美容歯科の症例写真(美容歯科)
症例写真一覧
表示件数:37833件 / 347836件
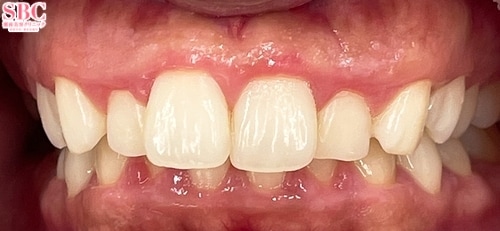
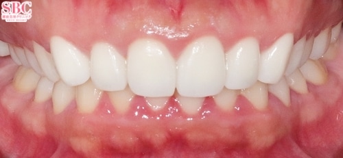
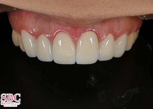
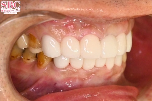
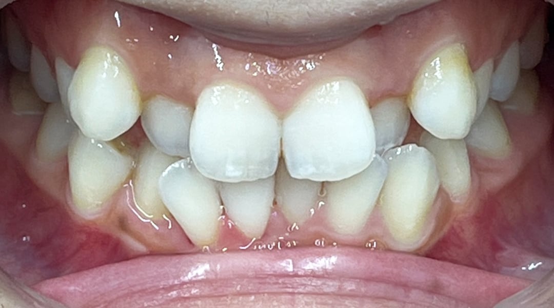
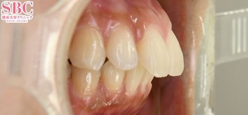
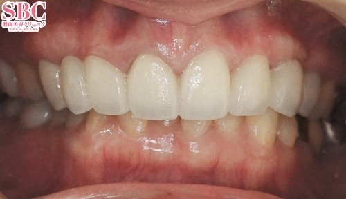
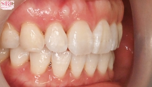
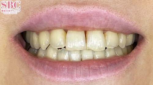
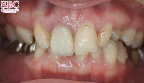
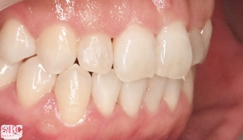
美容歯科 / プレミアムダイヤモンドセラミック 他 No.259258
24本セラミック治療でここまで自然に美しく♪ プレミアムダイヤモンドセラミック!
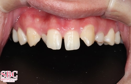
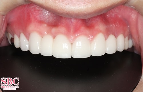
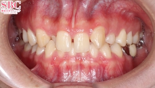
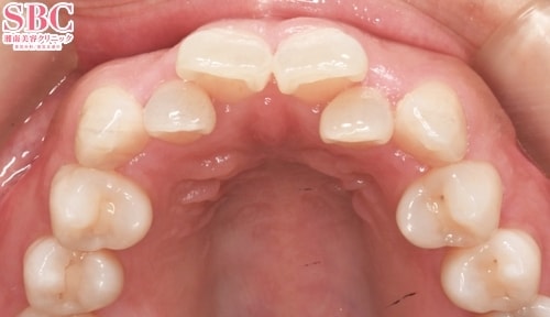
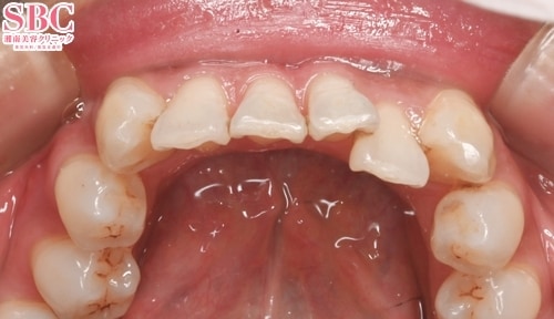
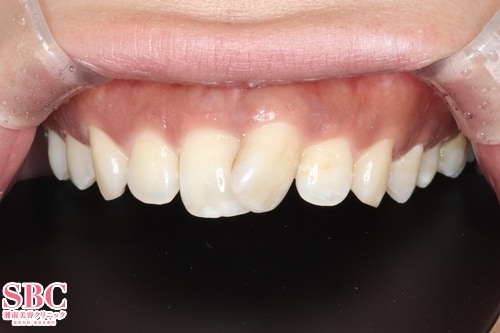
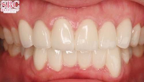
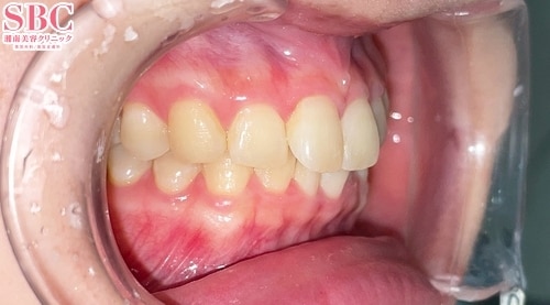
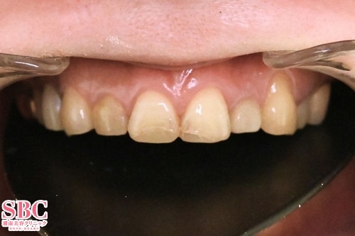
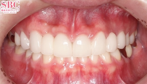
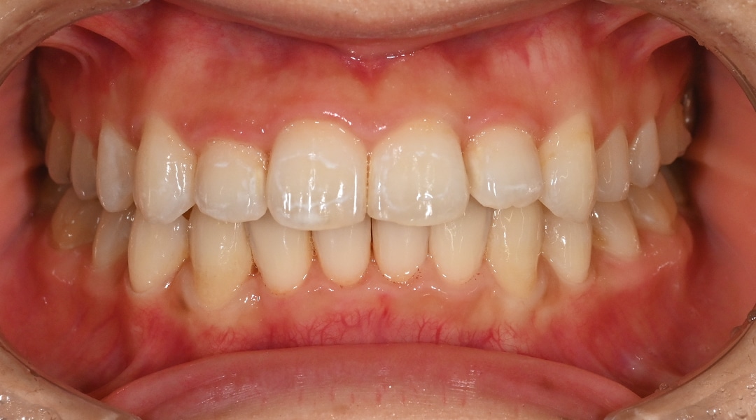
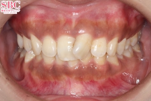
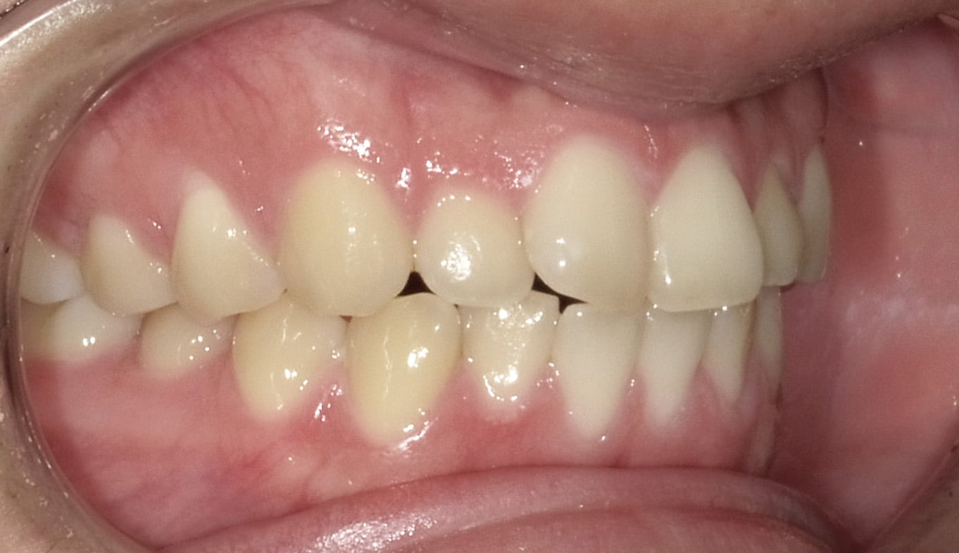
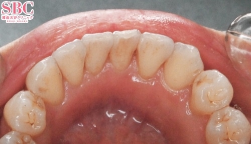
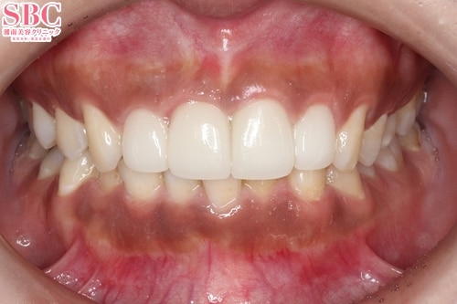
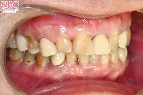
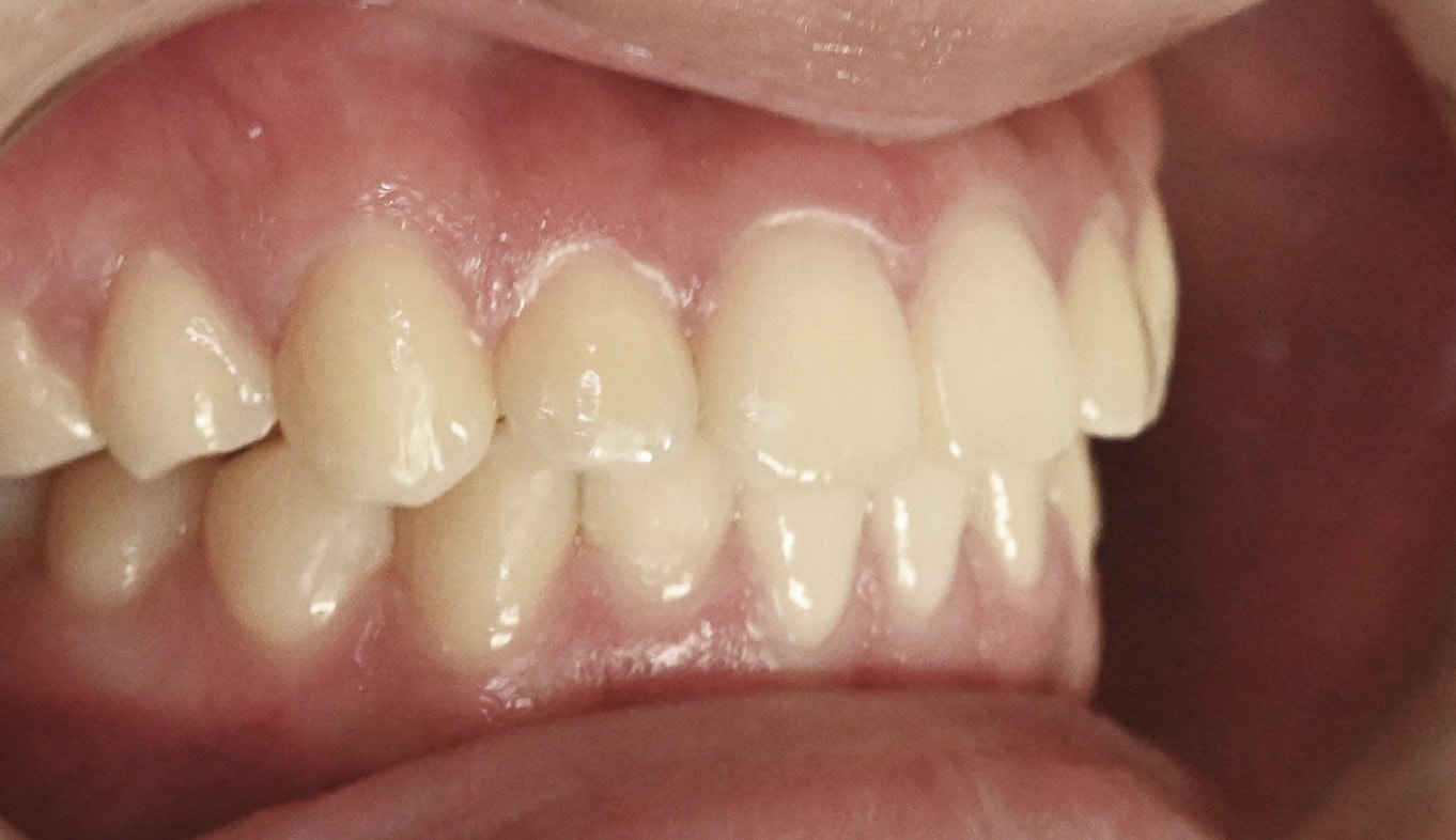
美容歯科 / セラミック 他 No.258806
SBC歯科新宿院♪ ジルコニアダイヤモンドセラミック20本でPerfect Smileへ
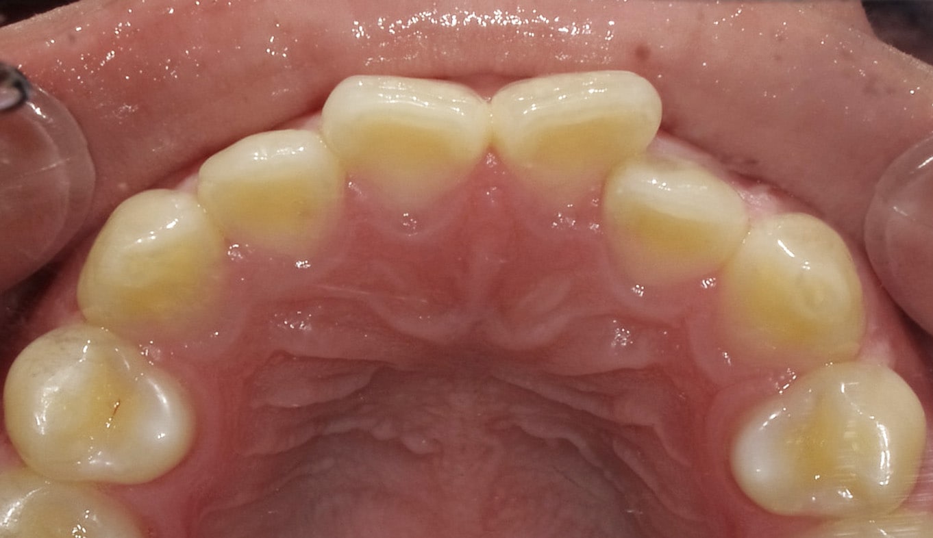
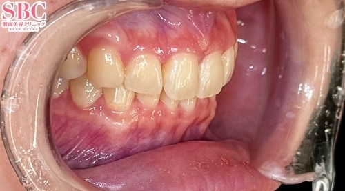
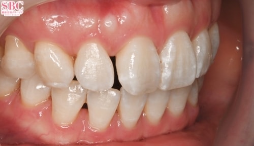
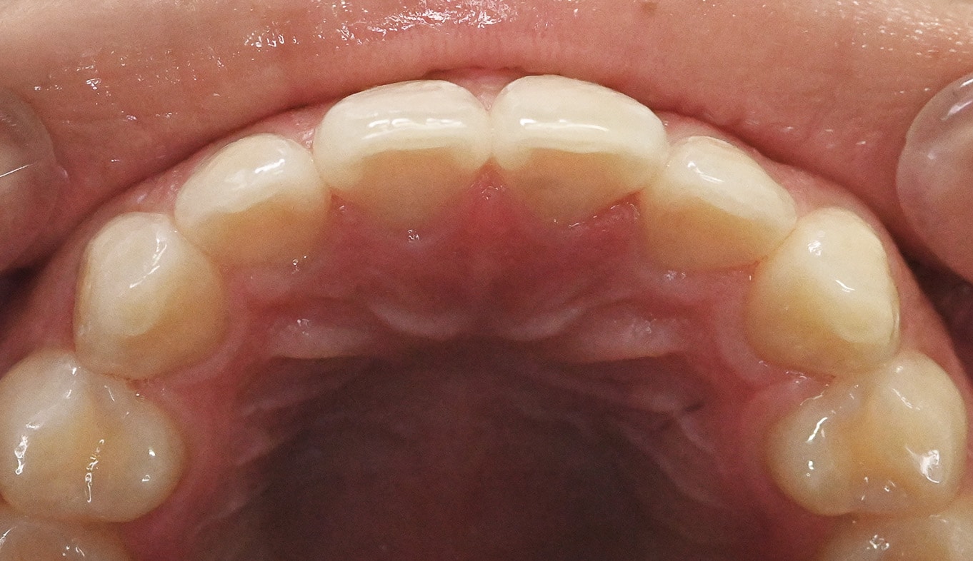
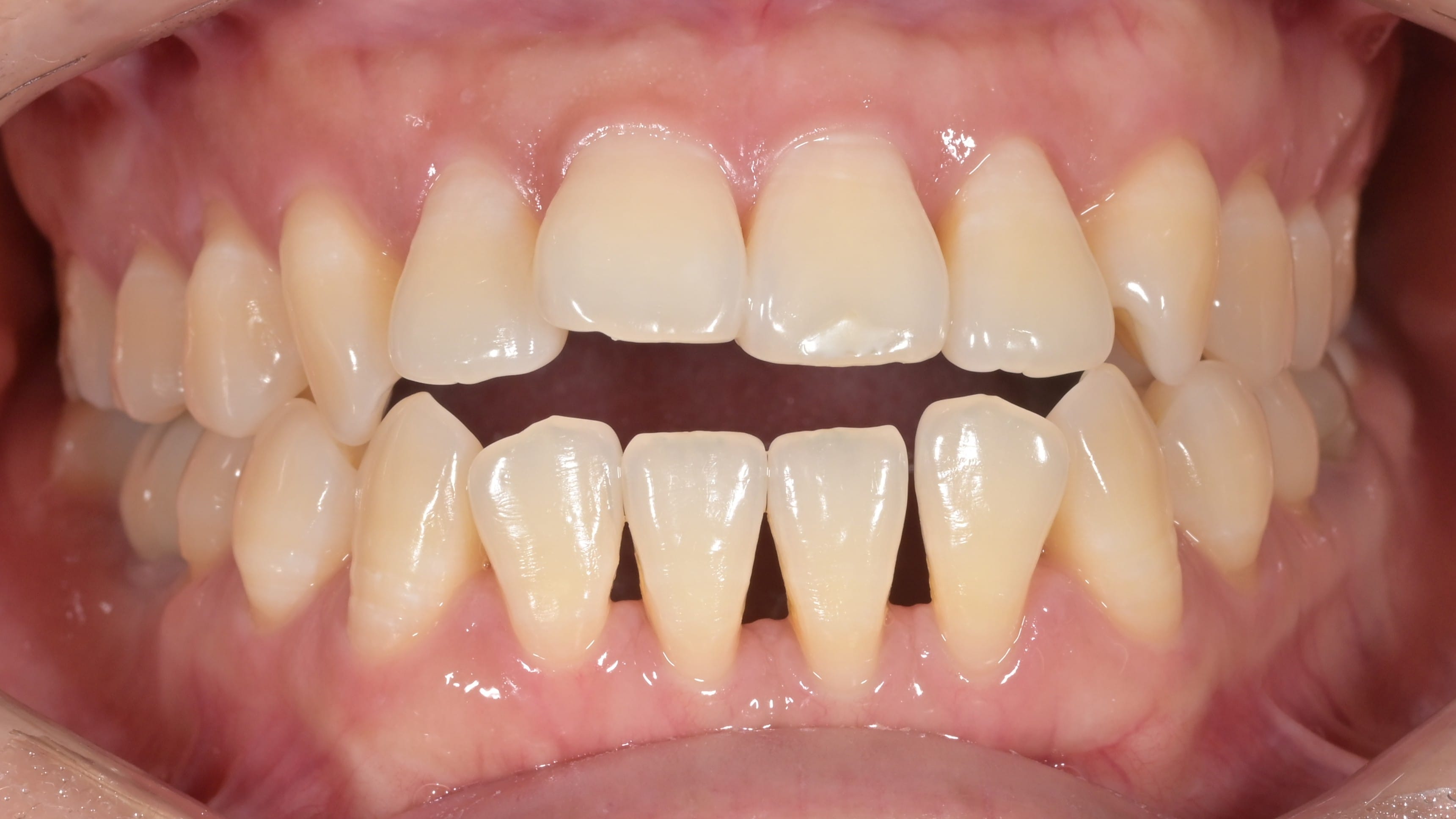
美容歯科 / セラミック 他 No.258743
SBC歯科新宿院♪ ジルコニアダイヤモンドセラミック6本でPerfect Smileへ
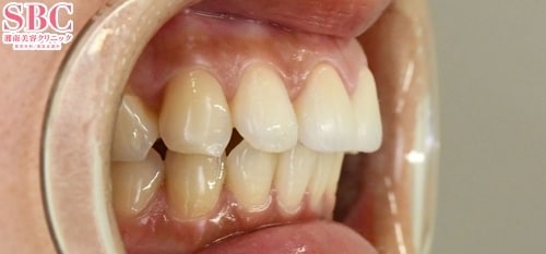
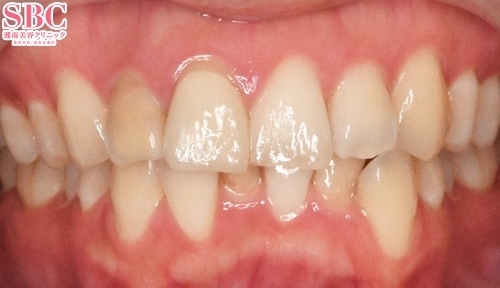
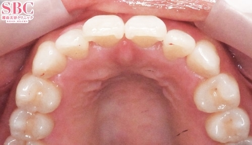
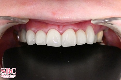
美容歯科 / プレミアムダイヤモンドセラミック 他 No.257227
SBC歯科新宿院♪ ジルコニアダイヤモンドセラミック6本でPerfect Smileへ
美容歯科 / セラミック 他 No.257289
SBC歯科新宿院♪ ジルコニアダイヤモンドセラミック10本でPerfect Smileへ
美容歯科 / 歯肉整形 他 No.257296
SBC歯科新宿院♪ ジルコニアダイヤモンドセラミック10本でPerfect Smileへ
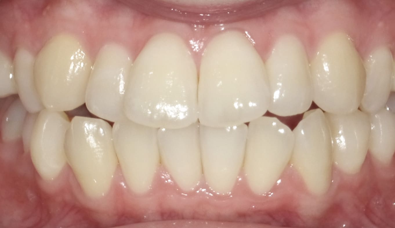
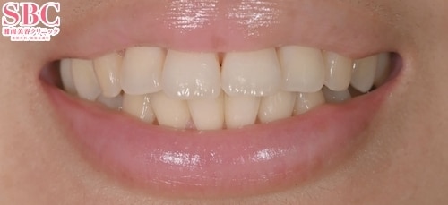
美容歯科 / セラミック No.243482
プレミアムダイヤモンドセラミックで透明感ある仕上がり
美容歯科 / マウスピース矯正 No.251316
インビザラインGO
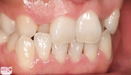
美容歯科 / プレミアムダイヤモンドセラミック No.245696
☆ジルコニアセラミック☆上8本☆
美容歯科 / プレミアムダイヤモンドセラミック No.232969
☆ジルコニアセラミック☆上下25本☆
美容歯科 / プレミアムダイヤモンドセラミック No.232968
☆ジルコニアセラミック☆上下25本☆
美容歯科 / マウスピース矯正 No.360248
【マウスピース矯正】インビザラインGoで出っ歯とすきっ歯同時に治す
美容歯科 / マウスピース矯正 他 No.360211
竹本先生があなたの笑顔をトータルデザイン!審美性と機能性を両立するセラミック矯正【プレミアムダイヤモンドセラミック】
美容歯科 / プレミアムダイヤモンドセラミック 他 No.360197
整形シンデレラファイナリスト担当Drが貴方に贈る 「あなたの笑顔を最高の笑顔に。」〜The Perfect Smile〜 ジルコニアダイヤモンドセラミック
美容歯科 / プレミアムダイヤモンドセラミック 他 No.360168
整形シンデレラファイナリスト担当Drが貴方に贈る 「あなたの笑顔を最高の笑顔に。」〜The Perfect Smile〜 ジルコニアダイヤモンドセラミック
美容歯科 / プレミアムダイヤモンドセラミック 他 No.360164
整形シンデレラファイナリスト担当Drが貴方に贈る 「あなたの笑顔を最高の笑顔に。」〜The Perfect Smile〜 ジルコニアダイヤモンドセラミック
美容歯科 / プレミアムダイヤモンドセラミック No.360148
【歯科統括院長 前田純】上6本プレミアムダイヤモンドセラミック
美容歯科 / プレミアムダイヤモンドセラミック No.360147
【歯科統括院長 前田純】上6本プレミアムダイヤモンドセラミック
美容歯科 / プレミアムダイヤモンドセラミック No.360146
【歯科統括院長 前田純】上6本プレミアムダイヤモンドセラミック
美容歯科 / ダイヤモンドオーダーセラミック 他 No.360141
整形シンデレラファイナリスト担当Drが貴方に贈る 「あなたの笑顔を最高の笑顔に。」〜The Perfect Smile〜 ジルコニアダイヤモンドセラミック















































