美容整形の症例写真(湘南美容クリニック)
症例写真一覧
表示件数:52836件 / 350357件
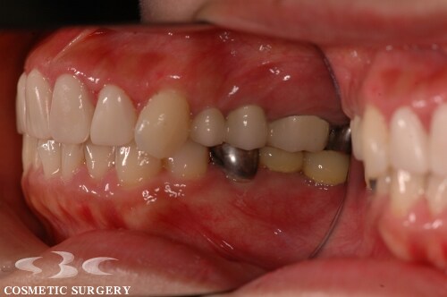
インプラント・歯科その他 / No.46385
OSSTEMインプラント
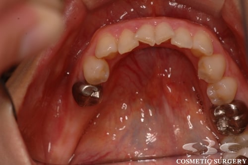
インプラント・歯科その他 / No.46384
OSSTEMインプラント
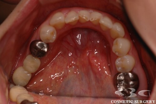
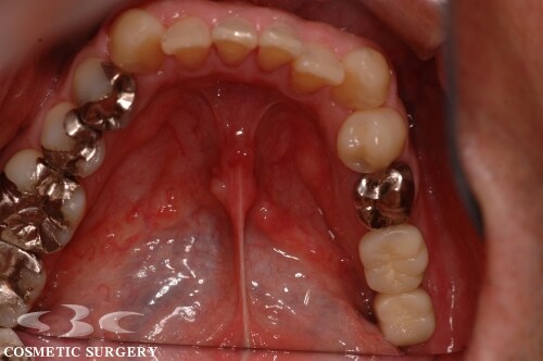
インプラント・歯科その他 / No.46383
OSSTEMインプラント
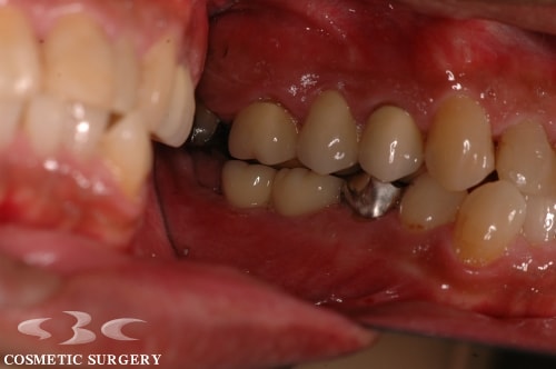
インプラント・歯科その他 / No.46382
OSSTEMインプラント手術
二重・二重整形 / No.46381
新宿院・千葉院★二重・形成外科専門医 中森大記★による腫れないばれない二重術
二重・二重整形 / No.46380
新宿院・千葉院★二重・形成外科専門医 中森大記★による腫れないばれない二重術
二重・二重整形 / No.46379
新宿院・千葉院★二重・形成外科専門医 中森大記★による腫れないばれない二重術
若返り / No.46378
★若返り・形成外科専門医 中森大記★によるフェイスリフト・『ミントリフト』と注入系リフト『フィラーリフト』のコラボレーション 術後1週目
若返り / No.46377
★若返り・形成外科専門医 中森大記★によるフェイスリフト・『ミントリフト』と注入系リフト『フィラーリフト』のコラボレーション 術後1週目
脂肪吸引 / No.46373
腫れない脂肪吸引 ほほ+あご下 66−1
脂肪吸引 / No.46372
根こそぎ脂肪吸引 ほほ+あご下 65−1
脂肪吸引 / No.46360
根こそぎ脂肪吸引 二の腕・肩 30−1
脂肪吸引 / No.46359
根こそぎ脂肪吸引 二の腕・肩 30−1
脂肪吸引 / No.46358
根こそぎ脂肪吸引 二の腕・肩 30−1
フェイスライン / No.46351
頬骨の輪郭矯正(骨切り・骨削り)・術後 14 日目(右斜め)
フェイスライン / No.46350
頬骨の輪郭矯正(骨切り・骨削り)・術後 14 日目(左斜め)
フェイスライン / No.46349
頬骨の輪郭矯正(骨切り・骨削り)・術後 14 日目
脂肪吸引 / No.46335
根こそぎ脂肪吸引 下腿・足首
脂肪吸引 / No.46315
ベイザーによる脂肪吸引です
脂肪吸引 / No.46314
ベイザーによる脂肪吸引です










































