美容歯科の症例写真(美容歯科)
症例写真一覧
表示件数:37907件 / 348460件
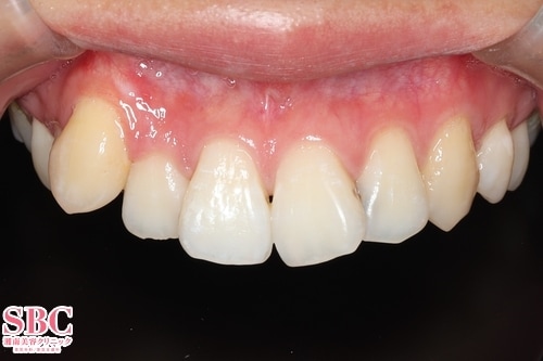
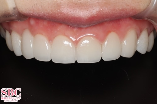
美容歯科 / プレミアムダイヤモンドセラミック No.335867
上の前歯の隙間を改善!!プレミアムダイヤモンドセラミック4本で自然な美しさへ
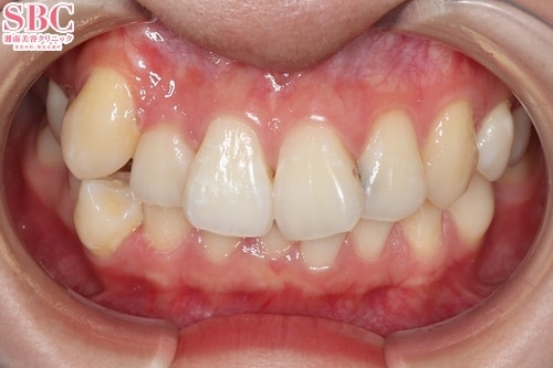
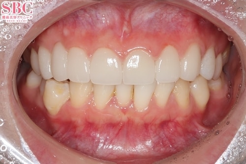
美容歯科 / プレミアムダイヤモンドセラミック No.335866
上の前歯の隙間を改善!!プレミアムダイヤモンドセラミック4本で自然な美しさへ
美容歯科 / プレミアムダイヤモンドセラミック No.335865
上の前歯の隙間を改善!!プレミアムダイヤモンドセラミック4本で自然な美しさへ
美容歯科 / プレミアムダイヤモンドセラミック No.335864
上前歯の隙間を改善!プレミアムダイヤモンドセラミック4本で白く自然な美しさへ!!
美容歯科 / プレミアムダイヤモンドセラミック No.335863
上の前歯の隙間を改善!!プレミアムダイヤモンドセラミック4本で自然な美しさへ
美容歯科 / プレミアムダイヤモンドセラミック No.335862
上前歯の隙間を改善!プレミアムダイヤモンドセラミック4本で白く自然な美しさへ!!
美容歯科 / プレミアムダイヤモンドセラミック No.335824
セラミック矯正で私はスター!!
美容歯科 / プレミアムダイヤモンドセラミック No.335738
前歯のガタつきをセラミックで改善!
美容歯科 / マウスピース矯正 No.335698
【本当にかっこよくなりたい人は竹本佳子院長】インビザラインモデレート20代男性/歯並び
美容歯科 / プレミアムダイヤモンドセラミック No.335600
整形シンデレラファイナリスト担当Drが貴方に贈る 「あなたの笑顔を最高の笑顔に。」〜The Perfect Smile〜 ジルコニアダイヤモンドセラミック
美容歯科 / プレミアムダイヤモンドセラミック No.335599
整形シンデレラファイナリスト担当Drが貴方に贈る 「あなたの笑顔を最高の笑顔に。」〜The Perfect Smile〜 ジルコニアダイヤモンドセラミック
美容歯科 / プレミアムダイヤモンドセラミック No.335598
整形シンデレラファイナリスト担当Drが貴方に贈る 「あなたの笑顔を最高の笑顔に。」〜The Perfect Smile〜 ジルコニアダイヤモンドセラミック
美容歯科 / プレミアムダイヤモンドセラミック No.335595
整形シンデレラファイナリスト担当Drが貴方に贈る 「あなたの笑顔を最高の笑顔に。」〜The Perfect Smile〜 ジルコニアダイヤモンドセラミック
美容歯科 / ダイヤモンドオーダーセラミック No.335289
美容歯科の症例写真
美容歯科 / ダイヤモンドオーダーセラミック No.335288
美容歯科の症例写真
美容歯科 / ダイヤモンドオーダーセラミック No.335287
美容歯科の症例写真
美容歯科 / ダイヤモンドオーダーセラミック No.335286
美容歯科の症例写真
美容歯科 / ダイヤモンドオーダーセラミック No.335285
美容歯科の症例写真
美容歯科 / ダイヤモンドオーダーセラミック No.335283
美容歯科の症例写真
美容歯科 / ダイヤモンドオーダーセラミック No.335282
美容歯科の症例写真















































