山口県下関市竹崎町4丁目4番10号 大丸下関店7F
・JR「下関駅」・サンデンバス「下関駅」すぐ前
0120-458-167
受付時間:AM9:00~PM11:00(土・日・祝日も対応)


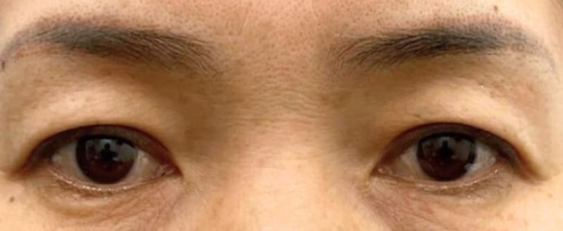
眉下(上瞼)のたるみを取って、たるんだ瞼をすっきりさせます!
瞼のたるみによって狭くなった二重幅も改善できます!
丁寧なカウンセリングと確かな技術で人気の外科専門医・石井医師が担当いたします!


加齢により瞼がたるみ三角目になっている方、上眼瞼が厚く腫れぼったい方、本来の二重ラインがたるみで見えなくなってしまっている方、瞼のたるみが気になるが、ダウンタイムや傷を最小限にしたい方、などにおすすめの施術です。
眉下の余剰皮膚を除去することで、目元の自然な印象は変えずに上眼瞼のたるみが改善します。湘南美容クリニックの眉下リフト(眉下切開)は、眉下のギリギリのラインを切開するので傷が目立ちません。また、本来の眼の形をいじることはないので、整形がばれたくない人にはぴったりの手術です。


クリニック案内
モニター情報 No.202-0009
山口県下関市竹崎町4丁目4番10号 大丸下関店7F
・JR「下関駅」・サンデンバス「下関駅」すぐ前
0120-458-167
受付時間:AM9:00~PM11:00(土・日・祝日も対応)
必ずご確認ください
※お問い合わせの際にはモニター番号が必要になりますので、
モニター番号をお控えの上、お問い合わせください。
違う条件でモニターを探す
