若返りの症例写真(名倉俊輔、若返り)
症例写真一覧
表示件数:2715件 / 349921件
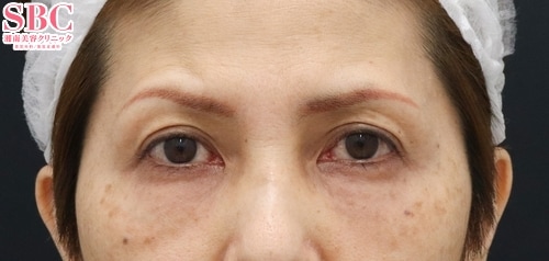
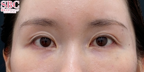
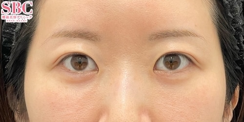
若返り / ナチュラル脂肪注射コンデンスリッチ 他 No.361839
◆◆美容外科専門医 名倉が叶える -5歳!! 目の下のたるみ取り+脂肪注入(目の下~ゴルゴ線)◆◆目の下のぷっくり、クマでお悩みの方必見!!◆6ヶ月後のお写真
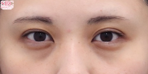
若返り / プリマリフト No.361838
◆◆美容外科専門医 名倉が叶える小顔術!!糸リフト6年連続全国1位 (2019年~2024年)!※SBC内◆◆プリマリフト+脂肪吸引(頬+顎下)◆ 6ヶ月後のお写真
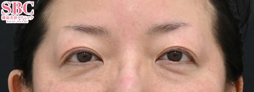
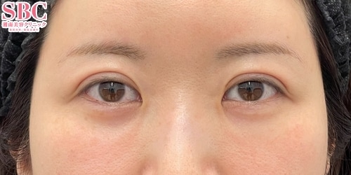
若返り / ナチュラル脂肪注射コンデンスリッチ No.361725
◆◆美容外科専門医 名倉が叶える 美顔術!! へこみを無くして美しい輪郭へ!! ◆脂肪注入(頬)3ヶ月後のお写真
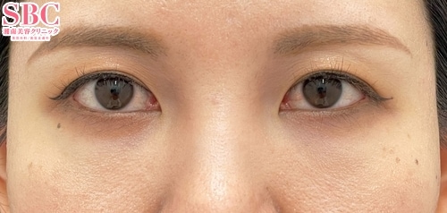
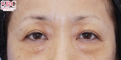
若返り / 眉下リフト(眉下切開) No.361721
◆◆目元切開厳選医師の名倉が叶える -5歳!! 眉下リフト◆◆瞼のたるみでお悩みの方必見!!2ヶ月後のお写真
若返り / ナチュラル脂肪注射コンデンスリッチ 他 No.361720
◆◆美容外科専門医 名倉が叶える -5歳!! 目の下のたるみ取り+脂肪注入(目の下~ゴルゴ線)◆◆目の下のぷっくり、クマでお悩みの方必見!!◆6ヶ月後のお写真
若返り / プリマリフト No.361719
◆◆美容外科専門医 名倉が叶える小顔術!!糸リフト6年連続全国1位 (2019年~2024年)!※SBC内◆◆プリマリフト+脂肪吸引(頬+顎下)◆ 4ヶ月後のお写真
若返り / ナチュラル脂肪注射コンデンスリッチ No.361688
◆◆美容外科専門医 名倉が叶える 美顔術!! へこみを無くして美しい輪郭へ!! ◆脂肪注入(顎)1ヶ月後のお写真
若返り / 眉下リフト(眉下切開) No.361685
◆◆目元切開厳選医師の名倉が叶える -5歳!! 眉下リフト◆◆瞼のたるみでお悩みの方必見!!2ヶ月後のお写真
若返り / ナチュラル脂肪注射コンデンスリッチ 他 No.361684
◆◆美容外科専門医 名倉が叶える -5歳!! 目の下のたるみ取り+脂肪注入(目の下~ゴルゴ線)◆◆目の下のぷっくり、クマでお悩みの方必見!!◆6ヶ月後のお写真
若返り / プリマリフト No.361681
◆◆美容外科専門医 名倉が叶える小顔術!!糸リフト6年連続全国1位 (2019年~2024年)!※SBC内◆◆プリマリフト+脂肪吸引(頬+顎下)◆ 7ヶ月後のお写真
若返り / ナチュラル脂肪注射コンデンスリッチ No.361539
◆◆美容外科専門医 名倉が叶える 美顔術!! へこみを無くして美しい輪郭へ!! ◆脂肪注入(額)1ヶ月後のお写真
若返り / 眉下リフト(眉下切開) No.361536
◆◆目元切開厳選医師の名倉が叶える -5歳!! 眉下リフト◆◆瞼のたるみでお悩みの方必見!!2ヶ月後のお写真
若返り / ナチュラル脂肪注射コンデンスリッチ 他 No.361535
◆◆美容外科専門医 名倉が叶える -5歳!! 目の下のたるみ取り+脂肪注入(目の下~ゴルゴ線)◆◆目の下のぷっくり、クマでお悩みの方必見!!◆3ヶ月後のお写真
若返り / プリマリフト No.361534
◆◆美容外科専門医 名倉が叶える小顔術!!糸リフト6年連続全国1位 (2019年~2024年)!※SBC内◆◆プリマリフト+脂肪吸引(頬+顎下)◆ 6ヶ月後のお写真
若返り / ナチュラル脂肪注射コンデンスリッチ No.361421
◆◆美容外科専門医 名倉が叶える 美顔術!! へこみを無くして美しい輪郭へ!! ◆脂肪注入(頬)3ヶ月後のお写真
若返り / 眉下リフト(眉下切開) No.361402
◆◆目元切開厳選医師の名倉が叶える -5歳!! 眉下リフト◆◆瞼のたるみでお悩みの方必見!!2ヶ月後のお写真
若返り / ナチュラル脂肪注射コンデンスリッチ 他 No.361401
◆◆美容外科専門医 名倉が叶える -5歳!! 目の下のたるみ取り+脂肪注入(目の下~ゴルゴ線)◆◆目の下のぷっくり、クマでお悩みの方必見!!◆1ヶ月後のお写真
若返り / プリマリフト No.361400
◆◆美容外科専門医 名倉が叶える小顔術!!糸リフト6年連続全国1位 (2019年~2024年)!※SBC内◆◆プリマリフト+脂肪吸引(頬+顎下)◆ 6ヶ月後のお写真
若返り / ナチュラル脂肪注射コンデンスリッチ No.361257
◆◆美容外科専門医 名倉が叶える 美顔術!! へこみを無くして美しい輪郭へ!! ◆脂肪注入(顎)1ヶ月後のお写真
若返り / 眉下リフト(眉下切開) No.361254
◆◆目元切開厳選医師の名倉が叶える -5歳!! 眉下リフト◆◆瞼のたるみでお悩みの方必見!!1ヶ月後のお写真










































