美容整形の症例写真(岩本理雨)
症例写真一覧
表示件数:213件 / 350808件
二重・二重整形 / フォーエバー二重術(R) No.284037
【フォーエバー二重術】デザインが全てを決める!Dr.理雨による埋没法で美しい二重を手に入れませんか。
二重・二重整形 / フォーエバー二重術(R) No.284017
【フォーエバー二重術】デザインが全てを決める!Dr.理雨による埋没法で美しい二重を手に入れませんか。
二重・二重整形 / フォーエバー二重術(R) No.284027
【フォーエバー二重術】デザインが全てを決める!Dr.理雨による埋没法で美しい二重を手に入れませんか。
二重・二重整形 / クイックコスメティーク・トリプルNeo No.363184
【クイックコスメティーク・トリプルNEO】インスタからのご指名多数!似合わせ幅の二重ならりう医師へご相談ください
二重・二重整形 / クイックコスメティーク・トリプルNeo No.361890
【クイックコスメティーク・トリプルNEO】インスタからのご指名多数!似合わせ幅の二重ならりう医師へご相談ください
二重・二重整形 / クイックコスメティーク・トリプルNeo No.360730
【クイックコスメティーク・トリプルNEO】インスタからのご指名多数!似合わせ幅の二重ならりう医師へご相談ください
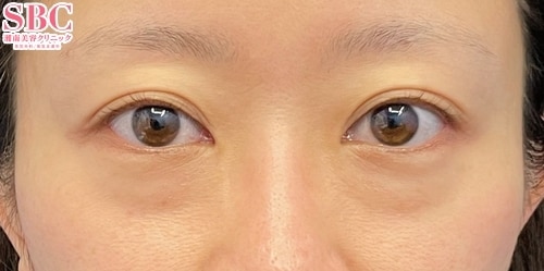
若返り / 裏ハムラ法 他 No.358007
【目の下のクマ取り/ハムラ法】クマの再発を極力防ぐ再配置法!!「インスタ見ました」のご指名多数!奈良でクマ取りするなら”理雨医師”へ
若返り / 裏ハムラ法 他 No.356668
【目の下のクマ取り/ハムラ法】クマの再発を極力防ぐ再配置法!!「インスタ見ました」のご指名多数!奈良でクマ取りするなら”理雨医師”へ
若返り / 裏ハムラ法 他 No.355636
【目の下のクマ取り/ハムラ法】クマの再発を極力防ぐ再配置法!!「インスタ見ました」のご指名多数!奈良でクマ取りするなら”理雨医師”へ
若返り / 裏ハムラ法 他 No.353975
【目の下のクマ取り/ハムラ法】クマの再発を極力防ぐ再配置法!!「インスタ見ました」のご指名多数!奈良でクマ取りするなら”理雨医師”へ
若返り / 裏ハムラ法 No.353046
【目の下のクマ取り/ハムラ法】クマの再発を極力防ぐ再配置法!!「インスタ見ました」のご指名多数!奈良でクマ取りするなら”理雨医師”へ
若返り / 裏ハムラ法 他 No.351743
【目の下のクマ取り/ハムラ法】クマの再発を極力防ぐ再配置法!!「インスタ見ました」のご指名多数!奈良でクマ取りするなら”理雨医師”へ
二重・二重整形 / クイックコスメティーク・ダブルNeo No.350595
【クイックコスメティーク・ダブルNEO】インスタからのご指名多数!似合わせ幅の二重ならりう医師へご相談ください
二重・二重整形 / クイックコスメティーク・ダブルNeo No.348869
【クイックコスメティーク・ダブルNEO】インスタからのご指名多数!似合わせ幅の二重ならりう医師へご相談ください
二重・二重整形 / クイックコスメティーク・ダブルNeo No.347639
【クイックコスメティーク・ダブルNEO】インスタからのご指名多数!似合わせ幅の二重ならりう医師へご相談ください
二重・二重整形 / クイックコスメティーク・ダブルNeo No.345887
【クイックコスメティーク・ダブルNEO】インスタからのご指名多数!似合わせ幅の二重ならりう医師へご相談ください
二重・二重整形 / クイックコスメティーク・ダブルNeo No.344378
【クイックコスメティーク・ダブルNEO】インスタからのご指名多数!似合わせ幅の二重ならりう医師へご相談ください
二重・二重整形 / クイックコスメティーク・ダブルNeo No.342762
【クイックコスメティーク・ダブルNEO】インスタからのご指名多数!似合わせ幅の二重ならりう医師へご相談ください
若返り / 裏ハムラ法 他 No.342760
【目の下のクマ取り】「インスタ見ました」のご指名多数!奈良でクマ取りするなら”理雨医師”へ
二重・二重整形 / クイックコスメティーク・ダブルNeo No.342588
【クイックコスメティーク・ダブルNEO】インスタからのご指名多数!似合わせ幅の二重ならりう医師へご相談ください










































