美容整形の症例写真(古澤雅史)
症例写真一覧
表示件数:5472件 / 350115件
若返り / シークレットリフト No.345016
【若返り】糸リフトは糸リフトおすすめドクター選出の美容外科歴16年の古澤にお任せください!
二重・二重整形 / 眼瞼下垂+二重 他 No.344532
【二重整形】二重切開法は美容外科歴16年+厳選医師の私古澤にお任せを!!
若返り / ナチュラル脂肪注射コンデンスリッチ 他 No.344206
【若返り】お顔のナチュラル脂肪注射は美容外科歴16年、厳選医師のDr.古澤にお任せを!
若返り / ナチュラル脂肪注射コンデンスリッチ 他 No.344020
【若返り】お顔のナチュラル脂肪注射は美容外科歴16年、厳選医師のDr.古澤にお任せを!
鼻整形 / 鼻尖形成/鼻尖形成3D法(だんご鼻解消術) 他 No.343637
【鼻整形】ナチュラルな鼻整形はわずか8名の厳選医師の一人である古澤にお任せを!
若返り / ナチュラル脂肪注射コンデンスリッチ 他 No.342314
【若返り】目の下のクマ治療は美容外科歴16年、クマ治療厳選医師の古澤にお任せください。
若返り / ナチュラル脂肪注射コンデンスリッチ 他 No.342257
【若返り】目の下のクマ治療は美容外科歴16年、クマ治療厳選医師の古澤にお任せください。
若返り / SMASフェイスネックリフト No.341883
【若返り】切開フェイスリフトは美容外科歴16年の古澤にお任せください!
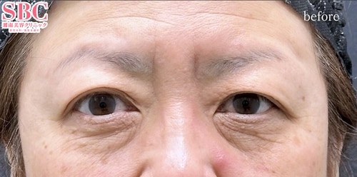
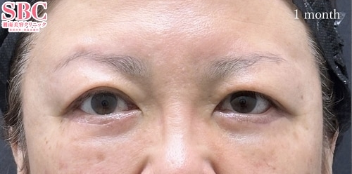
若返り / 目の下の切らないクマ・たるみ(ふくらみ)取り 他 No.340795
【若返り】クマ治療、お顔のナチュラル脂肪注射は美容外科歴16年、厳選医師のDr.古澤にお任せを!
若返り / コンデンスリッチフェイス法(額・こめかみ脂肪注入) 他 No.340579
【若返り】お顔のナチュラル脂肪注射は美容外科歴16年、厳選医師のDr.古澤にお任せを!
フェイスライン / バッカルファット No.339949
【小顔】口元のぽにょ撃退!シャープな輪郭に!美容外科歴16年の私古澤にお任せを!!
若返り / 目の下の切らないクマ・たるみ(ふくらみ)取り 他 No.339426
【若返り】目の下の若返り治療は美容外科歴16年、クマ治療厳選医師の古澤にお任せください。
鼻整形 / SBCプレミアムソフトプロテーゼ※別途、安心麻酔(静脈麻酔)代がかかります。 他 No.339084
【鼻整形】ナチュラルな鼻整形は美容外科歴16年、鼻整形厳選医師の古澤にお任せを!
若返り / プリマリフト No.338638
【若返り&輪郭形成】糸リフト+バッカルファット除去 美容外科歴16年の古澤にお任せを!!
若返り / コンデンスリッチフェイス脂肪注入全顔入れ放題 No.329128
【若返り】脂肪注入で肌のハリも手に入れられる?!お顔の凹凸改善で素敵な輪郭に!
若返り / SMASフェイスネックリフト No.328896
【若返り】SMASフェイスリフト+アキーセル脂肪吸引(ホホ) 美容外科歴15年のベテラン医師による若返り施術!最高峰のリフトアップ法で気になるたるみを改善!
鼻整形 / 小鼻縮小(内側法+締め付け縫合) No.362380
自然な鼻整形は美容外科医歴17年、プレミアムドクター古澤にお任せください!
脂肪吸引 / 小顔用脂肪吸引注射 No.362284
小顔&若返り複合手術は美容外科歴17年の古澤にお任せください!
若返り / 目の下の切らないクマ・たるみ(ふくらみ)取り 他 No.362226
目の下のクマ治療は美容外科歴17年、クマ取りプレミアムドクターの古澤にお任せください!
若返り / 切開ハムラ(表ハムラ)法 No.362180
目の下のクマ治療は美容外科歴17年、クマ取りプレミアムドクターの古澤にお任せください!










































