福島県郡山市駅前一丁目16番7号 アティ郡山8階
・JR郡山駅西口徒歩3分
0120-239-140
受付時間:AM10:00~PM11:00(土・日・祝日も対応)


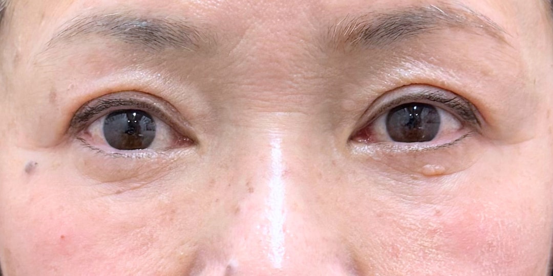
目元のクマは、どんなにメイクをしても隠しきれず、実年齢より老けた印象や疲れた印象を与えてしまう原因になります。クマの種類や原因は一人ひとり異なるため、お客様の状態を丁寧に見極めたうえで、最適な治療をご提案いたします。ただ隠すのではなく、原因に直接アプローチすることで、明るく若々しく、清潔感のある目元へと導きます。
クリニック案内
モニター情報 No.182-0106
必ずご確認ください
※お問い合わせの際にはモニター番号が必要になりますので、
モニター番号をお控えの上、お問い合わせください。
違う条件でモニターを探す
