青森県青森市柳川1丁目2番3号 青森駅ビル・ラビナ4階
・青森駅東口 徒歩1分
0120-563-248
受付時間:AM10:00~PM11:00(土・日・祝日も対応)




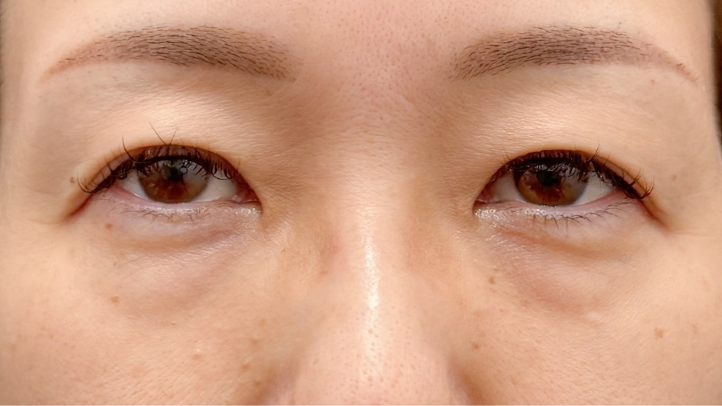
目の下のたるみや凹凸が軽度の場合、脱脂手術のみで改善が期待できます。
しかし、たるみや凹凸が強い場合、脂肪を除去すると逆にくぼみが目立つことがあります。そのため、脂肪注入を併用することで、フラットでクマが目立たない目元を実現し、ハリのある若々しい印象に仕上げます。





| 施術名 | モニター価格(税込) |
|---|---|
| ナチュラル脂肪注射コンデンスリッチ(コンデンスリッチフェイス作成料) | 57,750円 |
| ナチュラル脂肪注射コンデンスリッチ(法令線) | 57,750円 |
| ナチュラル脂肪注射コンデンスリッチ(ゴルゴ) | 57,750円 |
| ナチュラル脂肪注射コンデンスリッチ(目の下) | 57,750円 |
| ナチュラル脂肪注射コンデンスリッチ(口角) | 43,300円 |
| アイバックリムーブ法 | 126,170円 |
| 裏ハムラ法 | 266,000円 |
| 切開ハムラ(表ハムラ)法 | 266,000円 |
| 目の下の切らないクマ・たるみ(ふくらみ)取り(麻酔(局所麻酔)代が含まれています。※別途安心麻酔(静脈麻酔)代がかかります。 ) | 79,100円 |
クリニック案内
モニター情報 No.207-0125
必ずご確認ください
※お問い合わせの際にはモニター番号が必要になりますので、
モニター番号をお控えの上、お問い合わせください。
違う条件でモニターを探す
