美容整形の症例写真(名倉俊輔)
症例写真一覧
表示件数:8258件 / 350214件
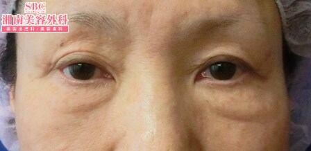
若返り / 目の下の切らないクマ・たるみ(ふくらみ)取り No.185767
◆◆ 名倉が叶える−5歳!!目の下の切らないたるみ取り◆◆目の下のぷっくり、クマでお悩みの方必見!!NO、106症例 1ヵ月後のお写真です!!
若返り / 目の下の切らないクマ・たるみ(ふくらみ)取り No.185766
◆◆ 名倉が叶える−5歳!!目の下の切らないたるみ取り◆◆目の下のぷっくり、クマでお悩みの方必見!!NO、106症例 1週間後のお写真です!!
若返り / 目の下の切らないクマ・たるみ(ふくらみ)取り No.185765
◆◆ 名倉が叶える−5歳!!目の下の切らないたるみ取り◆◆目の下のぷっくり、クマでお悩みの方必見!!NO、106症例 1週間後のお写真です!!
若返り / 目の下の切らないクマ・たるみ(ふくらみ)取り No.185764
◆◆ 名倉が叶える−5歳!!目の下の切らないたるみ取り◆◆目の下のぷっくり、クマでお悩みの方必見!!NO、106症例 1週間後のお写真です!!
若返り / 目の下の切らないクマ・たるみ(ふくらみ)取り No.185763
◆◆ 名倉が叶える−5歳!!目の下の切らないたるみ取り◆◆目の下のぷっくり、クマでお悩みの方必見!!NO、106症例 1週間後のお写真です!!
若返り / 目の下の切らないクマ・たるみ(ふくらみ)取り No.185762
◆◆ 名倉が叶える−5歳!!目の下の切らないたるみ取り◆◆目の下のぷっくり、クマでお悩みの方必見!!NO、106症例 1週間後のお写真です!!
フェイスライン / 顔の脂肪吸引 他 No.185611
◆◆バッカルファット症例実績SBC全国No1!美マイスター名倉が叶える!!◆◆川崎院院長・町田院院長歴任してきた名倉俊輔が執刀致します!ダウンタイムも少なく、小顔になれちゃいます♪ バッカルファット術 症例N108+根こそぎベイザー脂肪吸引(頬+顎) 症例NO169 3ヵ月…
フェイスライン / 顔の脂肪吸引 他 No.185610
◆◆バッカルファット症例実績SBC全国No1!美マイスター名倉が叶える!!◆◆川崎院院長・町田院院長歴任してきた名倉俊輔が執刀致します!ダウンタイムも少なく、小顔になれちゃいます♪ バッカルファット術 症例N108+根こそぎベイザー脂肪吸引(頬+顎) 症例NO169 3ヵ月…
フェイスライン / 顔の脂肪吸引 他 No.185609
◆◆バッカルファット症例実績SBC全国No1!美マイスター名倉が叶える!!◆◆川崎院院長・町田院院長歴任してきた名倉俊輔が執刀致します!ダウンタイムも少なく、小顔になれちゃいます♪ バッカルファット術 症例N108+根こそぎベイザー脂肪吸引(頬+顎) 症例NO169 3ヵ月…
フェイスライン / 顔の脂肪吸引 他 No.185608
◆◆バッカルファット症例実績SBC全国No1!美マイスター名倉が叶える!!◆◆川崎院院長・町田院院長歴任してきた名倉俊輔が執刀致します!ダウンタイムも少なく、小顔になれちゃいます♪ バッカルファット術 症例N108+根こそぎベイザー脂肪吸引(頬+顎) 症例NO169 3ヵ月…
フェイスライン / 顔の脂肪吸引 他 No.185607
◆◆バッカルファット症例実績SBC全国No1!美マイスター名倉が叶える!!◆◆川崎院院長・町田院院長歴任してきた名倉俊輔が執刀致します!ダウンタイムも少なく、小顔になれちゃいます♪ バッカルファット術 症例N108+根こそぎベイザー脂肪吸引(頬+顎) 症例NO169 3ヵ月…
フェイスライン / 顔の脂肪吸引 他 No.185606
◆◆バッカルファット症例実績SBC全国No1!美マイスター名倉が叶える!!◆◆川崎院院長・町田院院長歴任してきた名倉俊輔が執刀致します!ダウンタイムも少なく、小顔になれちゃいます♪ バッカルファット術 症例N108+根こそぎベイザー脂肪吸引(頬+顎) 症例NO169 3ヵ月…
フェイスライン / 顔の脂肪吸引 他 No.185605
◆◆バッカルファット症例実績SBC全国No1!美マイスター名倉が叶える!!◆◆川崎院院長・町田院院長歴任してきた名倉俊輔が執刀致します!ダウンタイムも少なく、小顔になれちゃいます♪ バッカルファット術 症例N108+根こそぎベイザー脂肪吸引(頬+顎) 症例NO169 1ヵ月…
フェイスライン / 顔の脂肪吸引 他 No.185604
◆◆バッカルファット症例実績SBC全国No1!美マイスター名倉が叶える!!◆◆川崎院院長・町田院院長歴任してきた名倉俊輔が執刀致します!ダウンタイムも少なく、小顔になれちゃいます♪ バッカルファット術 症例N108+根こそぎベイザー脂肪吸引(頬+顎) 症例NO169 1ヵ月…
フェイスライン / 顔の脂肪吸引 他 No.185603
◆◆バッカルファット症例実績SBC全国No1!美マイスター名倉が叶える!!◆◆川崎院院長・町田院院長歴任してきた名倉俊輔が執刀致します!ダウンタイムも少なく、小顔になれちゃいます♪ バッカルファット術 症例N108+根こそぎベイザー脂肪吸引(頬+顎) 症例NO169 1ヵ月…
フェイスライン / 顔の脂肪吸引 他 No.185602
◆◆バッカルファット症例実績SBC全国No1!美マイスター名倉が叶える!!◆◆川崎院院長・町田院院長歴任してきた名倉俊輔が執刀致します!ダウンタイムも少なく、小顔になれちゃいます♪ バッカルファット術 症例N108+根こそぎベイザー脂肪吸引(頬+顎) 症例NO169 1ヵ月…
フェイスライン / 顔の脂肪吸引 他 No.185601
◆◆バッカルファット症例実績SBC全国No1!美マイスター名倉が叶える!!◆◆川崎院院長・町田院院長歴任してきた名倉俊輔が執刀致します!ダウンタイムも少なく、小顔になれちゃいます♪ バッカルファット術 症例N108+根こそぎベイザー脂肪吸引(頬+顎) 症例NO169 1ヵ月…
フェイスライン / 顔の脂肪吸引 他 No.185598
◆◆バッカルファット症例実績SBC全国No1!美マイスター名倉が叶える!!◆◆川崎院院長・町田院院長歴任してきた名倉俊輔が執刀致します!ダウンタイムも少なく、小顔になれちゃいます♪ バッカルファット術 症例N108+根こそぎベイザー脂肪吸引(頬+顎) 症例NO169 1ヵ月…
若返り / 目の下の切らないクマ・たるみ(ふくらみ)取り No.185221
◆◆ 名倉が叶える−5歳!!目の下の切らないたるみ取り◆◆目の下のぷっくり、クマでお悩みの方必見!!NO、105症例 1ヵ月後のお写真です!!
若返り / 目の下の切らないクマ・たるみ(ふくらみ)取り No.185220
◆◆ 名倉が叶える−5歳!!目の下の切らないたるみ取り◆◆目の下のぷっくり、クマでお悩みの方必見!!NO、105症例 1ヵ月後のお写真です!!










































