若返りの症例写真(名倉俊輔、若返り)
症例写真一覧
表示件数:2503件 / 346381件
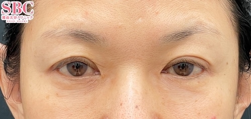
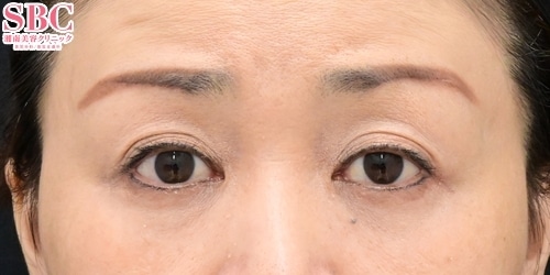
若返り / ナチュラル脂肪注射コンデンスリッチ 他 No.358328
◆◆美容外科専門医 名倉が叶える -5歳!! 目の下のたるみ取り+脂肪注入(目の下~ゴルゴ線)◆◆目の下のぷっくり、クマでお悩みの方必見!!◆6ヶ月後のお写真
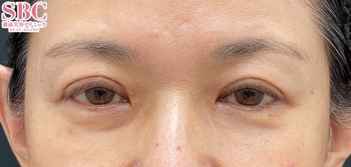
若返り / プリマリフト No.358327
◆◆美容外科専門医 名倉が叶える小顔術!!糸リフト6年連続全国1位 (2019年~2024年)!※SBC内◆◆プリマリフト+脂肪吸引(頬+顎下)◆2ヶ月後のお写真
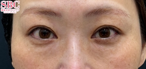
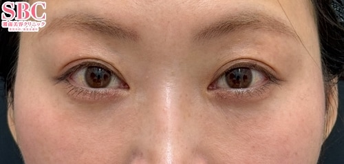
若返り / ナチュラル脂肪注射コンデンスリッチ No.358255
◆◆美容外科専門医 名倉が叶える 美顔術!! へこみを無くして美しい輪郭へ!! ◆脂肪注入(頬)6ヶ月後のお写真
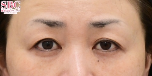
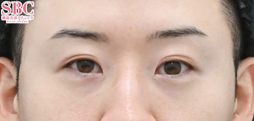
若返り / 眉下リフト(眉下切開) No.358252
◆◆目元切開厳選医師の名倉が叶える -5歳!! 眉下リフト◆◆瞼のたるみでお悩みの方必見!!1ヶ月後のお写真
若返り / ナチュラル脂肪注射コンデンスリッチ 他 No.358251
◆◆美容外科専門医 名倉が叶える -5歳!! 目の下のたるみ取り+脂肪注入(目の下~ゴルゴ線)◆◆目の下のぷっくり、クマでお悩みの方必見!!◆2ヶ月後のお写真
若返り / プリマリフト No.358250
◆◆美容外科専門医 名倉が叶える小顔術!!糸リフト6年連続全国1位 (2019年~2024年)!※SBC内◆◆プリマリフト+脂肪吸引(頬+顎下)◆3ヶ月後のお写真
若返り / ナチュラル脂肪注射コンデンスリッチ No.358212
◆◆美容外科専門医 名倉が叶える 美顔術!! へこみを無くして美しい輪郭へ!! ◆脂肪注入(顎)3ヶ月後のお写真
若返り / 眉下リフト(眉下切開) No.358209
◆◆目元切開厳選医師の名倉が叶える -5歳!! 眉下リフト◆◆瞼のたるみでお悩みの方必見!!3ヶ月後のお写真
若返り / ナチュラル脂肪注射コンデンスリッチ 他 No.358208
◆◆美容外科専門医 名倉が叶える -5歳!! 目の下のたるみ取り+脂肪注入(目の下~ゴルゴ線)◆◆目の下のぷっくり、クマでお悩みの方必見!!◆3ヶ月後のお写真
若返り / プリマリフト No.358206
◆◆美容外科専門医 名倉が叶える小顔術!!糸リフト6年連続全国1位 (2019年~2024年)!※SBC内◆◆プリマリフト+脂肪吸引(頬+顎下)◆10ヶ月後のお写真
若返り / ナチュラル脂肪注射コンデンスリッチ No.358109
◆◆美容外科専門医 名倉が叶える 美顔術!! へこみを無くして美しい輪郭へ!! ◆脂肪注入(額)3ヶ月後のお写真
若返り / 眉下リフト(眉下切開) No.358105
◆◆目元切開厳選医師の名倉が叶える -5歳!! 眉下リフト◆◆瞼のたるみでお悩みの方必見!!1ヶ月後のお写真
若返り / ナチュラル脂肪注射コンデンスリッチ 他 No.358104
◆◆美容外科専門医 名倉が叶える -5歳!! 目の下のたるみ取り+脂肪注入(目の下~ゴルゴ線)◆◆目の下のぷっくり、クマでお悩みの方必見!!◆3ヶ月後のお写真
若返り / プリマリフト No.358103
◆◆美容外科専門医 名倉が叶える小顔術!!糸リフト6年連続全国1位 (2019年~2024年)!※SBC内◆◆プリマリフト+脂肪吸引(頬+顎下)◆3ヶ月後のお写真
若返り / ナチュラル脂肪注射コンデンスリッチ No.357993
◆◆美容外科専門医 名倉が叶える 美顔術!! へこみを無くして美しい輪郭へ!! ◆脂肪注入(頬)7ヶ月後のお写真
若返り / 眉下リフト(眉下切開) No.357990
◆◆目元切開厳選医師の名倉が叶える -5歳!! 眉下リフト◆◆瞼のたるみでお悩みの方必見!!3ヶ月後のお写真
若返り / ナチュラル脂肪注射コンデンスリッチ 他 No.357989
◆◆美容外科専門医 名倉が叶える -5歳!! 目の下のたるみ取り+脂肪注入(目の下~ゴルゴ線)◆◆目の下のぷっくり、クマでお悩みの方必見!!◆6ヶ月後のお写真
若返り / プリマリフト No.357988
◆◆美容外科専門医 名倉が叶える小顔術!!糸リフト6年連続全国1位 (2019年~2024年)!※SBC内◆◆プリマリフト+脂肪吸引(頬+顎下)◆3ヶ月後のお写真
若返り / ナチュラル脂肪注射コンデンスリッチ No.357925
◆◆美容外科専門医 名倉が叶える 美顔術!! へこみを無くして美しい輪郭へ!! ◆脂肪注入(顎)1ヶ月後のお写真
若返り / 眉下リフト(眉下切開) No.357923
◆◆目元切開厳選医師の名倉が叶える -5歳!! 眉下リフト◆◆瞼のたるみでお悩みの方必見!!1ヶ月後のお写真










































