美容歯科の症例写真(美容歯科)
症例写真一覧
表示件数:37889件 / 348327件
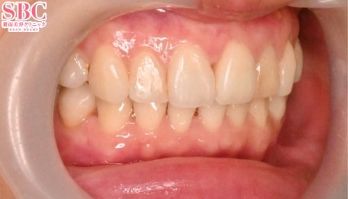
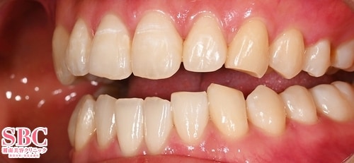
美容歯科 / ダイヤモンドクラウン(ジルコニア) No.359768
古い被せ物の変色をセラミックで改善!
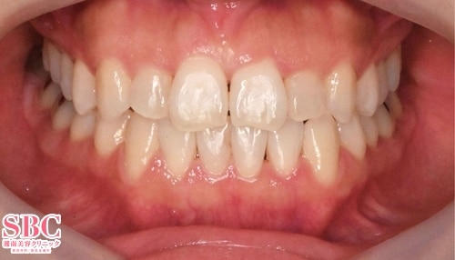
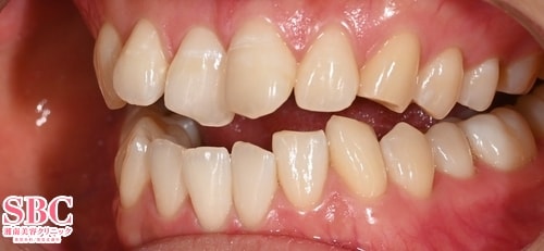
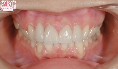
美容歯科 / ダイヤモンドクラウン(ジルコニア) No.359767
【ヒデキ感激セラミック】前歯を小さくする治療/50代女性
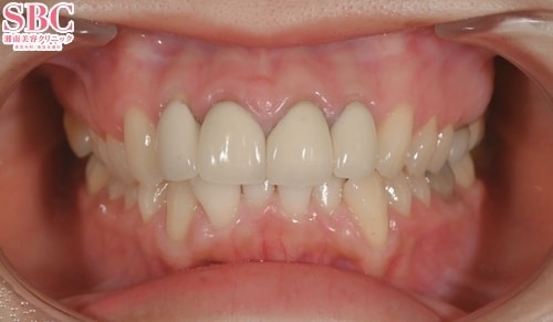
美容歯科 / マウスピース矯正 No.359764
【インビザライン 】横顔の印象を綺麗に!!
美容歯科 / マウスピース矯正 No.359763
【インビザライン モデレート】出っ張り感を整い、口元を綺麗に!!
美容歯科 / マウスピース矯正 No.359762
【インビザライン モデレート】凸凹感をなくし綺麗に並ぶマウスピース矯正
美容歯科 / マウスピース矯正 No.359761
【満足度No.1クラス】 「もっと早くやればよかった!」の声多数!まゆゆ先生が手がける、結果重視のマウスピース矯正【インビザラインGO両顎】
美容歯科 / ダイヤモンドクラウン(ジルコニア) No.359735
【MVP受賞Dr・加瀬れいな】古い被せ物とおさらば!メタルフリーのツヤツヤセラミックで若返る!【セラミック治療】
美容歯科 / ダイヤモンドクラウン(ジルコニア) No.359731
【MVP受賞Dr・加瀬れいな】古い被せ物とおさらば!メタルフリーのツヤツヤセラミックで若返る!【セラミック治療】
美容歯科 / ダイヤモンドクラウン(ジルコニア) No.359730
【MVP受賞Dr・加瀬れいな】古い被せ物とおさらば!メタルフリーのツヤツヤセラミックで若返る!【セラミック治療】
美容歯科 / ダイヤモンドクラウン(ジルコニア) No.359728
【MVP受賞Dr・加瀬れいな】古い被せ物とおさらば!メタルフリーのツヤツヤセラミックで若返る!【セラミック治療】
美容歯科 / プレミアムダイヤモンドセラミック No.359727
竹本先生があなたの笑顔をトータルデザイン!審美性と機能性を両立するセラミック矯正【プレミアムダイヤモンドセラミック】
美容歯科 / マウスピース矯正 No.359724
【満足度No.1クラス】 「もっと早くやればよかった!」の声多数!まゆゆ先生が手がける、結果重視のマウスピース矯正【インビザラインGO両顎】
美容歯科 / ダイヤモンドクラウン(ジルコニア) No.359723
【MVP受賞Dr・加瀬れいな】古い被せ物とおさらば!メタルフリーのツヤツヤセラミックで若返る!【セラミック治療】
美容歯科 / ダイヤモンドクラウン(ジルコニア) No.359722
【MVP受賞Dr・加瀬れいな】古い被せ物とおさらば!メタルフリーのツヤツヤセラミックで若返る!【セラミック治療】
美容歯科 / プレミアムダイヤモンドセラミック No.359721
【プレミアムダイヤモンドセラミック】歯を改善することで華やかな印象に!
美容歯科 / プレミアムダイヤモンドセラミック No.359718
【プレミアムダイヤモンドセラミック】形を変えて印象まで変える矯正
美容歯科 / プレミアムダイヤモンドセラミック 他 No.359703
整形シンデレラファイナリスト担当Drが貴方に贈る 「あなたの笑顔を最高の笑顔に。」〜The Perfect Smile〜 ジルコニアダイヤモンドセラミック
美容歯科 / プレミアムダイヤモンドセラミック 他 No.359701
整形シンデレラファイナリスト担当Drが貴方に贈る 「あなたの笑顔を最高の笑顔に。」〜The Perfect Smile〜 ジルコニアダイヤモンドセラミック
美容歯科 / プレミアムダイヤモンドセラミック No.359700
前歯の突出感と色味が気になる!
美容歯科 / ダイヤモンドオーダーセラミック No.359699
【ダイヤモンドオーダーセラミック】口元の印象を変える矯正

















































