美容整形の症例写真(名倉俊輔)
症例写真一覧
表示件数:8321件 / 350905件
脂肪吸引 / Aquicell(アキーセル)脂肪吸引 他 No.362956
★脂肪吸引症例数4年連続全国No1(2021-2024年)※SBC内!No.1ドクター 名倉俊輔が叶える、ほっそりとした二の腕!★秋葉原院院長・他院長歴任 脂肪吸引・ボディーメイク専門 名倉俊輔 VASER脂肪吸引認定医 ☆吸引量・デザインへのこだわり☆ 脂肪吸引の真骨頂!!…
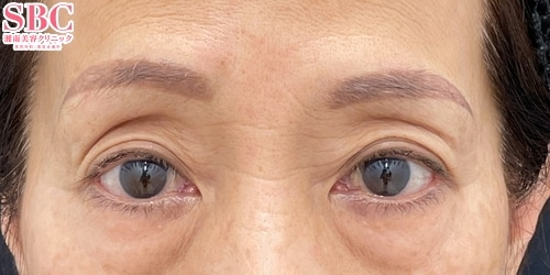
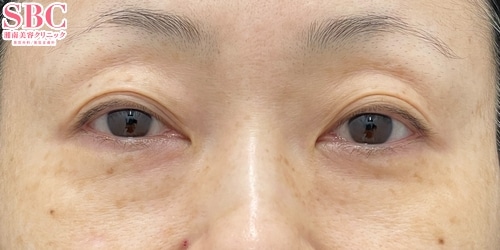
若返り / 眉下リフト(眉下切開) No.362954
◆◆目元切開厳選医師の名倉が叶える -5歳!! 眉下リフト◆◆瞼のたるみでお悩みの方必見!!1ヶ月後のお写真
若返り / 目の下の切らないクマ・たるみ(ふくらみ)取り No.362953
◆◆美容外科専門医 名倉が叶える -5歳!! 目の下のたるみ取り+脂肪注入(目の下~ゴルゴ線)◆◆目の下のぷっくり、クマでお悩みの方必見!!◆1ヶ月後のお写真
若返り / プリマリフト No.362952
◆◆美容外科専門医 名倉が叶える小顔術!!糸リフト6年連続全国1位 (2019年~2024年)!※SBC内◆◆プリマリフト+脂肪吸引(頬+顎下)◆ 6ヶ月後のお写真
脂肪吸引 / Aquicell(アキーセル)脂肪吸引 他 No.362951
★顔の脂肪吸引 8年連続全国No.1 (2018~2025年)!※SBC内 脂肪吸引エキスパートドクターによる輪郭整形 ★脂肪吸引(頬+顎下)+ジョールファット★6ヶ月後のお写真
若返り / ナチュラル脂肪注射コンデンスリッチ No.362925
◆◆美容外科専門医 名倉が叶える 美顔術!! へこみを無くして美しい輪郭へ!! ◆脂肪注入(頬)3ヶ月後のお写真
脂肪吸引 / Aquicell(アキーセル)脂肪吸引 他 No.362924
★脂肪吸引症例数4年連続全国No1(2021-2024年)!※SBC内 No.1ドクター 名倉俊輔が叶える、ほっそりした太もも!★秋葉原院院長・他院長歴任 脂肪吸引・ボディーメイク専門 名倉俊輔 VASER脂肪吸引認定医 ☆吸引量・デザインへのこだわり☆ 脂肪吸引の真骨頂!!…
脂肪吸引 / Aquicell(アキーセル)脂肪吸引 他 No.362923
★脂肪吸引症例数4年連続全国No1(2021-2024年)※SBC内!No.1ドクター 名倉俊輔が叶える、ほっそりとした二の腕!★秋葉原院院長・他院長歴任 脂肪吸引・ボディーメイク専門 名倉俊輔 VASER脂肪吸引認定医 ☆吸引量・デザインへのこだわり☆ 脂肪吸引の真骨頂!!…
若返り / 眉下リフト(眉下切開) No.362922
◆◆目元切開厳選医師の名倉が叶える -5歳!! 眉下リフト◆◆瞼のたるみでお悩みの方必見!!1ヶ月後のお写真
若返り / 目の下の切らないクマ・たるみ(ふくらみ)取り No.362921
◆◆美容外科専門医 名倉が叶える -5歳!! 目の下のたるみ取り+脂肪注入(目の下~ゴルゴ線)◆◆目の下のぷっくり、クマでお悩みの方必見!!◆1ヶ月後のお写真
若返り / プリマリフト No.362919
◆◆美容外科専門医 名倉が叶える小顔術!!糸リフト6年連続全国1位 (2019年~2024年)!※SBC内◆◆プリマリフト+脂肪吸引(頬+顎下)◆ 6ヶ月後のお写真
脂肪吸引 / Aquicell(アキーセル)脂肪吸引 他 No.362918
★顔の脂肪吸引 8年連続全国No.1 (2018~2025年)!※SBC内 脂肪吸引エキスパートドクターによる輪郭整形 ★脂肪吸引(頬+顎下)+ジョールファット★6ヶ月後のお写真
若返り / ナチュラル脂肪注射コンデンスリッチ No.362786
★脂肪注入全国No.1(2025年)!※SBC内◆◆美容外科専門医 名倉が叶える 美顔術!! へこみを無くして美しい輪郭へ!! ◆脂肪注入(顎)1ヶ月後のお写真
脂肪吸引 / Aquicell(アキーセル)脂肪吸引 他 No.362785
★脂肪吸引症例数4年連続全国No1(2021-2024年)!※SBC内 No.1ドクター 名倉俊輔が叶える、ほっそりした太もも!★秋葉原院院長・他院長歴任 脂肪吸引・ボディーメイク専門 名倉俊輔 VASER脂肪吸引認定医 ☆吸引量・デザインへのこだわり☆ 脂肪吸引の真骨頂!!…
脂肪吸引 / Aquicell(アキーセル)脂肪吸引 他 No.362784
★脂肪吸引症例数4年連続全国No1(2021-2024年)※SBC内!No.1ドクター 名倉俊輔が叶える、ほっそりとした二の腕!★秋葉原院院長・他院長歴任 脂肪吸引・ボディーメイク専門 名倉俊輔 VASER脂肪吸引認定医 ☆吸引量・デザインへのこだわり☆ 脂肪吸引の真骨頂!!…
若返り / 眉下リフト(眉下切開) No.362782
◆◆目元切開厳選医師の名倉が叶える -5歳!! 眉下リフト◆◆瞼のたるみでお悩みの方必見!!1ヶ月後のお写真
若返り / 目の下の切らないクマ・たるみ(ふくらみ)取り No.362781
◆◆美容外科専門医 名倉が叶える -5歳!! 目の下のたるみ取り+脂肪注入(目の下~ゴルゴ線)◆◆目の下のぷっくり、クマでお悩みの方必見!!◆1ヶ月後のお写真
若返り / プリマリフト No.362779
◆◆美容外科専門医 名倉が叶える小顔術!!糸リフト6年連続全国1位 (2019年~2024年)!※SBC内◆◆プリマリフト+脂肪吸引(頬+顎下)◆ 6ヶ月後のお写真
脂肪吸引 / Aquicell(アキーセル)脂肪吸引 他 No.362777
★顔の脂肪吸引 8年連続全国No.1 (2018~2025年)!※SBC内 脂肪吸引エキスパートドクターによる輪郭整形 ★脂肪吸引(頬+顎下)+ジョールファット★7ヶ月後のお写真
若返り / ナチュラル脂肪注射コンデンスリッチ No.362745
◆◆美容外科専門医 名倉が叶える 美顔術!! へこみを無くして美しい輪郭へ!! ◆脂肪注入(額)1ヶ月後のお写真










































