二重・二重整形の症例写真(二重・二重整形)
ドクターが選ぶ BEST SHOT AWARD
症例写真一覧
表示件数:92328件 / 346375件
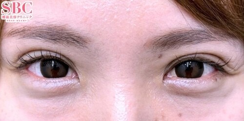
二重・二重整形 / クイックコスメティーク・ダブルNeo No.358273
二重整形するなら、Dr.SHOにお任せください!SBC最高峰のクイックコスメティークダブルNeoでお顔に似合う二重にしてみせます!
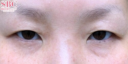
二重・二重整形 / クイックコスメティーク・ダブルNeo 他 No.358265
【二重・二重整形】★2025上期 自然癒着セット症例数 九州沖縄エリアNo.1★まつ毛の生え際が見えるパッチリ二重に!【施術1ヶ月後】【クイックコスメティーク法×自然癒着セット×目頭切開×SBCデカ目】
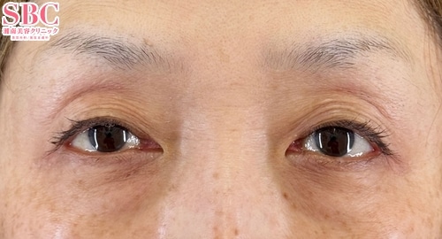
二重・二重整形 / クイックコスメティーク・ダブルNeo No.358247
【10代症例】医師歴29年!Dr.大野執刀 【クイックコスメティークダブルNeo】糸の結び目が表に出ず傷が出来ない!当日からのメイクも可能! 腫れづらくバレづらい二重術!【施術後1カ月経過】
二重・二重整形 / クイックコスメティーク・トリプルNeo 他 No.358244
【プレミアムドクター】症例数14年連続No.1(SBC西日本2011-2024)SBC1番人気の埋没法"クイックコスメティーク法開発者"元心臓血管外科医が手がける圧倒的に可愛い二重★クイックコスメティーク・トリプルNeo+目頭切開《1ヶ月》
二重・二重整形 / クイックコスメティーク・トリプルNeo No.358242
【プレミアムドクター】症例数14年連続No.1(SBC西日本2011-2024)SBC1番人気の埋没法"クイックコスメティーク法開発者"元心臓血管外科医が手がける圧倒的に可愛い二重★クイックコスメティーク・トリプルNeo《1ヶ月》
二重・二重整形 / クイックコスメティーク・トリプルNeo No.358241
【プレミアムドクター】症例数14年連続No.1(SBC西日本2011-2024)SBC1番人気の埋没法"クイックコスメティーク法開発者"元心臓血管外科医が手がける圧倒的に可愛い二重★クイックコスメティーク・トリプルNeo《1ヶ月》
二重・二重整形 / クイックコスメティーク・トリプルNeo No.358240
【プレミアムドクター】症例数14年連続No.1(SBC西日本2011-2024)SBC1番人気の埋没法"クイックコスメティーク法開発者"元心臓血管外科医が手がける圧倒的に可愛い二重★クイックコスメティーク・トリプルNeo《1ヶ月》
二重・二重整形 / クイックコスメティーク・トリプルNeo No.358239
【プレミアムドクター】【46歳女性】切らないまぶたのリフトアップ!30万人以上が受けているSBC人気No.1埋没法"クイックコスメティーク法開発者"が手がける圧倒的に若返る二重★クイックコスメティーク・トリプルNeo《1ヶ月》
二重・二重整形 / クイックコスメティーク・トリプルNeo No.358237
【プレミアムドクター】症例数14年連続No.1(SBC西日本2011-2024)SBC1番人気の埋没法"クイックコスメティーク法開発者"元心臓血管外科医が手がける圧倒的に可愛い二重★クイックコスメティーク・トリプルNeo《1ヶ月》
二重・二重整形 / クイックコスメティーク・トリプルNeo No.358236
【プレミアムドクター】症例数14年連続No.1(SBC西日本2011-2024)SBC1番人気の埋没法"クイックコスメティーク法開発者"元心臓血管外科医が手がける圧倒的に可愛い二重★クイックコスメティーク・トリプルNeo《1ヶ月》
二重・二重整形 / クイックコスメティーク・トリプルNeo 他 No.358234
【プレミアムドクター】症例数14年連続No.1(SBC西日本2011-2024)SBC1番人気の埋没法"クイックコスメティーク法開発者"元心臓血管外科医が手がける圧倒的に可愛い二重★クイックコスメティーク・トリプルNeo《1ヶ月》
二重・二重整形 / クイックコスメティーク・トリプルNeo No.358233
【プレミアムドクター】症例数14年連続No.1(SBC西日本2011-2024)SBC1番人気の埋没法"クイックコスメティーク法開発者"元心臓血管外科医が手がける圧倒的に可愛い二重★クイックコスメティーク・トリプルNeo《1ヶ月》
二重・二重整形 / クイックコスメティーク・トリプルNeo No.358232
【プレミアムドクター】【48歳女性】切らないまぶたのリフトアップ!30万人以上が受けているSBC人気No.1埋没法"クイックコスメティーク法開発者"が手がける圧倒的に若返る二重★クイックコスメティーク・トリプルNeo《1ヶ月》
二重・二重整形 / 線留めクロス二重術 No.358230
少しの変化で目力アップ
二重・二重整形 / 線留めクロス二重術 No.358229
平行二重で大人っぽい印象に
二重・二重整形 / クイックコスメティーク・ダブルNeo No.358207
外科専門医による目元に合わせたバランスの良い上質な二重術
二重・二重整形 / 線留めクロス二重術 No.358152
【眼科医出身・目のプロ】中坊医師による二重埋没法【線留めクロス二重術】
二重・二重整形 / 線留めクロス二重術 No.358151
【眼科医出身・目のプロ】中坊医師による二重埋没法【線留めクロス二重術】
二重・二重整形 / 線留めクロス二重術 No.358150
【眼科医出身・目のプロ】中坊医師による二重埋没法【線留めクロス二重術】
二重・二重整形 / 線留めクロス二重術 No.358149
【眼科医出身・目のプロ】中坊医師による二重埋没法【線留めクロス二重術】































































