美容整形の症例写真(宜保智樹)
症例写真一覧
表示件数:160件 / 351828件
若返り / コンデンスリッチフェイス脂肪注入全顔入れ放題 他 No.310399
くまとり+全顔脂肪注入で若返り!!
脂肪吸引 / 美ボディ脂肪吸引 No.305468
【小顔術】【美ボディ脂肪吸引】宜保医師による小顔整形!親身な診察・丁寧な手術が評判☆
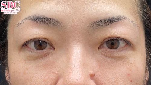
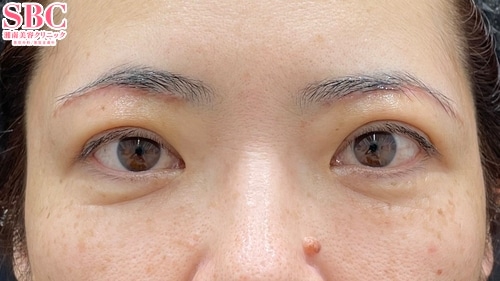
若返り / 目の下の切らないクマ・たるみ(ふくらみ)取り No.305487
【二重なみの変化!?】くま治療で可愛いは作れる♪
豊胸・バストの修正 / Motivaエルゴノミックス2(バッグ豊胸) No.363861
夢だったGカップへ♪シリコン豊胸で3カップアップ!
脂肪吸引 / Aquicell(アキーセル)脂肪吸引 No.363086
【ボコつかない脂肪吸引】曲線美を作って美脚も美尻も同時にGET!
豊胸・バストの修正 / ハイブリッド豊胸 他 No.362648
【ハイブリッド豊胸】バストの大きさも自然さも妥協できない方向け!
豊胸・バストの修正 / Aquicell(アキーセル)併用コンデンスリッチ(脂肪注入豊胸) No.362572
【骨格ウェーブは脂肪豊胸が正解】足痩せもしたい!脂肪は捨てずにバストに入れたい!
豊胸・バストの修正 / Motivaエルゴノミックス2(バッグ豊胸) No.361228
【シリコンバッグ豊胸】D→Gカップへ3カップアップ♪
脂肪吸引 / 根こそぎVASER脂肪吸引 No.361069
【くびれを作る脂肪吸引】ウエスト・腰が細いとパンツスタイルも映えます♪
脂肪吸引 / 根こそぎVASER脂肪吸引 No.361068
【ウエスト・腰の”浮き輪肉”とおさらば】ウエスト周りをすっきりさせる脂肪吸引です
豊胸・バストの修正 / コンデンスリッチ(脂肪注入豊胸) No.360669
【重量感のあるバストへ】コンデンスリッチ脂肪注入豊胸でデコルテはもちろん全体ボリュームアップ♪
二重・二重整形 / 全切開法二重術 No.360501
【全切開二重】埋没法のような自然な二重へ
豊胸・バストの修正 / コンデンスリッチ(脂肪注入豊胸) No.360376
【バストアップだけじゃない】左右差の改善もお任せください!
脂肪吸引 / Aquicell(アキーセル)脂肪吸引 他 No.360110
【美尻】太もも細く。お尻は丸く。
脂肪吸引 / 根こそぎVASER脂肪吸引 No.360102
【足痩せ】脂肪吸引で美脚・美尻にします♪
脂肪吸引 / 根こそぎVASER脂肪吸引 No.359852
【くびれ作ります】脂肪吸引で太りにくいウエストをゲット♪
若返り / 眉下リフト(眉下切開) No.359720
【眉下切開】まぶたが重くなってきたらコレ!10年前の目元へ♪
豊胸・バストの修正 / CEREFORM(R)(セレフォーム)(バッグ豊胸) No.354846
【シリコンバッグ】谷間くっきり!確実にバストアップ!
豊胸・バストの修正 / コンデンスリッチ(脂肪注入豊胸) 他 No.354765
【細身でも大きくなります】要らない脂肪でふっくらバストを作り上げます♪
豊胸・バストの修正 / コンデンスリッチ(脂肪注入豊胸) 他 No.354447
【モテバスト】細い腕 × バストアップ で最強ボディへ










































