美容整形の症例写真(古澤雅史)
症例写真一覧
表示件数:5473件 / 350249件
鼻整形 / No.93859
鼻先の高さを出しつつシャープにし、小鼻の広がりを抑え、より立体感のある鼻に!! 池袋院総括指導医 Dr.古澤 こだわりの鼻形成術 「鼻尖形成術3D法+鼻翼縮小術(内側法)」 術後1ヶ月目 正面
鼻整形 / No.93858
鼻先の高さを出しつつシャープにし、小鼻の広がりを抑え、より立体感のある鼻に!! 池袋院総括指導医 Dr.古澤 こだわりの鼻形成術 「鼻尖形成術3D法+鼻翼縮小術(内側法)」 術後1ヶ月目 右斜め前
鼻整形 / No.93857
鼻先の高さを出しつつシャープにし、小鼻の広がりを抑え、より立体感のある鼻に!! 池袋院総括指導医 Dr.古澤 こだわりの鼻形成術 「鼻尖形成術3D法+鼻翼縮小術(内側法)」 術後1ヶ月目 左斜め前
鼻整形 / No.93856
鼻先の高さを出しつつシャープにし、小鼻の広がりを抑え、より立体感のある鼻に!! 池袋院総括指導医 Dr.古澤 こだわりの鼻形成術 「鼻尖形成術3D法+鼻翼縮小術(内側法)」 術後1ヶ月目 真下
二重・二重整形 / No.93671
腫れを最小限に抑え、ご希望通りの控え目で自然な二重を実現!! 池袋院総括指導医 Dr.古澤 こだわりの二重術 172 「クイックコスメティーク法」 術後1週間 両目
若返り / No.93504
スレッドリフト症例数SBCNo.1!! たるみを自然に改善し、法令線や口角のしわも目立たなく! 小顔若返りリフトは開発医の一人 Dr.古澤にお任せを!! Dr.古澤が贈る切らないフェイスリフト 124 「小顔若返りリフト(糸10本)」 術後1ヶ月 正面
若返り / No.93502
スレッドリフト症例数SBCNo.1!! たるみを自然に改善し、法令線や口角のしわも目立たなく! 小顔若返りリフトは開発医の一人 Dr.古澤にお任せを!! Dr.古澤が贈る切らないフェイスリフト 124 「小顔若返りリフト(糸10本)」 術後1ヶ月 右斜め前
若返り / No.93500
スレッドリフト症例数SBCNo.1!! たるみを自然に改善し、法令線や口角のしわも目立たなく! 小顔若返りリフトは開発医の一人 Dr.古澤にお任せを!! Dr.古澤が贈る切らないフェイスリフト 124 「小顔若返りリフト(糸10本)」 術後1ヶ月 左斜め前
フェイスライン / No.93453
イケメンがさらにイケメンに! 注入技術で結果は変わります! 定着率さらにアップ!!SBCリッチフェイス法の進化治療 「コンデンスリッチフェイス法」は経験豊富な池袋院総括指導医の私、古澤にお任せください!! 「コンデンスリッチフェイス法 ほほ (マイクロカニューレメソッド)…
フェイスライン / No.93452
イケメンがさらにイケメンに! 注入技術で結果は変わります! 定着率さらにアップ!!SBCリッチフェイス法の進化治療 「コンデンスリッチフェイス法」は経験豊富な池袋院総括指導医の私、古澤にお任せください!! 「コンデンスリッチフェイス法 ほほ (マイクロカニューレメソッド)…
フェイスライン / No.93451
イケメンがさらにイケメンに! 注入技術で結果は変わります! 定着率さらにアップ!!SBCリッチフェイス法の進化治療 「コンデンスリッチフェイス法」は経験豊富な池袋院総括指導医の私、古澤にお任せください!! 「コンデンスリッチフェイス法 ほほ (マイクロカニューレメソッド)…
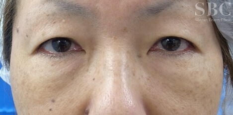
若返り / No.93350
お顔に傷を残さず、目の下のたるみ(脂肪によるふくらみ)を改善! 池袋院総括指導医 Dr.古澤の切らない若返り 「目の下の切らないたるみ取り+FGF」 26 術後3ヶ月 正面
若返り / No.93349
お顔に傷を残さず、目の下のたるみ(脂肪によるふくらみ)を改善! 池袋院総括指導医 Dr.古澤の切らない若返り 「目の下の切らないたるみ取り+FGF」 26 術後3ヶ月 右斜め前
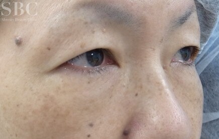
若返り / No.93348
お顔に傷を残さず、目の下のたるみ(脂肪によるふくらみ)を改善! 池袋院総括指導医 Dr.古澤の切らない若返り 「目の下の切らないたるみ取り+FGF」 26 術後3ヶ月 左斜め前
二重・二重整形 / No.93320
ご自身の二重のラインに手を加えることなく、まぶたのたるみを自然に改善!目力がアップしました。傷も目立たないですね。 池袋院総括指導医 Dr.古澤執刀 「眉下切開法+目尻切開」 術後1ヶ月 正面
フェイスライン / No.93160
最小限のダウンタイムでリフトアップ&小顔に!! 池袋院総括指導医 Dr.古澤の切らない小顔術 「バッカルファット除去術+韓国式美容針(ほほ+フェイスライン)60本」 術後1ヶ月目 正面
若返り / No.93102
目の下のたるみ、しわ、クマを改善! 池袋院総括指導医 Dr.古澤の目の下の若返り 「ハムラ法」 術後3ヶ月 正面
若返り / No.93101
目の下のたるみ、しわ、クマを改善! 池袋院総括指導医 Dr.古澤の目の下の若返り 「ハムラ法」 術後3ヶ月 右斜め前
若返り / No.93100
目の下のたるみ、しわ、クマを改善! 池袋院総括指導医 Dr.古澤の目の下の若返り 「ハムラ法」 術後3ヶ月 左斜め前
若返り / No.92843
【最小限のダウンタイムで自然に手軽にリフトアップ!】★リフト術のスペシャリスト Dr.古澤 が自信を持っておススメする切らない腫れない≪3Dリフト(中顔面 6本+フェイスライン 4本)≫★ 施術後1週間 正面










































