症例写真(No.358935)

当院の症例写真は、画像処理により形や大きさをかえるような処理は一切おこなっておりません。

奥一誠 医師

No.358935【二重・二重整形】【二重・二重整形】★2025上期 自然癒着セット症例数 九州沖縄エリアNo.1★ご希望に合わせた二重ラインへ!【施術1ヶ月後】【クイックコスメティーク法×自然癒着セット】

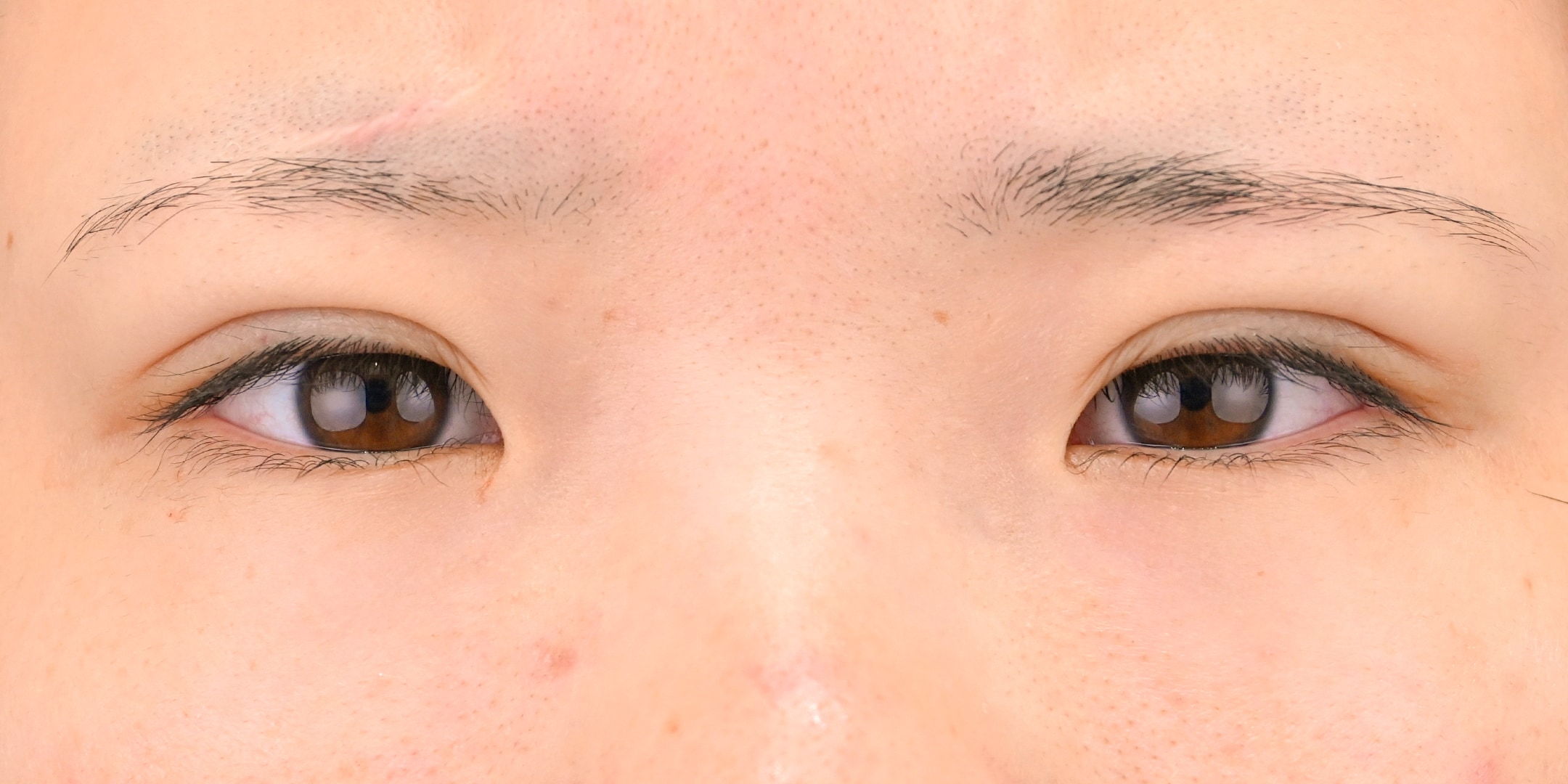
施術前

施術前の状態です。
→

施術後1ヶ月後

術後1ヶ月、目元に合わせたキレイな二重ラインに!
すべての画像を見る

施術した院

部位

施術

施術回数

数量

性別

関連症例写真

術前
術直後
術直後(閉眼)
術後1週間
術後1週間(閉眼)
術後1ヶ月
術後1ヶ月(閉眼)
術後1ヶ月(メイクあり)

施術担当者からのコメント

こちらのモニター様は、元々奥二重で二重のりでラインを作っていたそうです。
二重のラインをキープするのがご希望で、仕上がりに大変お喜びいただけました!

★2025年上期 症例実績★
自然癒着セット SBC内症例数 全国No.3
自然癒着セット SBC内症例数 九州沖縄エリア No.1
SBCデカ目術 SBC内症例数 九州沖縄エリア No.1
目頭切開プレミアム SBC内症例数 九州沖縄エリア No.3
※鹿児島中央院在籍時

目元施術なら奥医師にお任せください!

==========================
【クイックコスメティーク法とは】
瞼の表面に全く傷が付かず、結び目が気にならない、当日からお化粧が可能、
また腫れも最小限、持ちもいい という特徴を持つ、医学的には経結膜的埋没法重瞼術(二重術)と言う画期的な埋没法です。
==========================
【自然癒着セットとは】
まぶたをほんの数ミリ程度切開し、余分な脂肪や筋肉を除去をすることですっきり・パッチリとしたまぶたに仕上げます。
この時、切開部分が治癒する過程で組織の癒着が起きます。この作用を利用することで、
糸で留める埋没法を単独で行うよりも、二重のラインが維持されやすくなりより長持ちします。

★Dr.奥の二重術が選ばれる理由★
・スタッフ本人、ご家族、ご友人の施術を数多く担当
・親身なカウンセリング
・丁寧なデザイン
・美的センスの高さ
・関東で修行した高い技術力
丁寧な診察で、お一人お一人に合わせたデザインで施術させていただきます。
お気軽にご相談ください。

★instagram絶賛更新中★
【奥医師担当】
@sbc_oku

インスタグラムではリアルタイムで沢山の症例写真や
施術動画をあげています!



×

当院におけるワクチン接種後の治療間隔(ガイドライン)

美容皮膚科、美容外科小手術

前後3日(手術日は含まず)、自覚する副反応がなければ可
安心麻酔を使用するものは接種後1週間は空ける

美容外科中、大手術

前後1週間
副反応が残っている場合は延期
接種部位と手術部位が同じ場合は2週間は空ける