神奈川県横浜市港北区新横浜三丁目6-2 新横浜ゲートサイド7階
・新横浜駅 徒歩3分
0120-859-726
受付時間:AM10:00~PM11:00(土・日・祝日も対応)


/
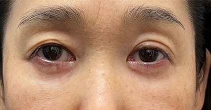
藤塚医師による目元の若返り術です!繊細な手術をお手頃価格で受けるレアなチャンス!
顔出しモニター募集中!
\
目の下の余分な脂肪を取り除き、ハリのある生き生きとした目元に!
クマやたるみがなくなるだけで自然な若返りが叶う!
20代から70代まで幅広い層から支持されております。
藤塚医師による「クマ・たるみ(ふくらみ) 取り」の顔出しモニター様、絶賛募集中です!

たるみの原因「目袋3脂肪」をまぶたの裏側から除去する治療です。
お客様一人ひとりに合わせて適切な量の脂肪を取り除き、除去量によって値段が変わる事はありません。 また、裏側からのアプローチのため傷跡は残りません!

目の下の脂肪による膨らみと凹みが同時に改善出来る治療です。膨らんでいる部分からくぼんでいる部分に眼窩脂肪を移動させることで、膨らみと溝を同時に改善し、フラットな状態にすることができるため、眼窩脂肪を切り離すことなくクマを改善することができます。
裏側からアプローチするため皮膚表面には傷跡が残りません。

目の下の脂肪による膨らみと凹み、皮膚のたるみを同時に改善出来る施術です。
目立ちづらい下まぶたのまつ毛の際から皮膚を切開するためダウンタイムはございますが、綺麗な目元を実現できます。
※まつ毛の際の傷跡は術後ほとんど手術跡が目立たなくなります。

ナチュラル脂肪注射コンデンスリッチとは、ご自身の脂肪を注入することで、注入箇所にハリと潤いを蘇らせ、ふっくらとして丸みを帯びた健康的な素顔を形成することができます。また採取した脂肪は、遠心分離にかけ、コンデンス(濃縮)技術で不純物を除去、健全な濃縮脂肪細胞=コンデンスリッチファット(CRF) だけを注入するため、高い定着率を実現し、吸引した脂肪を最大限に活かせる若返り法です。
ナチュラル脂肪注射ナノリッチは、ナチュラル脂肪注射コンデンスリッチをさらに研ぎ澄まし、ナノ化した脂肪注入の方法です。脂肪細胞に含まれる繊維組織を除去して滑らかにし、脂肪から極少量しか取れない研ぎ澄まされた良質な幹細胞と小さな脂肪からなる不純物の少ない極小脂肪を注入します。顔の浅いしわや色味、肌質の改善が期待できます。まぶたなどの薄い皮膚にも注入でき、目のくぼみや目の下のたるみ・クマにも有効です。


| 施術名 | モニター価格(税込) |
|---|---|
| ナチュラル脂肪注射コンデンスリッチ(コンデンスリッチフェイス作成料) | 41,250円 |
| ナチュラル脂肪注射コンデンスリッチ(法令線) | 41,250円 |
| ナチュラル脂肪注射コンデンスリッチ(ゴルゴ) | 41,250円 |
| ナチュラル脂肪注射コンデンスリッチ(目の下) | 41,250円 |
| ナチュラル脂肪注射コンデンスリッチ(目の下~ゴルゴ) | 61,870円 |
| ナチュラル脂肪注射コンデンスリッチ(全顔入れ放題) | 234,000円 |
| ナチュラル脂肪注射ナノリッチ(ナノリッチ作成料) | 81,990円 |
| ナチュラル脂肪注射ナノリッチ(ゴルゴ線) | 41,250円 |
| ナチュラル脂肪注射ナノリッチ(目の下) | 41,250円 |
| ナチュラル脂肪注射ナノリッチ(目の下~ゴルゴ) | 61,870円 |
| 裏ハムラ法 | 190,000円 |
| 切開ハムラ(表ハムラ)法 | 190,000円 |
| 目の下の切らないクマ・たるみ(ふくらみ)取り(麻酔(局所麻酔)代が含まれています。※別途安心麻酔(静脈麻酔)代がかかります。 ) | 56,500円 |
クリニック案内
モニター情報 No.196-0051
神奈川県横浜市港北区新横浜三丁目6-2 新横浜ゲートサイド7階
・新横浜駅 徒歩3分
0120-859-726
受付時間:AM10:00~PM11:00(土・日・祝日も対応)
必ずご確認ください
※お問い合わせの際にはモニター番号が必要になりますので、
モニター番号をお控えの上、お問い合わせください。
違う条件でモニターを探す
