客様にピッタリの似合わせ二重をご提案いたします。


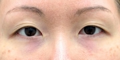
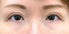
全切開法は、デザインしたラインにそってメスを入れて皮膚を切開し、強固な二重を作る二重整形です。
まぶたのたるみや厚みを調整することができるため、埋没二重だけでは難しかった二重ラインを実現することもでき、幅の広い平行二重などにも対応できるところがポイントです。
取れづらい二重をご希望の方、まぶたが重めの方、二重のデザインにこだわりのある方にオススメです。
皮膚を切開したのち、たるみの原因となっている余剰皮膚を切除します。
次いで皮下にある眼輪筋や瞼板、眼窩隔膜などの処理を丁寧に行うことで切開したラインに強固な二重を作ります。必要に応じて眼窩脂肪も除去します。
まぶたのたるみをスッキリさせつつ二重を作りたい方、二重が取れる心配をしたくない方にはこの方法がおすすめです。
瞼(まぶた)の開きが弱い、もしくは悪い状態を言います。
眼瞼下垂になると視界が狭くなってしまうだけでなく、常に眠そうな表情に見えてしまうといった外見上の問題もあります。
先天性のものと後天性のものがあり、眼瞼下垂の多くは後天性です。
湘南美容クリニックでは、挙筋短縮術をおこなっております。
挙筋短縮術とは、瞼板から挙筋をはずして縫い縮め、引き上げる力をより強くする方法です。二重の方は二重のラインに沿って、一重の方は睫毛直上を切開します。
目頭切開とは、目頭を数ミリ切開して「蒙古(もうこ)ひだ」を取り除くことで、目を大きくみせたり、左右の目のバランスを整える施術です。埋没二重術だけでは二重ラインを作るのが難しい方も、目頭切開を併用することで理想の二重を手に入れることができます。
蒙古ひだが張っている方、離れ目が気になる方、強固な二重ラインがほしい方などにおすすめです。
全切開法は、デザインしたラインにそってメスを入れて皮膚を切開し、強固な二重を作る二重整形です。
まぶたのたるみや厚みを調整することができるため、埋没二重だけでは難しかった二重ラインを実現することもでき、幅の広い平行二重などにも対応できるところがポイントです。
取れづらい二重をご希望の方、まぶたが重めの方、二重のデザインにこだわりのある方にオススメです。
ROOFとはまぶたの皮膚の浅い部分にある皮下脂肪のことです。後眼輪筋脂肪、または隔膜前脂肪とも呼ばれる上眼瞼脱脂の際に、眼窩脂肪だけでなくROOFを切除することでまぶたの厚みを解消し、すっきりとした上眼瞼を作ることができます。
通常、ROOF切除を単独で施行することはなく、全切開術や眼瞼下垂術と合わせて行うことが多い施術です。


| 施術名 | モニター価格(税込) |
|---|---|
| 全切開法二重術 | 175,000円 |
| タルミ取り併用全切開法二重 | 224,000円 |
| 目尻切開法 | 132,240円 |
| 目頭切開プレミアム | 132,240円 |
| 眼瞼下垂 | 266,280円 |
| ROOF切除 | 66,110円 |
%20(1)(3).png)
%20(1)(3).png)
クリニック案内
モニター情報 No.162-0096
神奈川県川崎市麻生区上麻生1丁目20番1号 小田急アコルデ新百合ヶ丘 7階
・小田急小田原線 新百合ヶ丘駅 徒歩1分
0120-502-094
受付時間:AM10:00~PM11:00(土・日・祝日も対応)
必ずご確認ください
※お問い合わせの際にはモニター番号が必要になりますので、
モニター番号をお控えの上、お問い合わせください。
違う条件でモニターを探す
