二重・二重整形の症例写真(二重・二重整形)
ドクターが選ぶ BEST SHOT AWARD
症例写真一覧
表示件数:92328件 / 346371件
二重・二重整形 / クイックコスメティーク・ダブルNeo 他 No.358142
仕上がりの綺麗さと長持ちの両方を兼ね備えたクイックコスメティークダブル!
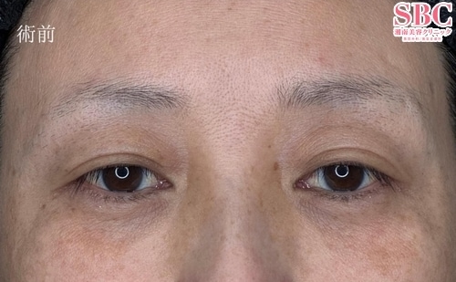
二重・二重整形 / クイックコスメティーク・トリプルNeo No.358138
似合わせ二重なら南山医師★クイックコスメティーク法 2022~2025年上半期SBC内【西日本エリア 女医No.1】南山里奈医師の二重術!
二重・二重整形 / クイックコスメティーク・ダブルNeo No.358090
【二重埋没法】【静岡院】ドクターが選ぶBEST SHOT AWARD優秀賞受賞(2021年5月)★Dr.飯田による二重の食い込み&まばたきしても美しい自然な二重術★施術前→施術直後→術後1週間→術後1ヶ月
二重・二重整形 / クイックコスメティーク・ダブルNeo 他 No.358089
【二重埋没法】【静岡院】ドクターが選ぶBEST SHOT AWARD優秀賞受賞(2021年5月)★Dr.飯田による二重の食い込み&まばたきしても美しい自然な二重術★施術前→術後1ヶ月
二重・二重整形 / クイックコスメティーク・ダブルNeo 他 No.358088
【二重埋没法】【静岡院】ドクターが選ぶBEST SHOT AWARD優秀賞受賞(2021年5月)★Dr.飯田による二重の食い込み&まばたきしても美しい自然な二重術★施術前→術後1週間→術後1ヶ月
二重・二重整形 / クイックコスメティーク・ダブルNeo No.358087
【埋没法二重術】【元大学病院外科医】綺麗な仕上がりなら茂木先生にお任せ☆
二重・二重整形 / クイックコスメティーク・トリプルNeo No.358082
【二重・二重整形】インスタから指名多数!千葉センシティ院 Dr.高橋のまつ毛のキワ見せ二重術【クイックコスメティーク・トリプルNeo+目頭切開プレミアム】
二重・二重整形 / 全切開法二重術 他 No.358072
19歳女性 眼瞼下垂+たるみ取り併用二重全切開 +目頭切開(Z形成+目の上切開) +MD式
二重・二重整形 / 全切開法二重術 他 No.358067
30代女性 たるみ取り併用全切開二重+Roof切除+埋没糸抜糸 術後6ヶ月
二重・二重整形 / タルミ取り併用全切開法二重 No.358044
埋没法並みに自然だけど半永久な二重にしたい
二重・二重整形 / 眉下リフト(眉下切開) No.358040
皮膚のたるみを切除して、瞼を軽くしています
二重・二重整形 / クイックコスメティーク・ダブルNeo No.358031
【埋没二重】【クイックコスメティーク・ダブルNeo】SNSからのご指名多数!!Dr.松浦による美曲線二重ライン。
二重・二重整形 / タルミ取り併用全切開法二重 No.358030
中川医師だから出来る"グラデーション縫い"で症例数全国NO.1「切開なのに自然な仕上がり」
二重・二重整形 / 目頭切開プレミアム No.358028
【二重・二重整形】元形成外科医によるによる目頭切開
二重・二重整形 / 線留めクロス二重術 No.358027
【二重・二重整形】元形成外科医によるによるメイク映えする二重術
二重・二重整形 / クイックコスメティーク・ダブルNeo 他 No.358026
仕上がりの綺麗さと長持ちの両方を兼ね備えたクイックコスメティークダブル!
二重・二重整形 / 線留めクロス二重術 No.358024
【二重・二重整形】元形成外科医によるによ映える二重術
二重・二重整形 / 線留めクロス二重術 他 No.357932
【目元症例2000件以上/症例実績多数】【10代/線留めクロス二重術】あなたにあった自然な二重幅で作り上げる小泉佑太のナチュ映え二重
二重・二重整形 / 線留めクロス二重術 No.357917
宮崎鹿児島で二重にするなら!10代の二重圧倒的症例数のおくとDrにお任せ!
二重・二重整形 / タルミ取り併用全切開法二重 No.357877
20代女性 タルミ取り併用全切開法二重





































































