美容外科・美容皮膚科・審美歯科なら湘南美容クリニック
電話予約・電話問い合わせ 10:00~22:45対応 番号を通知してお電話ください 0120-489-100
Instagram
LINE
YouTube
公式アプリ
美容皮膚科
あなたに最適な美容メンテナンスをサポートします!
二重整形
これを見たらあなたも思わず二重にしたくなる♡
医療ダイエット
医療ダイエットをしたらマイナス何センチ?リアルな結果を発信中!
若返り
年齢別・お悩み別で「今やるべき美容医療」がわかる美容医療メディア
クマ取り
クマ取り失敗したくない方必見!成功の秘訣満載★
脂肪吸引
美は武器!夜職女性のための美の総合メディア
予約・お問い合わせ
美容外科 MENU
Language
メインメニュー
診療内容一覧
料金一覧
クリニック案内
ドクター一覧
モニター募集
症例写真
よくある質問
当院が選ばれる理由
当院の症例写真は、画像処理により形や大きさをかえるような処理は一切おこなっておりません。
赤尾健 医師
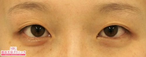
施術前
施術後1週間後
施術した院
部位
施術
施術回数
数量
性別
ご紹介するお客様は20代女性の方です。手術前と手術1週間後の比較写真になります。今回のお悩みは一重であることでした。毎日の二重のりが欠かせなく、まぶたの皮が伸びてしまっていました。ご希望は、平行型二重でした。二重は埋没法の中でも、・最も腫れにくく・最もバレにくく(糸玉のポコつきがしにくい)・最も持ちの良いクイックコスメティーク・ダブルを選択されました。手術1週間後の写真をご覧ください。明らかな左右差・腫れ・内出血などなく、非常に綺麗な二重に仕上がっています。ご希望どおりの仕上がりに、お客様にも大変満足して頂けました!!埋没法はカウンセリングとデザインでほぼ結果が決まります。僕はカウンセリングから徹底的にお客様と話し合い、理想とする二重を共にデザインしています。カウンセリングとデザインの時間の方が手術時間より圧倒的に長いです。時には埋没法が困難な方にははっきりと不適応であることも伝えさせていただいてます。私は美容医療で外見が変わることで自信を持ち、自信のある表情から周りの評価が変化し、好循環を生むことを信じて毎日全力で美容医療に取り組んでいます。たったの10分で人生が変わります!!一緒に理想的な二重を作りましょう!!二重手術はモニターランキング全国No.1、口コミ広場評価No.1の赤尾にお任せください!!執刀医 柏院院長 赤尾健
施術担当者からのコメント
ご紹介するお客様は20代女性の方です。
手術前と手術1週間後の比較写真になります。
今回のお悩みは一重であることでした。
毎日の二重のりが欠かせなく、まぶたの皮が伸びてしまっていました。
ご希望は、平行型二重でした。
二重は埋没法の中でも、
・最も腫れにくく
・最もバレにくく(糸玉のポコつきがしにくい)
・最も持ちの良い
クイックコスメティーク・ダブルを選択されました。
手術1週間後の写真をご覧ください。
明らかな左右差・腫れ・内出血などなく、非常に綺麗な二重に仕上がっています。
ご希望どおりの仕上がりに、お客様にも大変満足して頂けました!!
埋没法はカウンセリングとデザインでほぼ結果が決まります。
僕はカウンセリングから徹底的にお客様と話し合い、理想とする二重を共にデザインしています。
カウンセリングとデザインの時間の方が手術時間より圧倒的に長いです。
時には埋没法が困難な方にははっきりと不適応であることも伝えさせていただいてます。
私は美容医療で外見が変わることで自信を持ち、自信のある表情から周りの評価が変化し、好循環を生むことを信じて毎日全力で美容医療に取り組んでいます。
たったの10分で人生が変わります!!一緒に理想的な二重を作りましょう!!
二重手術はモニターランキング全国No.1、口コミ広場評価No.1の赤尾にお任せください!!
執刀医 柏院院長 赤尾健