二重・二重整形の症例写真(二重・二重整形)
ドクターが選ぶ BEST SHOT AWARD
症例写真一覧
表示件数:92320件 / 346630件
二重・二重整形 / クイックコスメティーク・ダブルNeo 他 No.198508
【動画あり!】10年連続!患者様数ナンバーワン!(湘南美容外科全ドクター、全施術対象)あの有名な竹田先生による二重術!10年間の二重のり生活でもう限界かなと思い二重術を決意!クイックコスメティーク法ダブル!術直後!術直後の両目
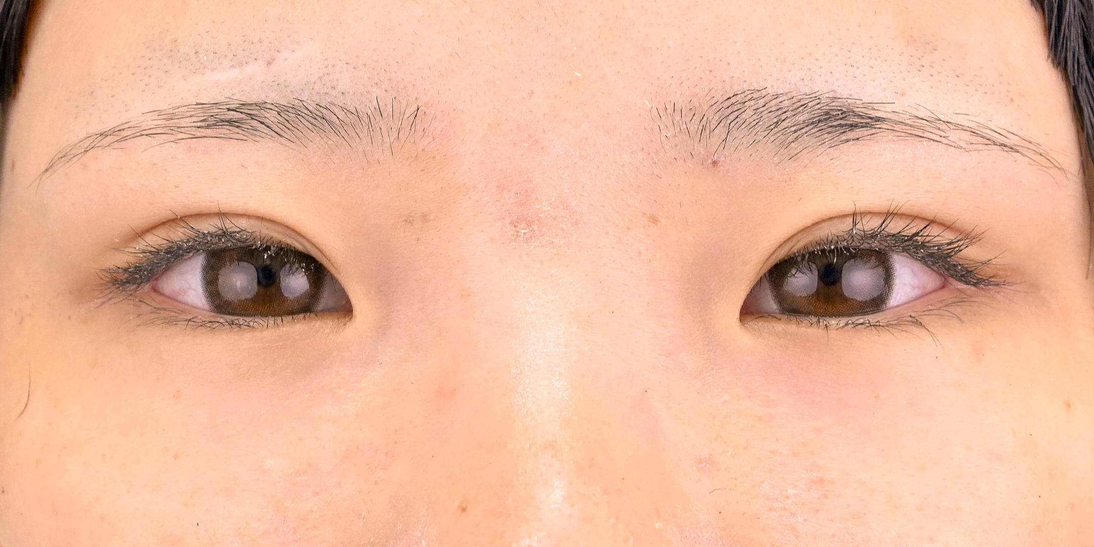
二重・二重整形 / 全切開法二重術 他 No.126931
二重全切開、眼瞼下垂、目頭切開などによる二重整形
二重・二重整形 / 目の下の切らないクマ・たるみ(ふくらみ)取り No.195999
脳神経外科専門医Dr.大野執刀【目の下の切らないタルミ取り】疲れてみえる、目の下のクマが気になるのは、凹みと脂肪が原因になっている場合があります。取ればスッキリしますよ!【術後1ヶ月】
二重・二重整形 / 目の下の切らないクマ・たるみ(ふくらみ)取り No.195997
脳神経外科専門医Dr.大野執刀【目の下の切らないタルミ取り】疲れてみえる、目の下のクマが気になるのは、凹みと脂肪が原因になっている場合があります。取ればスッキリしますよ!【術後1ヶ月】
二重・二重整形 / 目の下の切らないクマ・たるみ(ふくらみ)取り No.195998
脳神経外科専門医Dr.大野執刀【目の下の切らないタルミ取り】疲れてみえる、目の下のクマが気になるのは、凹みと脂肪が原因になっている場合があります。取ればスッキリしますよ!【術後1ヶ月】
二重・二重整形 / クイックコスメティーク・ダブルNeo No.196090
【柏院】【埋没法二重術】モニター人気ランキング全国1位、慶應医学部卒 x ハーバード大学医学部・アメリカ帰りのDr.赤尾による緻密に計算された二重術
二重・二重整形 / クイックコスメティーク・ダブルNeo No.196089
【柏院】【埋没法二重術】モニター人気ランキング全国1位、慶應医学部卒 x ハーバード大学医学部・アメリカ帰りのDr.赤尾による緻密に計算された二重術
二重・二重整形 / 線留めクロス二重術 No.192975
脳神経外科専門医Dr.大野執刀【フォーエバー二重術】糸をクロスさせることで、埋没法なのに持続しやすいラインを作れます!【術後1週間】
二重・二重整形 / No.192964
腫れづらいばれづらい二重術!スッピンで愛らしく、アイメイクで眼力アップ! 脳神経外科専門医Dr.大野執刀、繊細な技術で美しく、自然で、腫れづらいを究極まで追い求めます。【術後1週間】
二重・二重整形 / No.193851
腫れづらいばれづらい二重術!スッピンで愛らしく、アイメイクで眼力アップ! 脳神経外科専門医Dr.大野執刀、繊細な技術で美しく、自然で、腫れづらいを究極まで追い求めます。【術後1ヶ月】
二重・二重整形 / クイックコスメティーク・ダブルNeo No.193161
【新宿本院】【埋没法二重術】モニター人気ランキング全国1位、慶應医学部卒 x ハーバード大学医学部・アメリカ帰りのDr.赤尾による緻密に計算された二重術
二重・二重整形 / クイックコスメティーク・ダブルNeo 他 No.192128
二重整形
二重・二重整形 / 線留めクロス二重術 No.191247
フォーエバー二重術で二重のり要らずのぱっちり二重に♪
二重・二重整形 / 線留めクロス二重術 No.191230
脳神経外科専門医Dr.大野執刀【フォーエバー二重術】糸をクロスさせることで、埋没法なのに持続しやすいラインを作れます!【術後1カ月】
二重・二重整形 / 線留めクロス二重術 No.190871
脳神経外科専門医Dr.大野執刀【フォーエバー二重術】 糸をクロスさせることで、埋没法なのに、持続しやすいラインを作れます。【術後1週間】
二重・二重整形 / クイックコスメティーク・ダブルNeo 他 No.358935
【二重・二重整形】★2025上期 自然癒着セット症例数 九州沖縄エリアNo.1★ご希望に合わせた二重ラインへ!【施術1ヶ月後】【クイックコスメティーク法×自然癒着セット】
二重・二重整形 / クイックコスメティーク・トリプルNeo No.358901
【二重埋没】 岡山で二重埋没法の上手い先生といえば平田医師
二重・二重整形 / クイックコスメティーク・トリプルNeo No.358900
【二重埋没】 岡山で二重埋没法の上手い先生といえば平田医師
二重・二重整形 / クイックコスメティーク・トリプルNeo No.358897
【二重埋没】 岡山で二重埋没法の上手い先生といえば平田医師
二重・二重整形 / クイックコスメティーク・トリプルNeo No.358895
【二重埋没】 岡山で二重埋没法の上手い先生といえば平田医師
































































