美容歯科の症例写真(美容歯科、マウスピース矯正)
症例写真一覧
表示件数:2545件 / 347398件
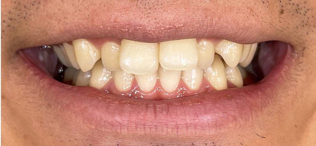
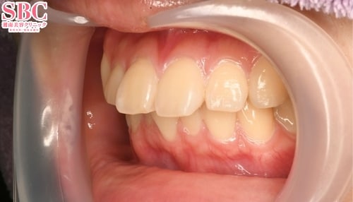
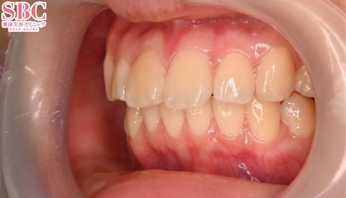
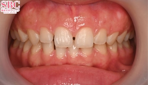
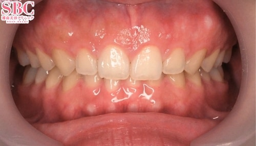
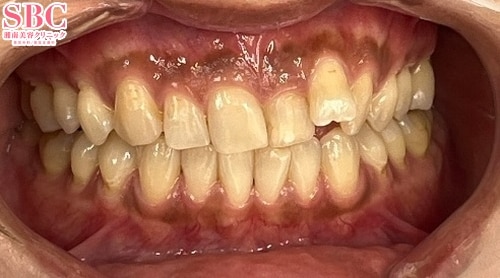
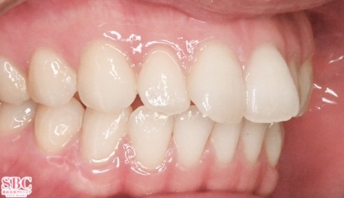
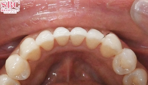
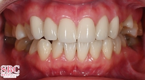
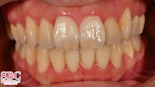
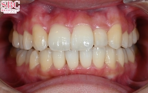
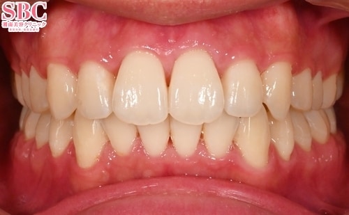
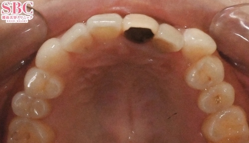
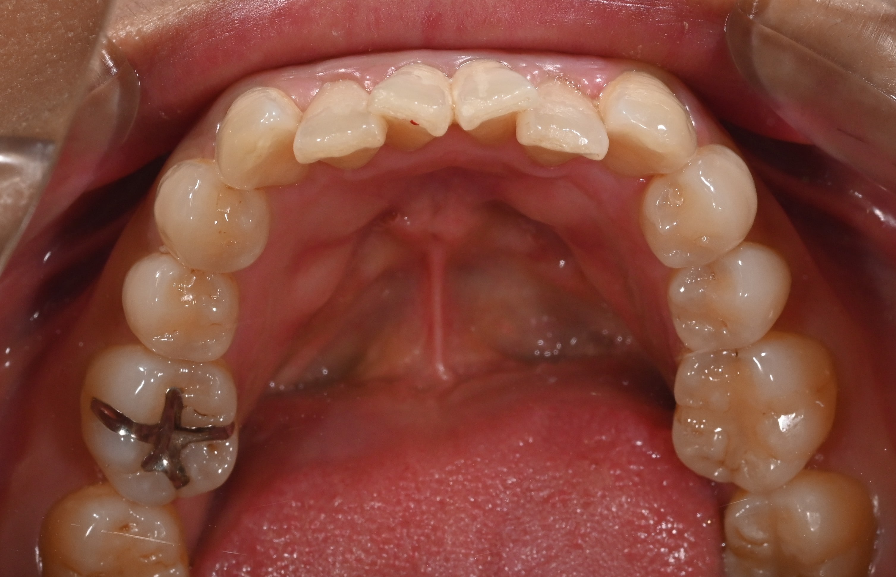
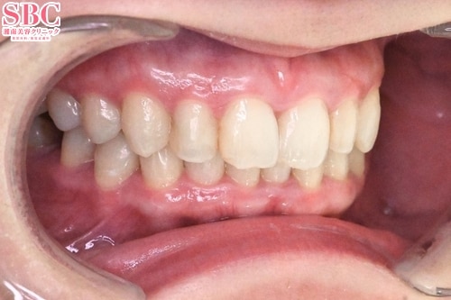
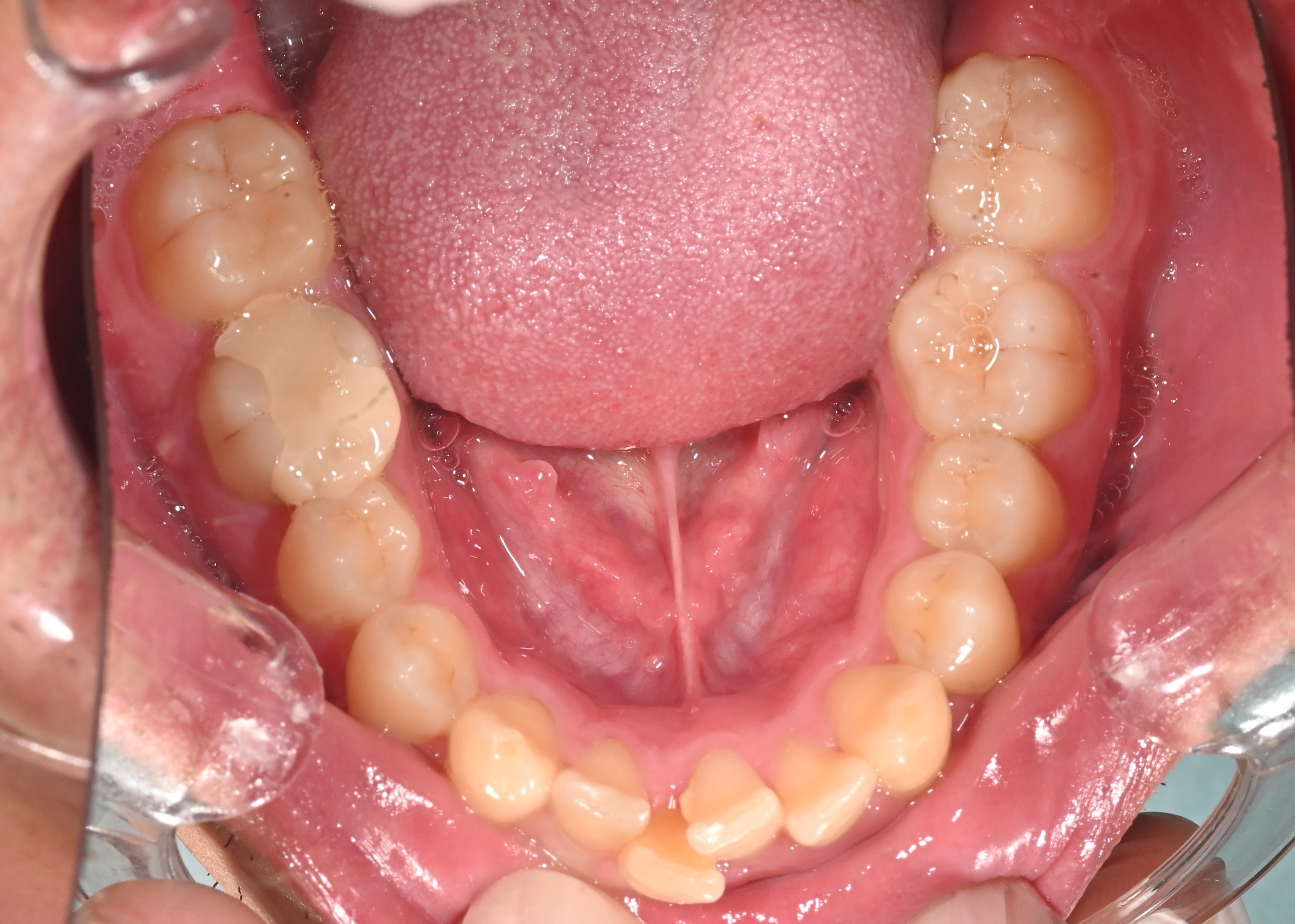
美容歯科 / マウスピース矯正 No.306428
【れいな先生】出っ歯を治す!前歯だけの簡単マウスピース矯正【インビザライン・マウスピース矯正】
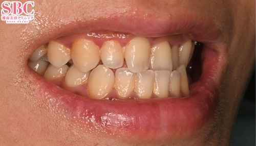
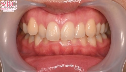
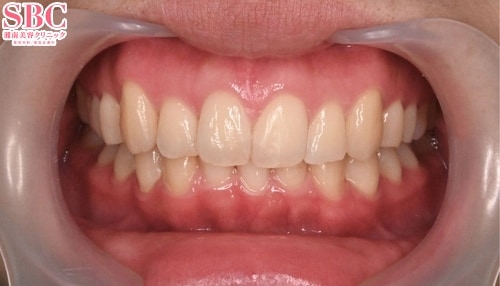
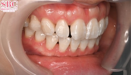
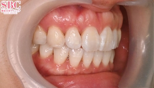
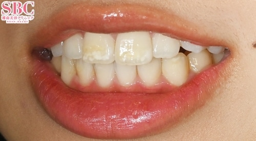
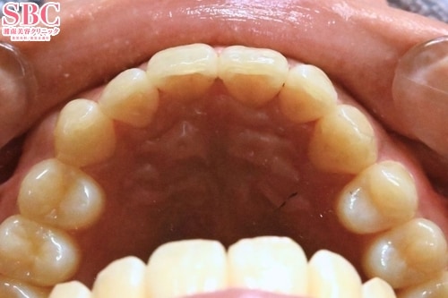
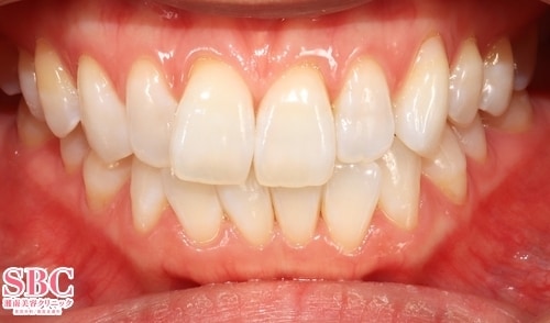
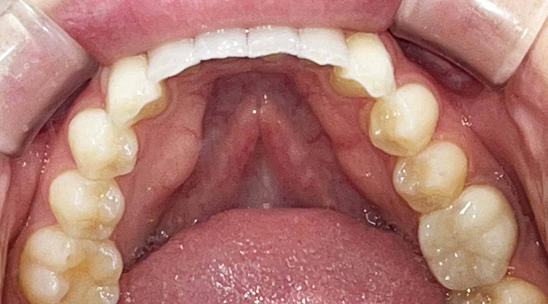
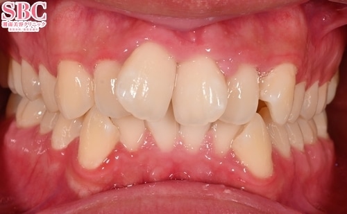
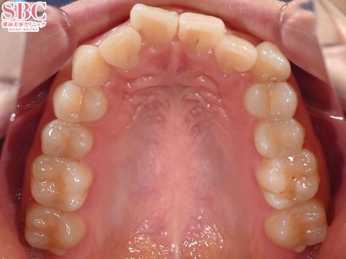
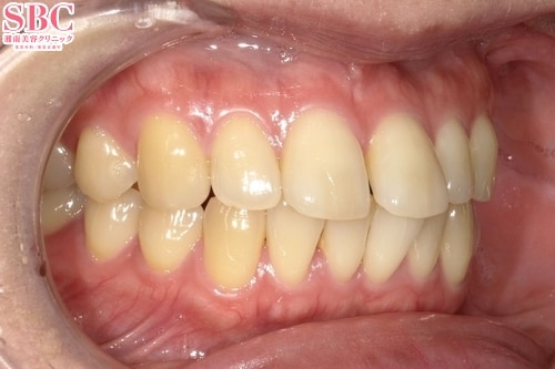
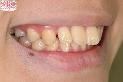
美容歯科 / マウスピース矯正 No.320719
【れいな先生】気になる前歯を引っ込める!引っ込めたいならDrれいなにお任せ☆【マウスピース矯正】
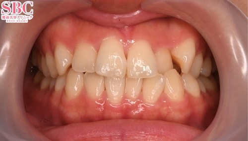
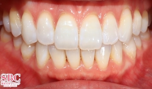
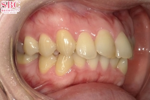
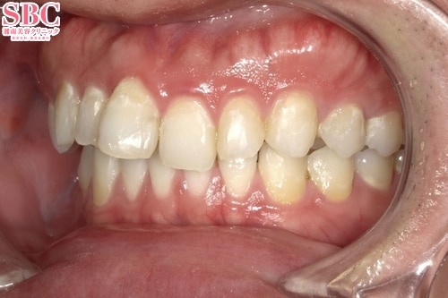
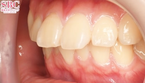
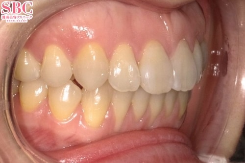
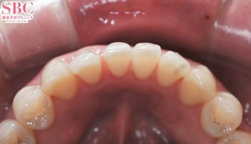
美容歯科 / マウスピース矯正 No.299099
【インビザラインフル】全体的なマウスピース矯正
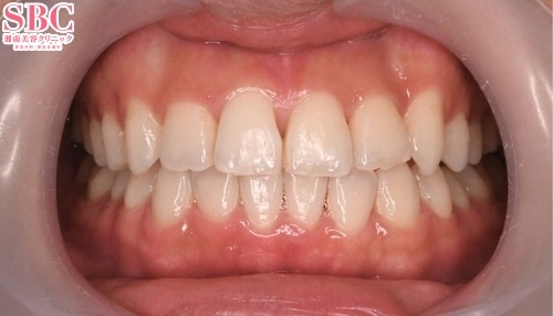
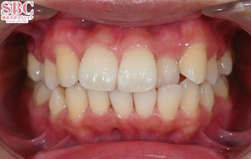
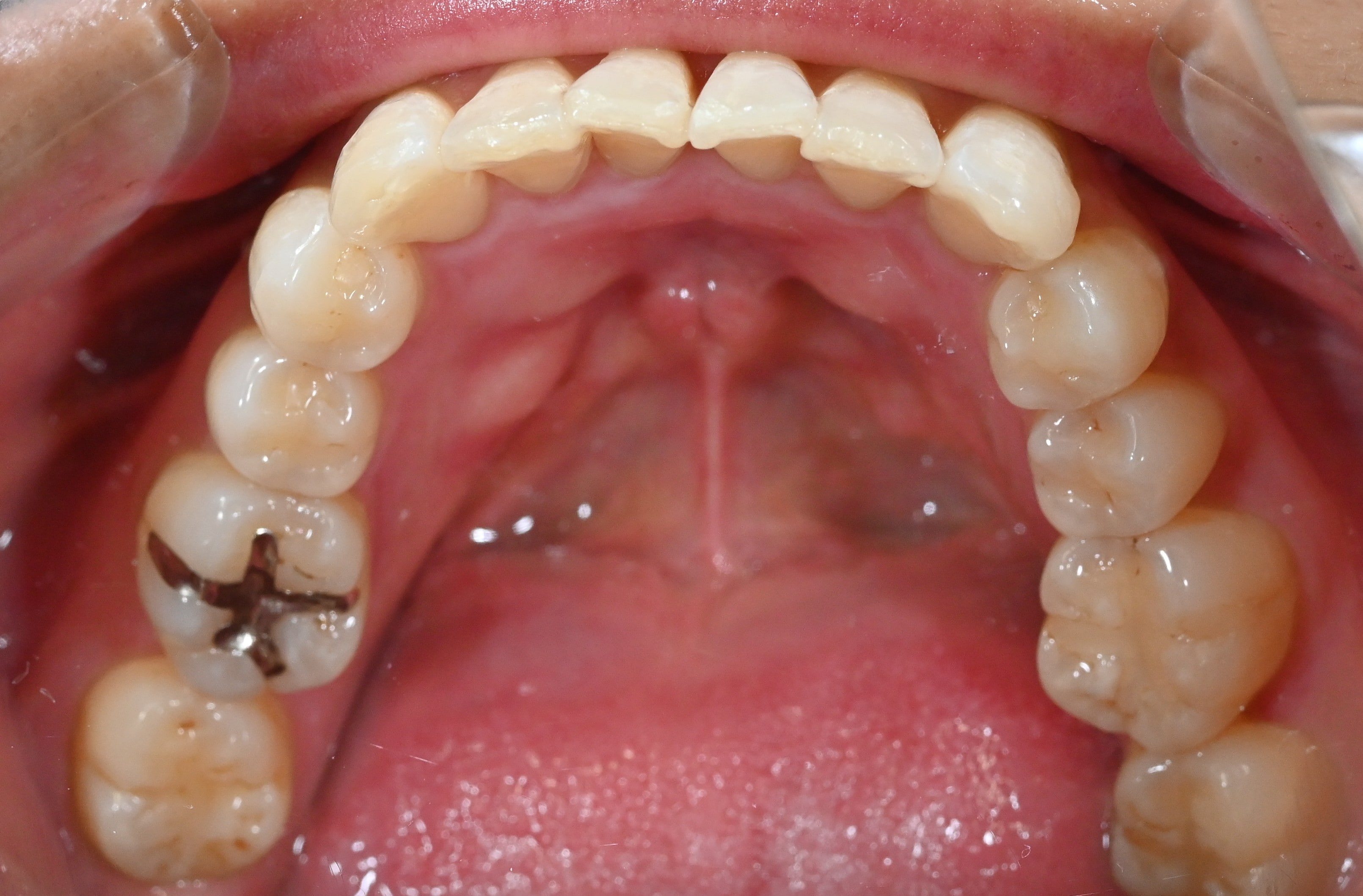
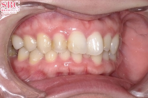
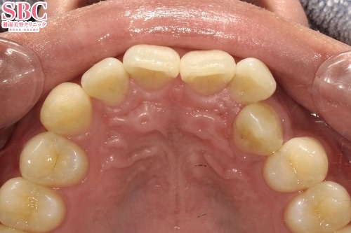
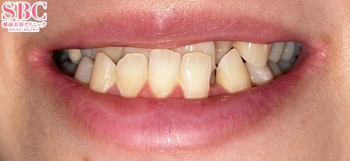
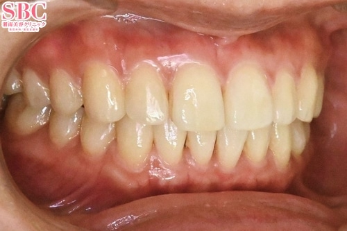
美容歯科 / マウスピース矯正 No.299095
【インビザラインフル】全体的はマウスピース矯正
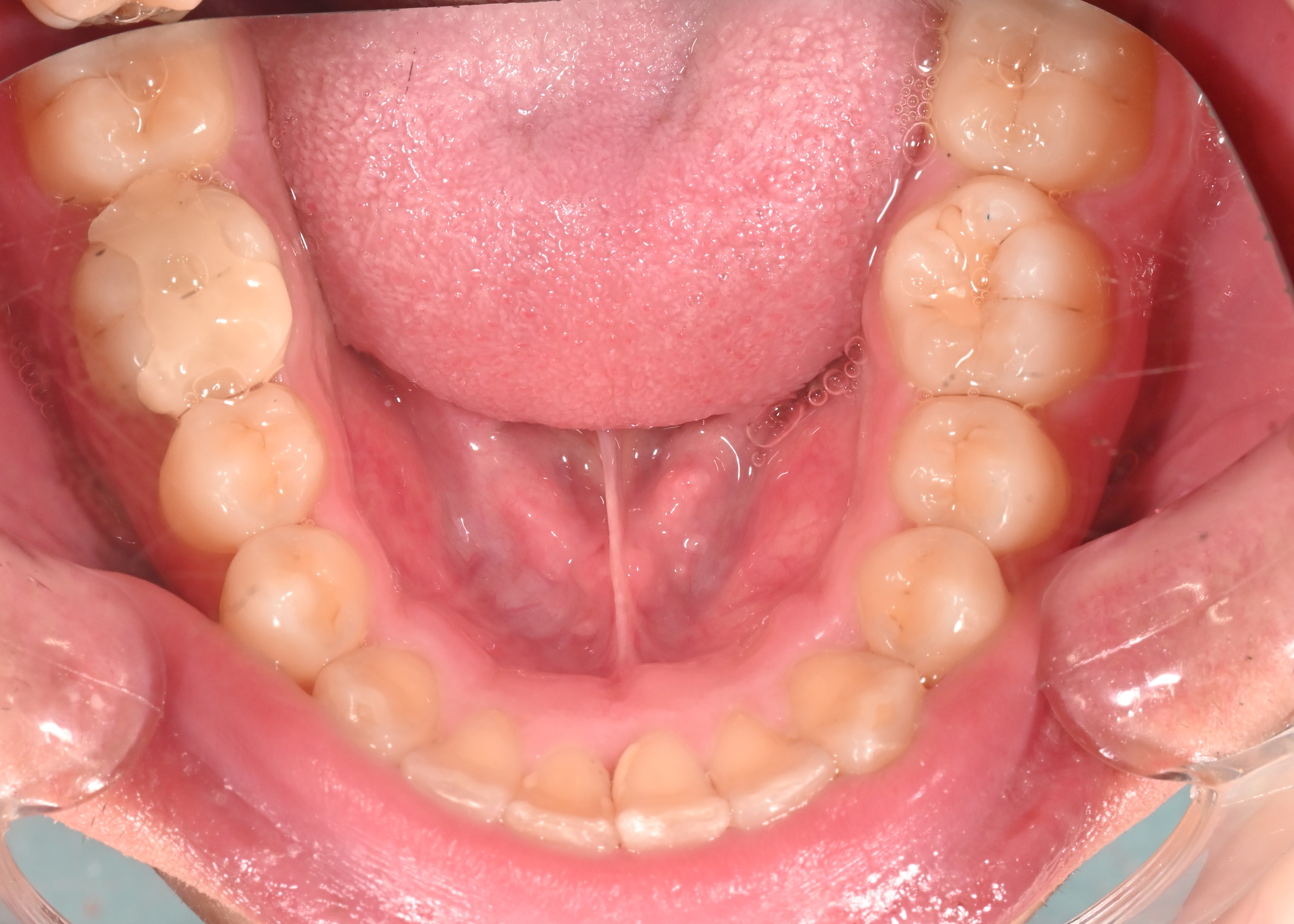
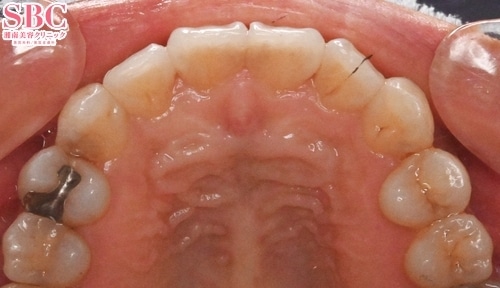
美容歯科 / マウスピース矯正 No.299000
【インビザラインフル】全顎的なマウスピース矯正
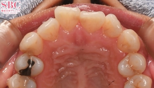
美容歯科 / マウスピース矯正 No.251316
インビザラインGO
美容歯科 / マウスピース矯正 No.359724
【満足度No.1クラス】 「もっと早くやればよかった!」の声多数!まゆゆ先生が手がける、結果重視のマウスピース矯正【インビザラインGO両顎】
美容歯科 / マウスピース矯正 No.359648
【マウスピース矯正】4ヶ月間の歯科矯正
美容歯科 / マウスピース矯正 No.359640
【インビザライン GO】反対咬合を改善し綺麗な並びへ
美容歯科 / マウスピース矯正 No.359638
【インビザライン モデレート】全体的ながたつき感をなくし歯列を整えるマウスピース矯正
美容歯科 / マウスピース矯正 No.359636
【インビザライン フル(抜歯なし)】突出感をなくし内側に引っ込める矯正
美容歯科 / マウスピース矯正 No.359612
【インビザライン GO】がたつき感を改善し綺麗な印象に!
美容歯科 / マウスピース矯正 No.359611
【インビザライン MD】徹底的に隙間を埋め綺麗な見た目へ
美容歯科 / マウスピース矯正 No.359610
【インビザライン エクスプレス】隙間をなくし綺麗に整えるマウスピース矯正
美容歯科 / マウスピース矯正 No.359606
【“似合う”歯並びをプロデュース】竹本先生があなたの笑顔をトータルデザイン!審美性と機能性を両立するマウスピース矯正【インビザラインGO(両顎)】
美容歯科 / マウスピース矯正 No.359535
【“似合う”歯並びをプロデュース】竹本先生があなたの笑顔をトータルデザイン!審美性と機能性を両立するマウスピース矯正【インビザラインGO(両顎)】
美容歯科 / マウスピース矯正 No.359533
【満足度No.1クラス】 「もっと早くやればよかった!」の声多数!まゆゆ先生が手がける、結果重視のマウスピース矯正【インビザラインGO両顎】
美容歯科 / マウスピース矯正 No.359388
コンプレックスだった歯並びをたった8ヶ月で改善!インビザラインGo (部分矯正)
美容歯科 / マウスピース矯正 No.359333
【満足度No.1クラス】 「もっと早くやればよかった!」の声多数!まゆゆ先生が手がける、結果重視のマウスピース矯正【インビザラインGO両顎】
美容歯科 / マウスピース矯正 No.359176
【“似合う”歯並びをプロデュース】竹本先生があなたの笑顔をトータルデザイン!審美性と機能性を両立するマウスピース矯正【インビザラインGO(両顎)】
















































