大阪府高槻市紺屋町1番1 グリーンプラザたかつき1号館3階
・JR高槻駅 徒歩1分
・阪急高槻市駅 徒歩10分
0120-526-791
受付時間:AM9:30~PM11:00(土・日・祝日も対応)


【全国3位※の実績】
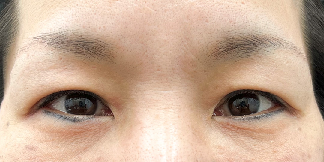
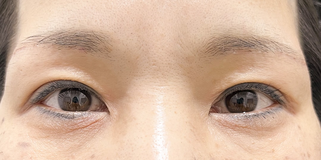
京都院・原田俊平医師による唯一無二の眉下リフト?
元”移植外科医”として血管レベルの緻密な操作を極め、外科歴10年以上の経験を持つベテラン。2025年SBCアワードでは、500名弱の医師の中から優秀ドクターを受賞しました?
最大の強みは、丁寧な対応と圧倒的な縫合技術。腫れや内出血を最小限に抑え、ダウンタイム中も驚くほど綺麗な状態で過ごせます。
自分らしさを活かした自然な若返りは、女性だけでなく多くの男性からも支持されています。美しさと安心を両立する、熟練の技術を京都院で。
※2025年下半期 SBC内 眉下リフト執刀件数
クリニック案内
モニター情報 No.197-0046
大阪府高槻市紺屋町1番1 グリーンプラザたかつき1号館3階
・JR高槻駅 徒歩1分
・阪急高槻市駅 徒歩10分
0120-526-791
受付時間:AM9:30~PM11:00(土・日・祝日も対応)
必ずご確認ください
※お問い合わせの際にはモニター番号が必要になりますので、
モニター番号をお控えの上、お問い合わせください。
違う条件でモニターを探す
