大阪府高槻市紺屋町1番1 グリーンプラザたかつき1号館3階
・JR高槻駅 徒歩1分
・阪急高槻市駅 徒歩10分
0120-526-791
受付時間:AM9:30~PM11:00(土・日・祝日も対応)


原田医師が担当する若返り術モニター
モニターページをご覧いただきありがとうございます。
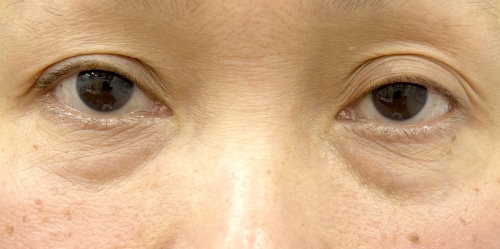
目の下の膨らみ、クマ、気になりますよね。
老けてみえたり、疲れてみえたり…?
クマにも種類がありますが、いわゆる影クマ、黒クマの場合は、目の下の脂肪が前に押し出されていることが原因です。
目の下の切らないクマ取り(脂肪取り)手術で解決する可能性がありますので、ぜひ一度ご相談くださいね。
目の下のクマ・疲れ顔にサヨナラするなら
確かな技術力の原田俊平にお任せください。



生まれつき眼窩脂肪が多い方や加齢、眼精疲労などにより脂肪が押し出されることで”クマ”ができます。
脂肪を下瞼の裏側から切除するのでお顔の表面に傷が残ることなく目の下のたるみを改善できます。
目の下のクマ・たるみ(ふくらみ)は、眼窩脂肪という、眼球を支えている脂肪が前方に突出してくることで生じます。
膨らんでいる部分からくぼんでいる部分に眼窩脂肪を移動させることで、膨らみと溝を同時に改善し、フラットな状態にすることができるため、眼窩脂肪を切り離すことなくクマを改善することができます。
※原則として脂肪の減量を行いませんが、脂肪過多の場合、脂肪の減量を行うことがあります。
※クマの状態により、適応外の場合がございます。カウンセリングの際に医師にご相談ください。
目立ちづらい下まぶたのまつ毛の際から皮膚を切開し、膨らんでいる部分からくぼんでいる部分に眼窩脂肪を移動させることで、膨らみと溝を同時にフラットにすることができるため、眼窩脂肪を切り離すことなくクマを改善することができます。
同時に余分な皮膚も切除することができるので、膨らみが大きい方・皮膚の余りが気になる方にお勧めの施術です。
※クマの状態により、適応でない場合がございます。
カウンセリングの際に医師にご相談ください。
アイバックリムーブ法は、目の下の余剰皮膚切除&眼窩脂肪除去を行い目袋と皮膚のたるみを改善する方法です。
下瞼を支える力が弱い人には、眼輪筋の引き上げ固定や、緩んだ下瞼の短縮手術などが必要です(追加には別途料金がかかります)。
下まぶたまつ毛の下の皮膚を切開するので、術後抜糸が必要です。
皮膚の切開線はまつ毛の際に隠しますので、お時間が経過すればほとんどわかりません。
目の下の不要な脂肪を取るだけでは凹みが余計に強調されてしまいます。
クマ取りと脂肪注入を併用することで脂肪の膨らみと頬の凹み両方が改善され、影のない自然なお目元になります。


| 施術名 | モニター価格(税込) |
|---|---|
| ナチュラル脂肪注射コンデンスリッチ(コンデンスリッチフェイス作成料) | 57,750円 |
| ナチュラル脂肪注射コンデンスリッチ(法令線) | 57,750円 |
| ナチュラル脂肪注射コンデンスリッチ(ゴルゴ) | 57,750円 |
| ナチュラル脂肪注射コンデンスリッチ(目の下) | 57,750円 |
| ナチュラル脂肪注射コンデンスリッチ(目の下~ゴルゴ) | 86,620円 |
| アイバックリムーブ法 | 126,170円 |
| 裏ハムラ法 | 266,000円 |
| 切開ハムラ(表ハムラ)法 | 266,000円 |
| 目の下の切らないクマ・たるみ(ふくらみ)取り(麻酔(局所麻酔)代が含まれています。※別途安心麻酔(静脈麻酔)代がかかります。 ) | 79,100円 |

クリニック案内
モニター情報 No.197-0047
大阪府高槻市紺屋町1番1 グリーンプラザたかつき1号館3階
・JR高槻駅 徒歩1分
・阪急高槻市駅 徒歩10分
0120-526-791
受付時間:AM9:30~PM11:00(土・日・祝日も対応)
必ずご確認ください
※お問い合わせの際にはモニター番号が必要になりますので、
モニター番号をお控えの上、お問い合わせください。
違う条件でモニターを探す
