美容歯科の症例写真(美容歯科、マウスピース矯正)
症例写真一覧
表示件数:2637件 / 349891件
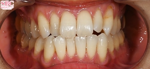
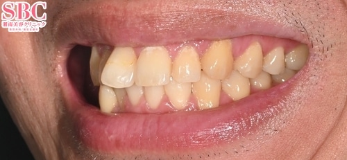
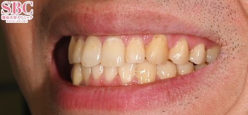
美容歯科 / マウスピース矯正 No.361514
前歯の捻じれを治したい!
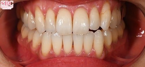
美容歯科 / マウスピース矯正 No.361509
【マウスピース矯正】インビザラインGoですきっ歯は半年以内に治る
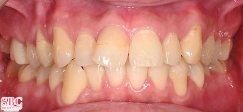
美容歯科 / マウスピース矯正 No.361505
【マウスピース矯正】インビザラインモデレートで気になる突出感(出っ歯)の悩みを解決!
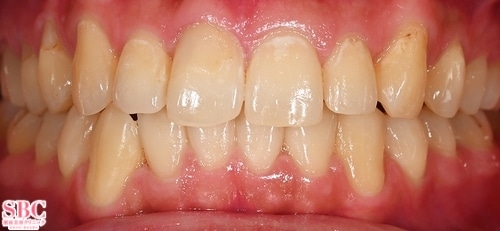
美容歯科 / マウスピース矯正 No.361504
【マウスピース矯正】部分矯正で前歯のガタつき解消!
美容歯科 / マウスピース矯正 他 No.361392
【マウスピース矯正+セラミック治療】歯並びを整えてからセラミック治療で前歯を美しく!
美容歯科 / マウスピース矯正 No.361348
【満足度No.1クラス】 「もっと早くやればよかった!」の声多数!まゆゆ先生が手がける、結果重視のマウスピース矯正【インビザラインGO両顎】
美容歯科 / マウスピース矯正 No.361347
【満足度No.1クラス】 「もっと早くやればよかった!」の声多数!まゆゆ先生が手がける、結果重視のマウスピース矯正【インビザラインGO両顎】
美容歯科 / プレミアムダイヤモンドセラミック 他 No.361247
【美容歯科】■湘南歯科グループ技術指導医■見た目だけ綺麗にする治療は治療ではない!難症例のレスキュー医師☆柿野統史医師による【インビザラインGO】×【プレミアムダイヤモンドセラミック】×【ラミネートベニア】
美容歯科 / マウスピース矯正 No.361237
【マウスピース矯正】インビザラインGoで気になる前歯の悩みを解決!
美容歯科 / マウスピース矯正 No.361212
【“似合う”歯並びをプロデュース】竹本先生があなたの笑顔をトータルデザイン!審美性と機能性を両立するマウスピース矯正【インビザラインGO(両顎)】
美容歯科 / マウスピース矯正 No.361210
【“似合う”歯並びをプロデュース】竹本先生があなたの笑顔をトータルデザイン!審美性と機能性を両立するマウスピース矯正【インビザラインGO(両顎)】
美容歯科 / マウスピース矯正 No.361205
【満足度No.1クラス】 「もっと早くやればよかった!」の声多数!まゆゆ先生が手がける、結果重視のマウスピース矯正【インビザラインGO両顎】
美容歯科 / マウスピース矯正 No.361204
【満足度No.1クラス】 「もっと早くやればよかった!」の声多数!まゆゆ先生が手がける、結果重視のマウスピース矯正【インビザラインGO両顎】
美容歯科 / マウスピース矯正 No.361162
【“似合う”歯並びをプロデュース】竹本先生があなたの笑顔をトータルデザイン!審美性と機能性を両立するマウスピース矯正【インビザラインGO(両顎)】
美容歯科 / マウスピース矯正 No.361161
【“似合う”歯並びをプロデュース】竹本先生があなたの笑顔をトータルデザイン!審美性と機能性を両立するマウスピース矯正【インビザラインGO(両顎)】
美容歯科 / マウスピース矯正 No.361142
【インビザライン モデレート】全体的な広がりをなくし綺麗な歯並びへ
美容歯科 / マウスピース矯正 No.361140
【インビザライン モデレート】全体的な隙間を埋めて綺麗な並びへ
美容歯科 / マウスピース矯正 No.361138
【インビザライン フル】色味も矯正で改善し、並びも綺麗にするマウスピース矯正
美容歯科 / マウスピース矯正 No.361049
【インビザライン GO(片顎)】普段は気にならないかも!!横から見た時の歯並び
美容歯科 / マウスピース矯正 No.361048
【インビザライン GO】隙間と突出感をなくす矯正
















































