東京都中央区銀座1丁目3-9 マルイト銀座ビル2階
・東京メトロ有楽町線 銀座一丁目駅 3番出口 徒歩1分
・東京メトロ有楽町線 有楽町駅 D9番出口 徒歩2分
・東京メトロ銀座線・丸ノ内線・日比谷線 銀座駅C8出口 徒歩5分
・JR有楽町駅 徒歩5分
0120-750-712
受付時間:AM10:00~PM11:00(土・日・祝日も対応)


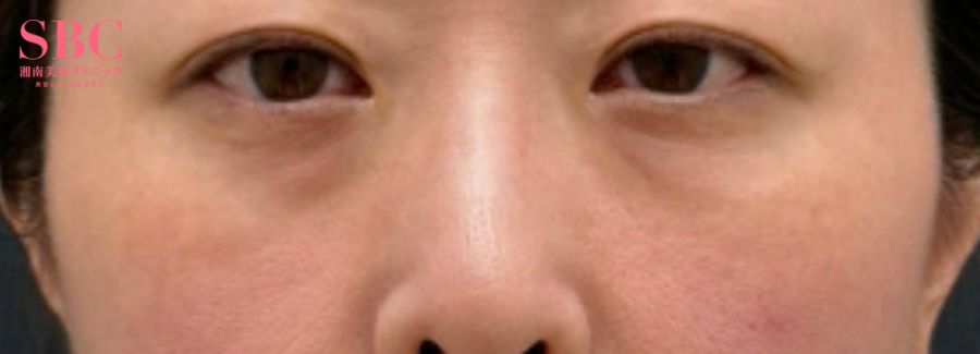
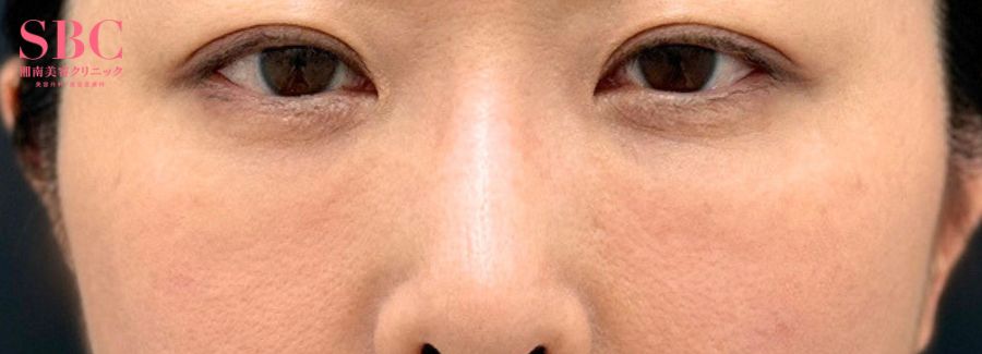
目の下のふくらみに伴って凹凸が目立ってくると目の下に「影」ができます。
これが老け見えや疲れ顔、不機嫌顔の原因になり、一度できてしまった目の下のクマやたるみは、マッサージや化粧品などのセルフケアでの解消は難しいのが現実です。
目の下の膨らみをとって若返りした人続出中!!
人気女医 中井りえ医師にお任せください♪





| 施術名 | モニター価格(税込) |
|---|---|
| ナチュラル脂肪注射(法令線) | 57,750円 |
| ナチュラル脂肪注射(ゴルゴ線) | 57,750円 |
| ナチュラル脂肪注射(目の下) | 57,750円 |
| ナチュラル脂肪注射(目の下~ゴルゴ) | 86,620円 |
| ナチュラル脂肪注射(口角) | 43,300円 |
| 目の下の切らないクマ・たるみ(ふくらみ)取り(麻酔(局所麻酔)代が含まれています。※別途安心麻酔(静脈麻酔)代がかかります。 ) | 79,100円 |
クリニック案内
モニター情報 No.194-0100
東京都中央区銀座1丁目3-9 マルイト銀座ビル2階
・東京メトロ有楽町線 銀座一丁目駅 3番出口 徒歩1分
・東京メトロ有楽町線 有楽町駅 D9番出口 徒歩2分
・東京メトロ銀座線・丸ノ内線・日比谷線 銀座駅C8出口 徒歩5分
・JR有楽町駅 徒歩5分
0120-750-712
受付時間:AM10:00~PM11:00(土・日・祝日も対応)
必ずご確認ください
※お問い合わせの際にはモニター番号が必要になりますので、
モニター番号をお控えの上、お問い合わせください。
違う条件でモニターを探す
