二重・二重整形の症例写真(二重・二重整形)
ドクターが選ぶ BEST SHOT AWARD
症例写真一覧
表示件数:92328件 / 346376件
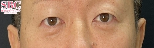
二重・二重整形 / タルミ取り併用全切開法二重 No.357878
20代女性 タルミ取り併用全切開法二重
二重・二重整形 / タルミ取り併用全切開法二重 No.357876
20代女性 タルミ取り併用全切開法二重
二重・二重整形 / タルミ取り併用全切開法二重 No.357875
20代女性 タルミ取り併用全切開法二重
二重・二重整形 / タルミ取り併用全切開法二重 No.357874
20代女性 タルミ取り併用全切開法二重
二重・二重整形 / タルミ取り併用全切開法二重 No.357872
20代女性 タルミ取り併用全切開法二重
二重・二重整形 / クイックコスメティーク・トリプルNeo No.357792
【二重・二重整形】インスタから指名多数!千葉センシティ院 Dr.高橋のまつ毛のキワ見せ二重術【クイックコスメティーク・トリプルNeo】
二重・二重整形 / クイックコスメティーク・ダブルNeo No.357769
外科専門医による目元に合わせたバランスの良い上質な二重術
二重・二重整形 / クイックコスメティーク・ダブルNeo No.357766
外科専門医による目元に合わせたバランスの良い上質な二重術
二重・二重整形 / クイックコスメティーク・ダブルNeo No.357765
外科専門医による目元に合わせたバランスの良い上質な二重術
二重・二重整形 / 週末二重(R) No.357759
眉下切開でも解決しなかった瞼の重たさを埋没二重で解決
二重・二重整形 / 全切開法二重術 No.357719
★☆Dr.東の韓流二重★☆【中部No.3の全切開法二重術】★☆目頭切開中部1位[2024下半期SBC内症例数]/全切開法二重術中部3位[2024下半期SBC内症例数]/線留めクロス二重術全国1位[2022下半期SBC内症例数]☆★目周り症例実績多数!カウセ当日施術可能★韓国出…
二重・二重整形 / 目尻切開法 他 No.357702
30代女性 下眼瞼下制(結膜切開/タレ目/たれ目/グラマラスライン) 目尻切開
二重・二重整形 / 目尻切開法 他 No.357701
30代女性 下眼瞼下制(結膜切開/タレ目/たれ目/グラマラスライン) 目尻切開
二重・二重整形 / 目尻切開法 他 No.357699
30代女性 下眼瞼下制(結膜切開/タレ目/たれ目/グラマラスライン) 目尻切開
二重・二重整形 / 目尻切開法 他 No.357700
30代女性 下眼瞼下制(結膜切開/タレ目/たれ目/グラマラスライン) 目尻切開
二重・二重整形 / 目尻切開法 他 No.357698
30代女性 下眼瞼下制(結膜切開/タレ目/たれ目/グラマラスライン) 目尻切開
二重・二重整形 / 目尻切開法 他 No.357697
30代女性 下眼瞼下制(結膜切開/タレ目/たれ目/グラマラスライン) 目尻切開
二重・二重整形 / 切らないまぶたのリフトアップ No.357645
30代以上の埋没もお任せ!土田博之医師によるクイックコスメティーク・ダブルNeo【二重埋没法】目元整形で選ばれています!眉下リフト症例数関西No.2(※)(SBC内症例数 2023年上半期)
二重・二重整形 / 線留めクロス二重術 No.357643
執刀数九州1位の二重術を宮崎の地で!【TEEN二重術 九州沖縄エリア症例数1位 2025年上期】コスパ重視、仕上がり極上。線留めクロス二重術
二重・二重整形 / 線留めクロス二重術 No.357641
執刀数九州1位の二重術を宮崎の地で!【TEEN二重術 九州沖縄エリア症例数1位 2025年上期】コスパ重視、仕上がり極上。線留めクロス二重術































































