美容整形の症例写真(湘南美容クリニック)
症例写真一覧
表示件数:52836件 / 350214件
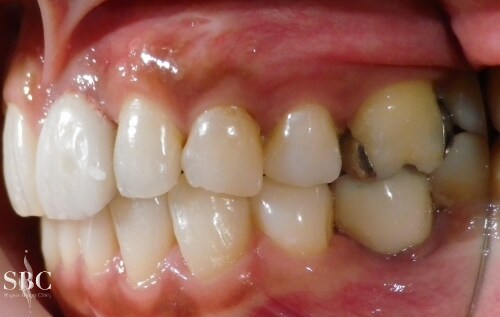
インプラント・歯科その他 / No.55174
Dr金子執刀★失った歯を取り戻す!インプラント
美容皮膚科 / No.55172
イオン導入 週1ペースで2ヶ月後
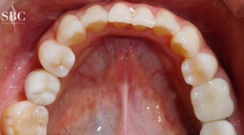
インプラント・歯科その他 / No.55170
Dr金子執刀★インプラント
若返り / No.55169
韓国式美容針 施術直後
若返り / No.55168
韓国式美容針 施術直後
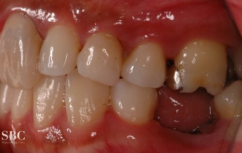
インプラント・歯科その他 / No.55167
失った歯を取り戻す★OSSTEMインプラント
若返り / No.55162
ハセミナ(Dr長谷川三那子)@大阪心斎橋院 アンチエイジング担当女医 ダウンタイム最小で目元の若返り♪目の下の切らないたるみ取りプレミアム
若返り / No.55161
ハセミナ(Dr長谷川三那子)@大阪心斎橋院 アンチエイジング担当女医 ダウンタイム最小で目元の若返り♪目の下の切らないたるみ取りプレミアム
若返り / No.55160
ハセミナ(Dr長谷川三那子)@大阪心斎橋院 アンチエイジング担当女医 ダウンタイム最小で目元の若返り♪目の下の切らないたるみ取りプレミアム
二重・二重整形 / No.55145
Dr.東海の二重埋没法
二重・二重整形 / No.55144
Dr.東海の二重埋没法
二重・二重整形 / No.55143
Dr.東海の二重埋没法
豊胸・バストの修正 / No.55142
柏院院長・佐藤プロデュース!美容に年齢は関係ない!50代女性!自分の脂肪でお胸を若返らせるスーパー小悪魔バスト〜術前・術後1カ月目
若返り / No.55141
柏院院長・佐藤プロデュース!自分の脂肪でげっそりホホをふっくら若々しく!韓流スターのように!
若返り / No.55140
柏院院長・佐藤プロデュース!自分の脂肪でげっそりホホをふっくら若々しく!韓流スターのように!
若返り / No.55111
『池袋院・神戸院・新宿院』外科専門医高野による若返り手術 糸による引き上げ+顔の脂肪吸引
若返り / No.55110
『池袋院・神戸院・新宿院』外科専門医高野による若返り手術 糸による引き上げ+顔の脂肪吸引
若返り / No.55109
『池袋院・神戸院・新宿院』外科専門医高野による若返り手術 糸による引き上げ+顔の脂肪吸引
二重・二重整形 / No.55103
Dr.東海の『腫れづらいばれづらい二重術』 3点留め
二重・二重整形 / No.55102
Dr.東海の『腫れづらいばれづらい二重術』 3点留め










































