青森県青森市柳川1丁目2番3号 青森駅ビル・ラビナ4階
・青森駅東口 徒歩1分
0120-563-248
受付時間:AM10:00~PM11:00(土・日・祝日も対応)


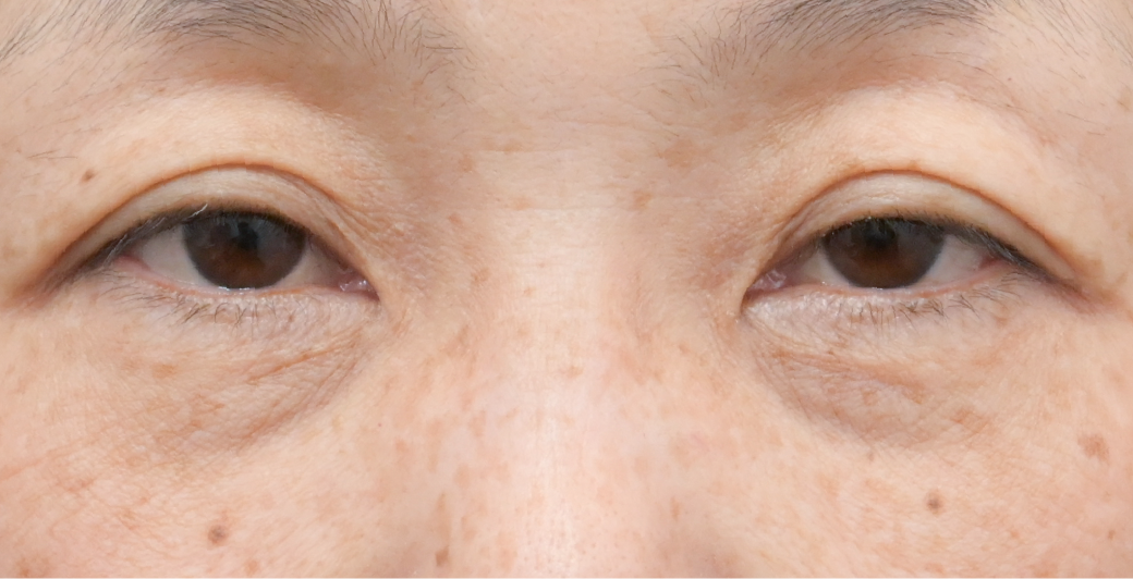
青森院の小原医師による【クマ取り】
目の下の余分な皮膚を切除し、眼窩脂肪を除去することでクマと皮膚のたるみを改善する施術です。
皮膚の切開線はまつ毛の際に隠しますので、お時間が経過すればほとんどわかりません。
形成外科医の小原医師が執刀するから傷跡も綺麗!脱・疲れ顔で若々しい目元に!
クリニック案内
モニター情報 No.207-0127
必ずご確認ください
※お問い合わせの際にはモニター番号が必要になりますので、
モニター番号をお控えの上、お問い合わせください。
違う条件でモニターを探す
