神奈川県横浜市港北区新横浜三丁目6-2 新横浜ゲートサイド7階
・新横浜駅 徒歩3分
0120-859-726
受付時間:AM10:00~PM11:00(土・日・祝日も対応)


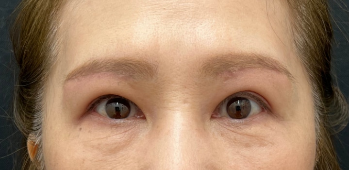
藤塚医師による眉下リフト(眉下切開)のモニター様を絶賛募集中です!
クリニック案内
モニター情報 No.196-0055
神奈川県横浜市港北区新横浜三丁目6-2 新横浜ゲートサイド7階
・新横浜駅 徒歩3分
0120-859-726
受付時間:AM10:00~PM11:00(土・日・祝日も対応)
必ずご確認ください
※お問い合わせの際にはモニター番号が必要になりますので、
モニター番号をお控えの上、お問い合わせください。
違う条件でモニターを探す
