岡山県倉敷市阿知1丁目1-1 さんすて倉敷2階
・倉敷駅下車すぐ
0120-170-423
受付時間:AM9:00~PM11:00(土・日・祝日も対応)


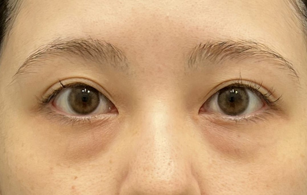
「メイクしても目の下のクマが消えない」「最近老けた気がする...」「疲れた顔に見える」
そんなお悩みをお持ちの方は、目の下のたるみが原因かもしれまれん。
目元がかわるだけで、お顔の印象は一気に変わります。マスク生活だからこそ魅力的な目元で周りと差をつけませんか?
お客様の目元の状態を見ながら、ひとりひとりにあったご提案をさせていただきます。
ぜひ一度ご相談にお越しください。


下まぶたの眼窩脂肪が生まれつき多い方や、加齢・眼精疲労から皮膚や眼輪筋のたるみにより支えきれなくなった眼窩脂肪が押し出された場合、下まぶたにたるみ(目袋)が形成されます。たるみに伴って凹凸が目立ってくると「影」ができるようになり一般的には「クマ」と表現されます。たるみや影のない、ハリのある若々しい目元はお顔全体の見た目年齢が10歳くらい変わると言われています。
膨らんだ眼窩脂肪を取らずに凹んだ部分へ移動・固定をし、黒クマを改善する方法です。
まぶたの裏側にある結膜を切開するので、皮膚表面には傷跡が残りません。
脂肪を再配置するため再発リスクが低く、施術が1回で終わることが多いです。
目立ちづらい下まぶたのまつ毛の際から皮膚を切開し、膨らんでいる部分からくぼんでいる部分に眼窩脂肪を移動させることで、膨らみと溝を同時にフラットにすることができるため、眼窩脂肪を切り離すことなくクマを改善することができます。
同時に余分な皮膚も切除することができるので、膨らみが大きい方・皮膚の余りが気になる方にお勧めの施術です。
※クマの状態により、適応でない場合がございます。
カウンセリングの際に医師にご相談ください。
アイバックリムーブ法は、目の下の余剰皮膚切除&眼窩脂肪除去を行い目袋と皮膚のたるみを改善する方法です。
下瞼を支える力が弱い人には、眼輪筋の引き上げ固定や、緩んだ下瞼の短縮手術などが必要です(追加には別途料金がかかります)。
下まぶたまつ毛の下の皮膚を切開するので、術後抜糸が必要です。
皮膚の切開線はまつ毛の際に隠しますので、お時間が経過すればほとんどわかりません。
自身の脂肪を注入する事で注入箇所にハリを蘇らせ、ふっくらと丸みを帯びた健康的なお顔の形成をする事ができます。また採取した脂肪は、遠心分離にかけ、コンデンス(濃縮)技術で不純物を除去し健全な濃縮脂肪細胞だけを注入するため、高い定着率を実現し、脂肪を最大限に活かせる若返り治療です。
ナノリッチは、コンデンスリッチフェイスをさらに研ぎ澄まし、ナノ化した脂肪注入の方法です。
脂肪細胞に含まれる繊維組織を除去して滑らかにし、脂肪から極少量しか取れない研ぎ澄まされた良質な幹細胞と小さな脂肪からなる不純物の少ない極小脂肪を注入します。顔の浅いしわや色味、肌質の改善が期待できます。 まぶたなどの薄い皮膚にも注入でき、目のくぼみや目の下のたるみ・クマにも有効です。
また、当院では複数の注入口から注入するクリスクロス法を採用しており、肌に生じる凸凹を防いで滑らかで自然に仕上げます。 永続的な効果が期待できる究極の若返り術です。


| 施術名 | モニター価格(税込) |
|---|---|
| ナチュラル脂肪注射コンデンスリッチ(コンデンスリッチフェイス作成料) | 57,750円 |
| ナチュラル脂肪注射コンデンスリッチ(法令線) | 57,750円 |
| ナチュラル脂肪注射コンデンスリッチ(ゴルゴ) | 57,750円 |
| ナチュラル脂肪注射コンデンスリッチ(目の下) | 57,750円 |
| ナチュラル脂肪注射コンデンスリッチ(目の下~ゴルゴ) | 86,620円 |
| ナチュラル脂肪注射コンデンスリッチ(口角) | 43,300円 |
| ナチュラル脂肪注射ナノリッチ(ナノリッチ作成料) | 114,780円 |
| ナチュラル脂肪注射ナノリッチ(目の下) | 57,750円 |
| アイバックリムーブ法 | 126,170円 |
| 裏ハムラ法 | 266,000円 |
| 切開ハムラ(表ハムラ)法 | 266,000円 |
| 目の下の切らないクマ・たるみ(ふくらみ)取り(麻酔(局所麻酔)代が含まれています。※別途安心麻酔(静脈麻酔)代がかかります。 ) | 79,100円 |

クリニック案内
モニター情報 No.200-0128
必ずご確認ください
※お問い合わせの際にはモニター番号が必要になりますので、
モニター番号をお控えの上、お問い合わせください。
違う条件でモニターを探す
