若返りの症例写真(青柳萌花、若返り)
症例写真一覧
表示件数:503件 / 346528件
若返り / テスリフト 他 No.314563
【プリンセスラインでリフトアップ!】二子玉川院院長の青柳萌花による糸リフト★リフトアップの女神降臨!
若返り / VOV(ボブ)リフト 他 No.313550
【プリンセスラインでリフトアップ!】二子玉川院院長の青柳萌花による顎下の脂肪吸引と糸リフト★リフトアップの女神降臨!
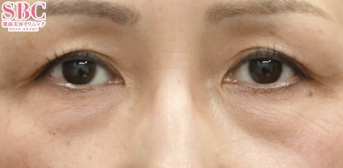
若返り / 目の下の切らないクマ・たるみ(ふくらみ)取り 他 No.313361
【クマ取りmuse】二子玉川院院長の青柳萌花による目の下の切らないクマたるみ取り★目の下ゴルゴへの脂肪注入でマイナス5歳★若々しい目元に!
若返り / ナチュラル脂肪注射コンデンスリッチ No.313254
【若返り術】二子玉川院院長の青柳萌花による脂肪注入術★額への脂肪注入でハリつや溢れるフェイスに!
若返り / 目の下の切らないクマ・たるみ(ふくらみ)取り 他 No.311291
【クマ取りmuse】二子玉川院院長の青柳萌花による目の下の切らないクマたるみ取り★目の下ゴルゴへの脂肪注入でマイナス5歳★若々しい目元に!
若返り / 目の下の切らないクマ・たるみ(ふくらみ)取り 他 No.303839
30代女性 クマ取り 【脱脂+コンデンスリッチ+ナノリッチ】 術前と1ヶ月
若返り / 目の下の切らないクマ・たるみ(ふくらみ)取り 他 No.303404
60代女性 クマ取り 【脱脂+コンデンスリッチ+ナノリッチ】 術前と1ヶ月
若返り / 目の下の切らないクマ・たるみ(ふくらみ)取り 他 No.303403
60代女性 クマ取り 【脱脂+コンデンスリッチ+ナノリッチ】 術前と1ヶ月
若返り / 裏ハムラ法 他 No.358649
【若返りmuse】二子玉川院院長の青柳萌花による目の下の切らないクマたるみ取り★若々しい目元に!
若返り / プリマリフト 他 No.358608
【若返りMuse】もえか先生の若返り術|お客様一人ひとりに合わせたパーソナルプランで自然な若返り?
若返り / 目の下の切らないクマ・たるみ(ふくらみ)取り 他 No.358531
【若返りmuse】二子玉川院院長の青柳萌花による目の下の切らないクマたるみ取り★若々しい目元に!
若返り / ナチュラル脂肪注射コンデンスリッチ No.358494
【若返りMuse】もえか先生の若返り術|お客様一人ひとりに合わせたパーソナルプランで自然な若返り?
若返り / 目の下の切らないクマ・たるみ(ふくらみ)取り 他 No.358452
【若返りmuse】二子玉川院院長の青柳萌花による目の下の切らないクマたるみ取り★若々しい目元に!
若返り / VOV(ボブ)リフト 他 No.358391
【若返りMuse】もえか先生の若返り術|お客様一人ひとりに合わせたパーソナルプランで自然な若返り?
若返り / 目の下の切らないクマ・たるみ(ふくらみ)取り 他 No.358056
【若返りmuse】二子玉川院院長の青柳萌花による目の下の切らないクマたるみ取り★若々しい目元に!
若返り / VOV(ボブ)リフト 他 No.357828
【若返りMuse】もえか先生の若返り術|お客様一人ひとりに合わせたパーソナルプランで自然な若返り?
若返り / 目の下の切らないクマ・たるみ(ふくらみ)取り 他 No.357789
【若返りmuse】二子玉川院院長の青柳萌花による目の下の切らないクマたるみ取り★若々しい目元に!
若返り / シークレットリフト No.357653
【若返りMuse】もえか先生の若返り術|お客様一人ひとりに合わせたパーソナルプランで自然な若返り?
若返り / 目の下の切らないクマ・たるみ(ふくらみ)取り 他 No.357611
【若返りmuse】二子玉川院院長の青柳萌花による目の下の切らないクマたるみ取り★若々しい目元に!
若返り / VOV(ボブ)リフト 他 No.357556
【若返りMuse】もえか先生の若返り術|お客様一人ひとりに合わせたパーソナルプランで自然な若返り?










































