二重・二重整形の症例写真(坂西寛信、二重・二重整形)
症例写真一覧
表示件数:4742件 / 346931件
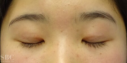
二重・二重整形 / クイックコスメティーク・シングルNeo 他 No.114591
2013年SBC全国No1 顧客満足度最優秀ドクター坂西執刀 『グランドライン法(特殊埋没6点法)』 <30歳 女性 1ヶ月後> ☆新時代の幕開け バレにくさと取れにくさを極限まで追求した最高で最強の埋没法二重術 全国で、たった2人しか出来ない特別な埋没法二重術!閉眼時の写真…
二重・二重整形 / クイックコスメティーク・シングルNeo 他 No.114590
2013年SBC全国No1 顧客満足度最優秀ドクター坂西執刀 『グランドライン法(特殊埋没6点法)』 <30歳 女性 1ヶ月後> ☆新時代の幕開け バレにくさと取れにくさを極限まで追求した最高で最強の埋没法二重術 全国で、たった2人しか出来ない特別な埋没法二重術!閉眼時の写真…
二重・二重整形 / クイックコスメティーク・シングルNeo 他 No.114554
2013年SBC全国No1 顧客満足度最優秀ドクター坂西執刀 『グランドライン法(特殊埋没6点法)』 <18歳 女性 1週後> ☆新時代の幕開け バレにくさと取れにくさを極限まで追求した最高で最強の埋没法二重術 全国で、たった2人しか出来ない特別な埋没法二重術!閉眼時の写真を…
二重・二重整形 / クイックコスメティーク・シングルNeo 他 No.114553
2013年SBC全国No1 顧客満足度最優秀ドクター坂西執刀 『グランドライン法(特殊埋没6点法)』 <18歳 女性 1週後> ☆新時代の幕開け バレにくさと取れにくさを極限まで追求した最高で最強の埋没法二重術 全国で、たった2人しか出来ない特別な埋没法二重術!閉眼時の写真を…
二重・二重整形 / クイックコスメティーク・シングルNeo 他 No.114552
2013年SBC全国No1 顧客満足度最優秀ドクター坂西執刀 『グランドライン法(特殊埋没6点法)』 <18歳 女性 1週後> ☆新時代の幕開け バレにくさと取れにくさを極限まで追求した最高で最強の埋没法二重術 全国で、たった2人しか出来ない特別な埋没法二重術!閉眼時の写真を…
二重・二重整形 / クイックコスメティーク・シングルNeo 他 No.114551
2013年SBC全国No1 顧客満足度最優秀ドクター坂西執刀 『グランドライン法(特殊埋没6点法)』 <18歳 女性 1週後> ☆新時代の幕開け バレにくさと取れにくさを極限まで追求した最高で最強の埋没法二重術 全国で、たった2人しか出来ない特別な埋没法二重術!閉眼時の写真を…
二重・二重整形 / クイックコスメティーク・シングルNeo 他 No.114529
2013年SBC全国No1 顧客満足度最優秀ドクター坂西執刀 『グランドライン法(特殊埋没6点法)』 <18歳 女性 1ヶ月後> ☆新時代の幕開け バレにくさと取れにくさを極限まで追求した最高で最強の埋没法二重術 全国で、たった2人しか出来ない特別な埋没法二重術!閉眼時の写真…
二重・二重整形 / クイックコスメティーク・シングルNeo 他 No.114528
2013年SBC全国No1 顧客満足度最優秀ドクター坂西執刀 『グランドライン法(特殊埋没6点法)』 <18歳 女性 1ヶ月後> ☆新時代の幕開け バレにくさと取れにくさを極限まで追求した最高で最強の埋没法二重術 全国で、たった2人しか出来ない特別な埋没法二重術!閉眼時の写真…
二重・二重整形 / クイックコスメティーク・シングルNeo 他 No.114527
2013年SBC全国No1 顧客満足度最優秀ドクター坂西執刀 『グランドライン法(特殊埋没6点法)』 <18歳 女性 1ヶ月後> ☆新時代の幕開け バレにくさと取れにくさを極限まで追求した最高で最強の埋没法二重術 全国で、たった2人しか出来ない特別な埋没法二重術!閉眼時の写真…
二重・二重整形 / クイックコスメティーク・シングルNeo 他 No.114526
2013年SBC全国No1 顧客満足度最優秀ドクター坂西執刀 『グランドライン法(特殊埋没6点法)』 <18歳 女性 1ヶ月後> ☆新時代の幕開け バレにくさと取れにくさを極限まで追求した最高で最強の埋没法二重術 全国で、たった2人しか出来ない特別な埋没法二重術!閉眼時の写真…
二重・二重整形 / クイックコスメティーク・シングルNeo 他 No.114370
2013年SBC全国No1 顧客満足度最優秀ドクター坂西執刀 『グランドライン法(特殊埋没6点法)』 <25歳 女性 1ヶ月後> ☆新時代の幕開け バレにくさと取れにくさを極限まで追求した最高で最強の埋没法二重術 全国で、たった2人しか出来ない特別な埋没法二重術!閉眼時の写真…
二重・二重整形 / クイックコスメティーク・シングルNeo 他 No.114369
2013年SBC全国No1 顧客満足度最優秀ドクター坂西執刀 『グランドライン法(特殊埋没6点法)』 <25歳 女性 1ヶ月後> ☆新時代の幕開け バレにくさと取れにくさを極限まで追求した最高で最強の埋没法二重術 全国で、たった2人しか出来ない特別な埋没法二重術!閉眼時の写真…
二重・二重整形 / クイックコスメティーク・シングルNeo 他 No.114368
2013年SBC全国No1 顧客満足度最優秀ドクター坂西執刀 『グランドライン法(特殊埋没6点法)』 <25歳 女性 1ヶ月後> ☆新時代の幕開け バレにくさと取れにくさを極限まで追求した最高で最強の埋没法二重術 全国で、たった2人しか出来ない特別な埋没法二重術!閉眼時の写真…
二重・二重整形 / クイックコスメティーク・シングルNeo 他 No.114367
2013年SBC全国No1 顧客満足度最優秀ドクター坂西執刀 『グランドライン法(特殊埋没6点法)』 <25歳 女性 1ヶ月後> ☆新時代の幕開け バレにくさと取れにくさを極限まで追求した最高で最強の埋没法二重術 全国で、たった2人しか出来ない特別な埋没法二重術!閉眼時の写真…
二重・二重整形 / クイックコスメティーク・シングルNeo 他 No.114332
2013年SBC全国No1 顧客満足度最優秀ドクター坂西執刀 『グランドライン法(特殊埋没6点法)』 <24歳 女性 1週後> ☆新時代の幕開け バレにくさと取れにくさを極限まで追求した最高で最強の埋没法二重術 全国で、たった2人しか出来ない特別な埋没法二重術!閉眼時の写真を…
二重・二重整形 / クイックコスメティーク・シングルNeo 他 No.114331
2013年SBC全国No1 顧客満足度最優秀ドクター坂西執刀 『グランドライン法(特殊埋没6点法)』 <24歳 女性 1週後> ☆新時代の幕開け バレにくさと取れにくさを極限まで追求した最高で最強の埋没法二重術 全国で、たった2人しか出来ない特別な埋没法二重術!閉眼時の写真を…
二重・二重整形 / クイックコスメティーク・シングルNeo 他 No.114330
2013年SBC全国No1 顧客満足度最優秀ドクター坂西執刀 『グランドライン法(特殊埋没6点法)』 <24歳 女性 1週後> ☆新時代の幕開け バレにくさと取れにくさを極限まで追求した最高で最強の埋没法二重術 全国で、たった2人しか出来ない特別な埋没法二重術!閉眼時の写真を…
二重・二重整形 / クイックコスメティーク・シングルNeo 他 No.114329
2013年SBC全国No1 顧客満足度最優秀ドクター坂西執刀 『グランドライン法(特殊埋没6点法)』 <24歳 女性 1週後> ☆新時代の幕開け バレにくさと取れにくさを極限まで追求した最高で最強の埋没法二重術 全国で、たった2人しか出来ない特別な埋没法二重術!閉眼時の写真を…
二重・二重整形 / クイックコスメティーク・シングルNeo 他 No.114263
2013年SBC全国No1 顧客満足度最優秀ドクター坂西執刀 『グランドライン法(特殊埋没6点法)』 <30歳 女性 1ヶ月後> ☆新時代の幕開け バレにくさと取れにくさを極限まで追求した最高で最強の埋没法二重術 全国で、たった2人しか出来ない特別な埋没法二重術!閉眼時の写真…
二重・二重整形 / クイックコスメティーク・シングルNeo 他 No.114262
2013年SBC全国No1 顧客満足度最優秀ドクター坂西執刀 『グランドライン法(特殊埋没6点法)』 <30歳 女性 1ヶ月後> ☆新時代の幕開け バレにくさと取れにくさを極限まで追求した最高で最強の埋没法二重術 全国で、たった2人しか出来ない特別な埋没法二重術!閉眼時の写真…










































