美容歯科の症例写真(美容歯科)
症例写真一覧
表示件数:37896件 / 348344件
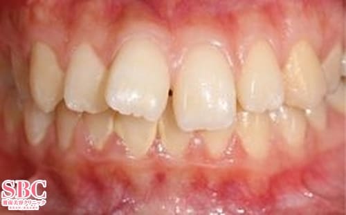
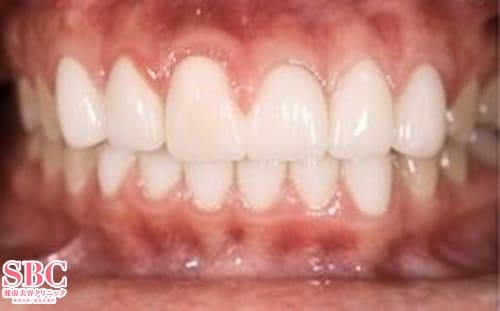
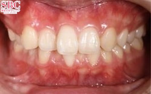
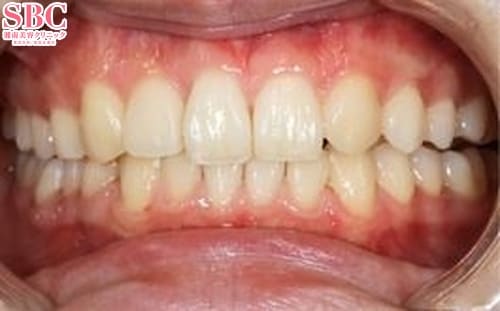
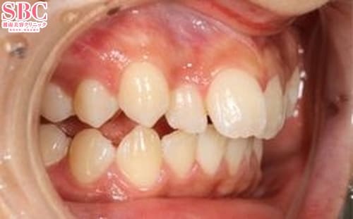
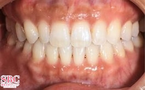
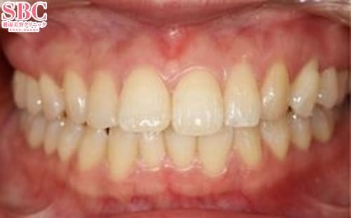
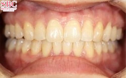
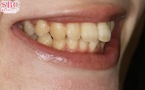
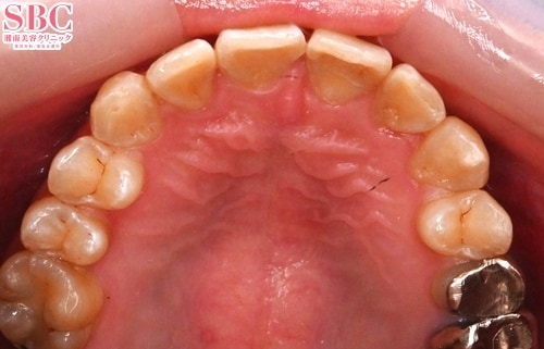
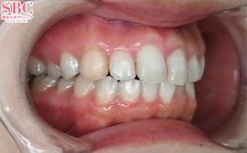
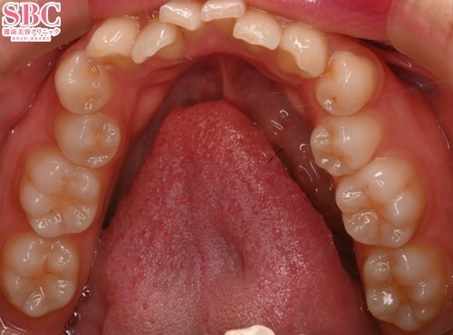
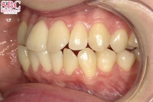
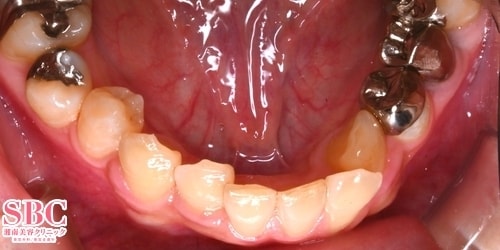
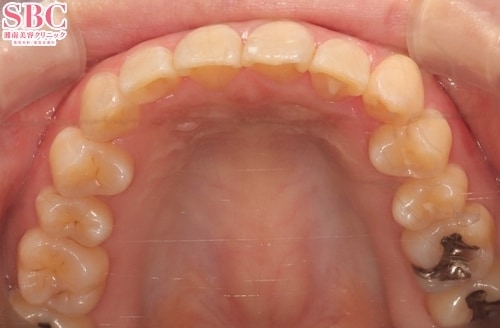
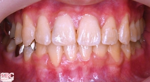
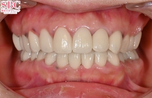
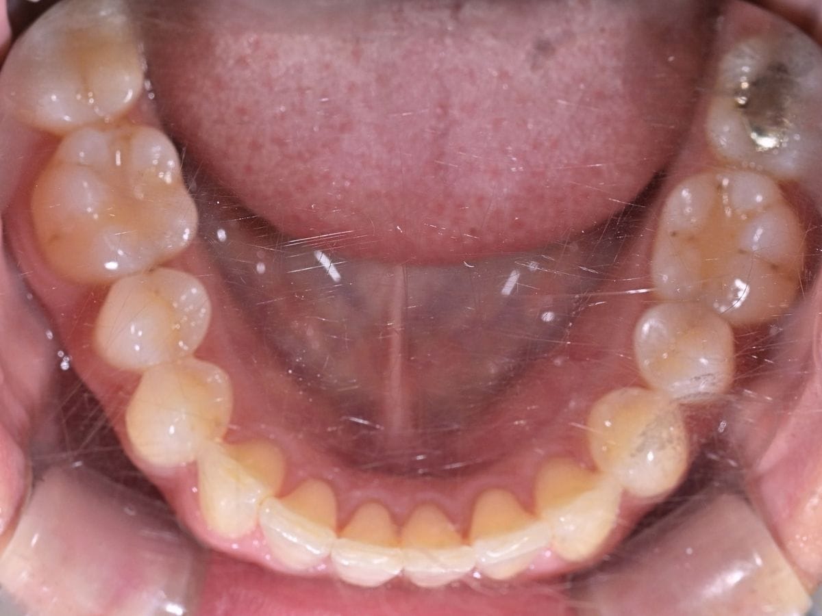
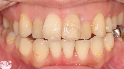
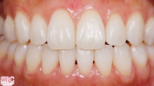
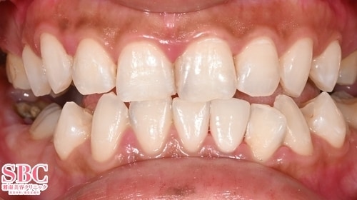
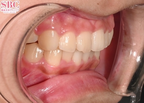
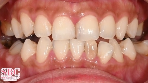
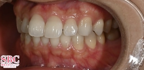
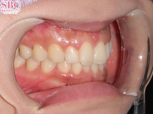
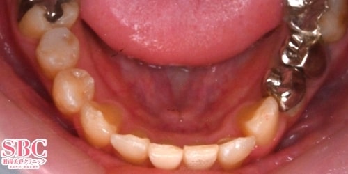
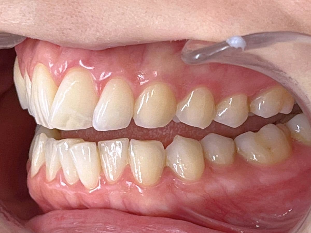
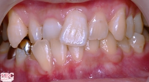
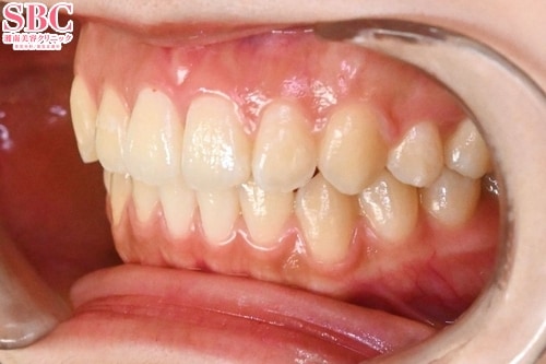
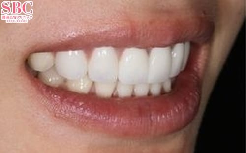
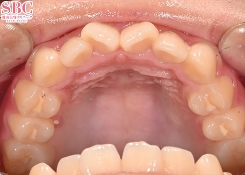
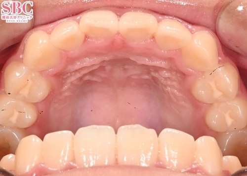
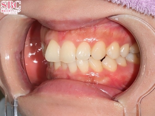
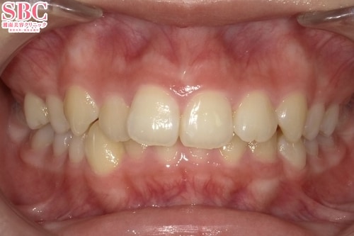
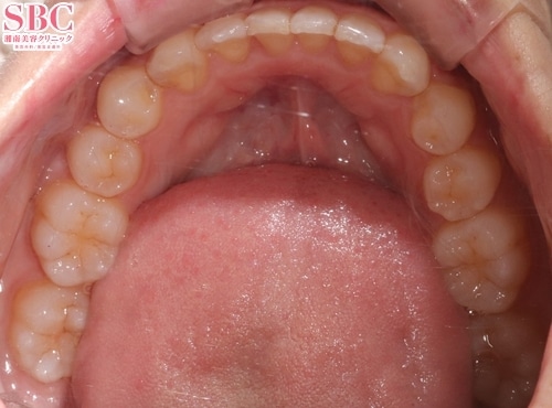
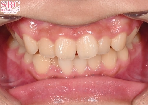
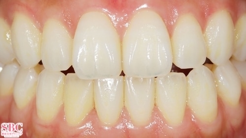
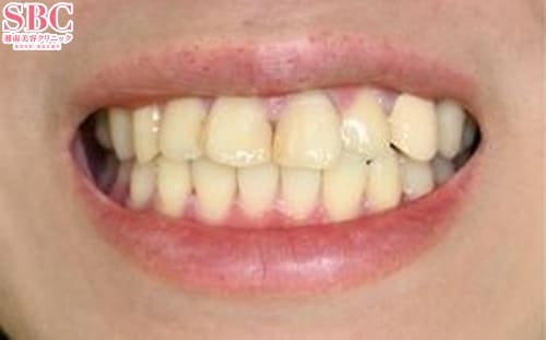
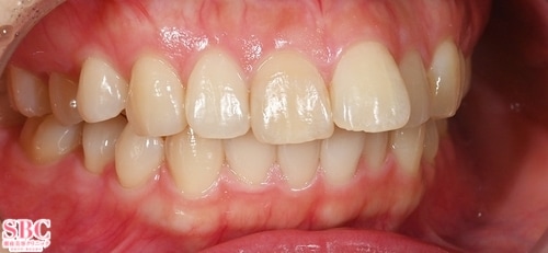
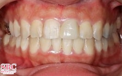
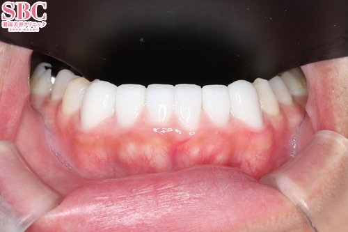
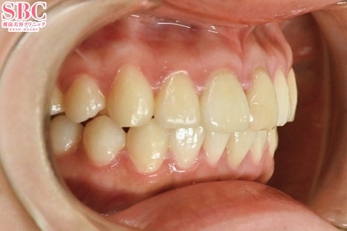
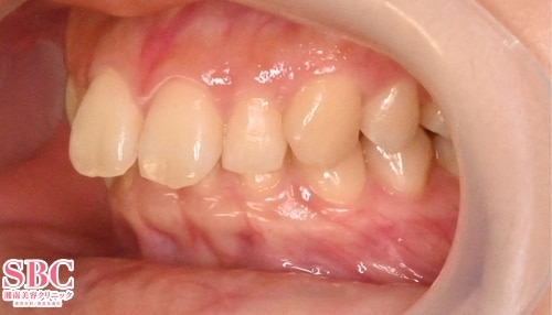
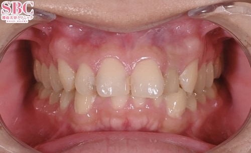
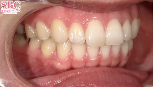
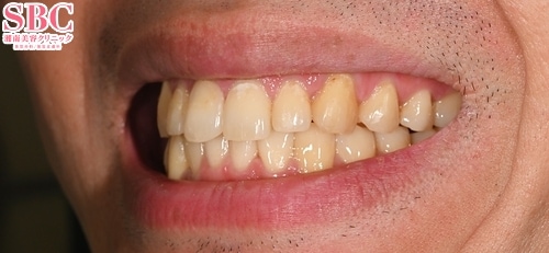
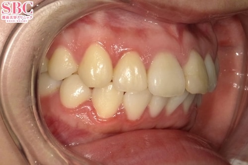
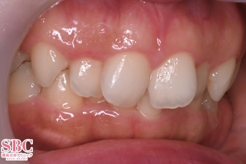
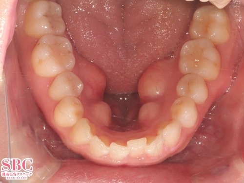
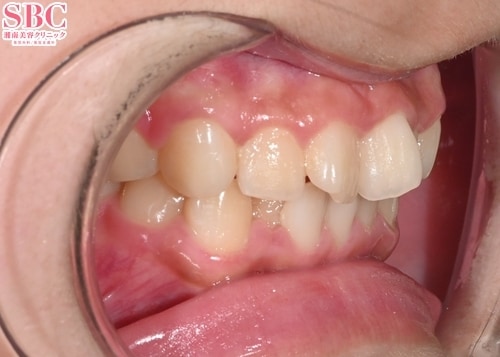
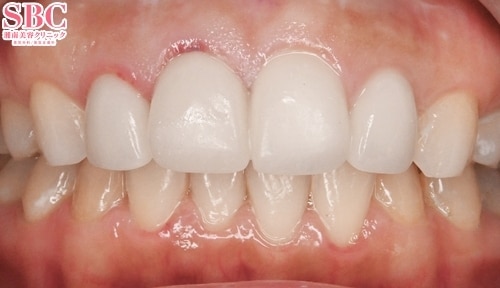
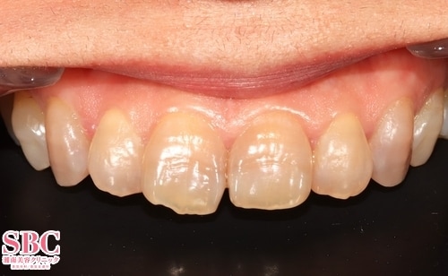
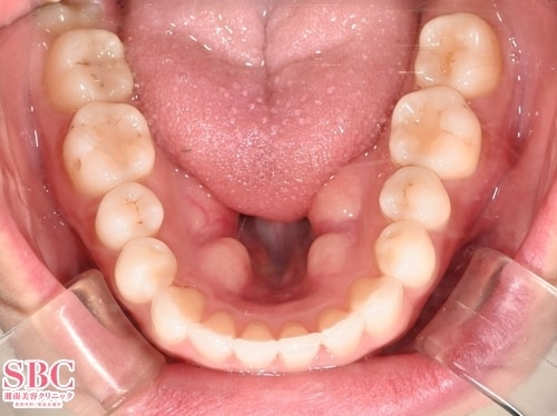
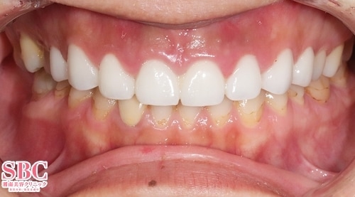
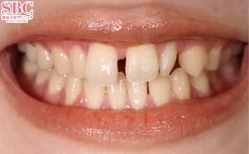
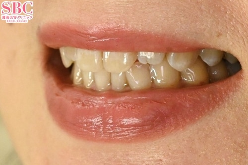
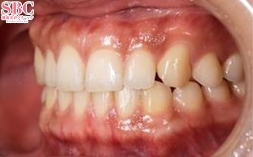
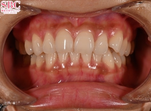
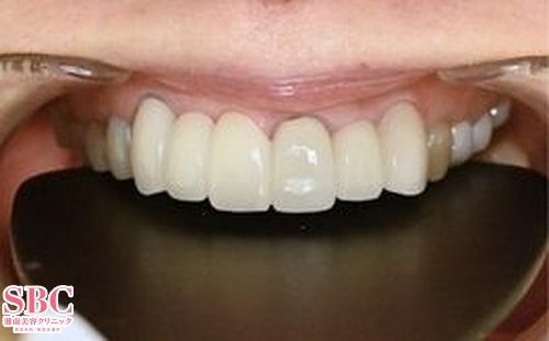
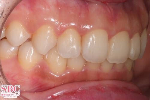
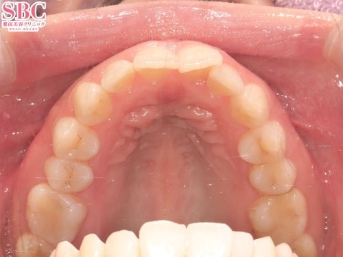
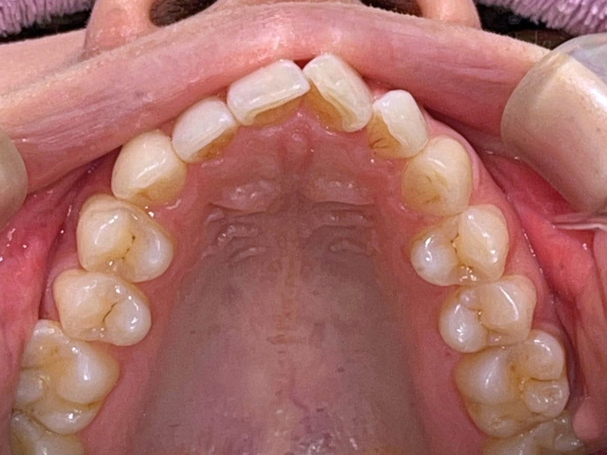
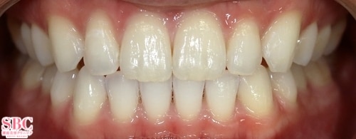
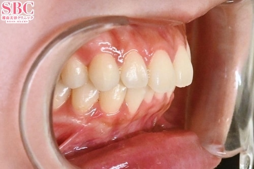
美容歯科 / マウスピース矯正 No.360752
【“似合う”歯並びをプロデュース】竹本先生があなたの笑顔をトータルデザイン!審美性と機能性を両立するマウスピース矯正【インビザラインGO(両顎)】
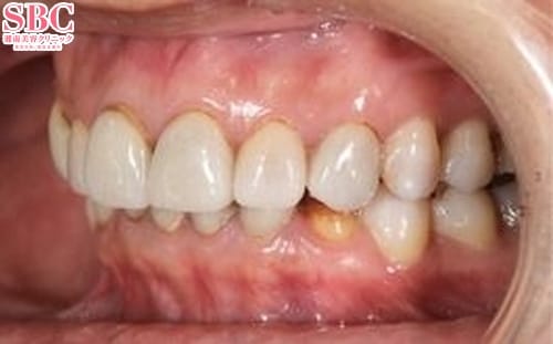
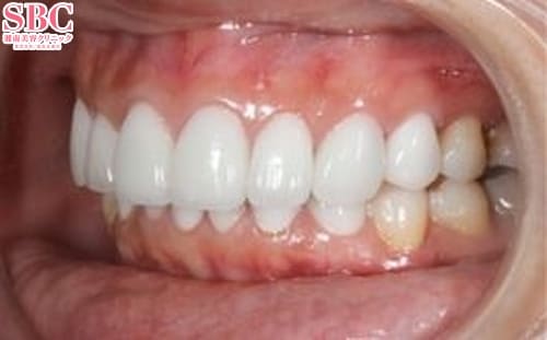
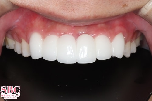
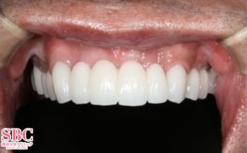
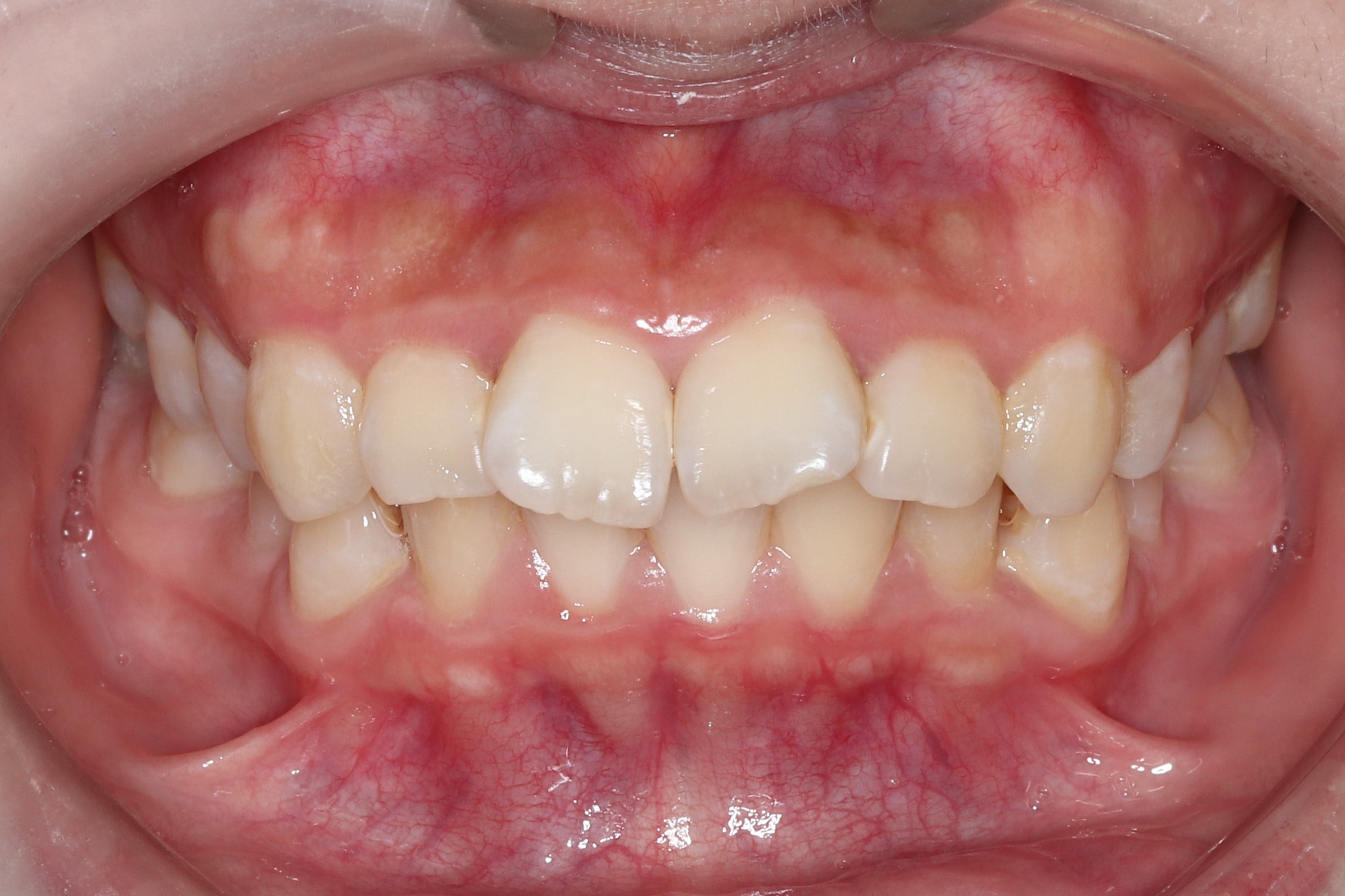
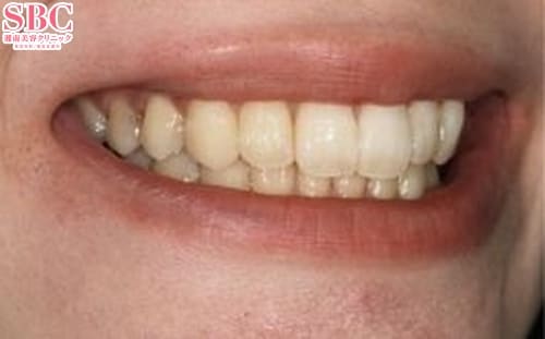
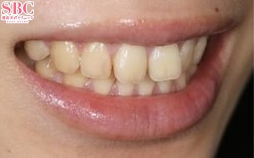
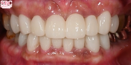
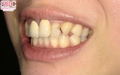
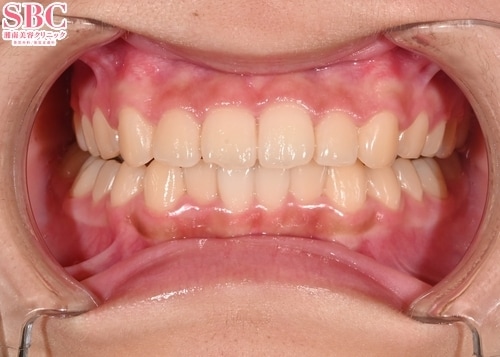
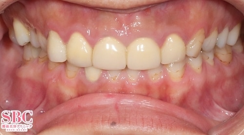
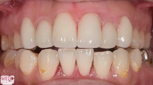
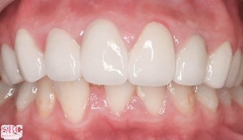
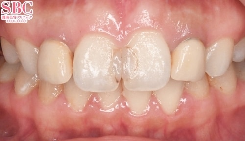
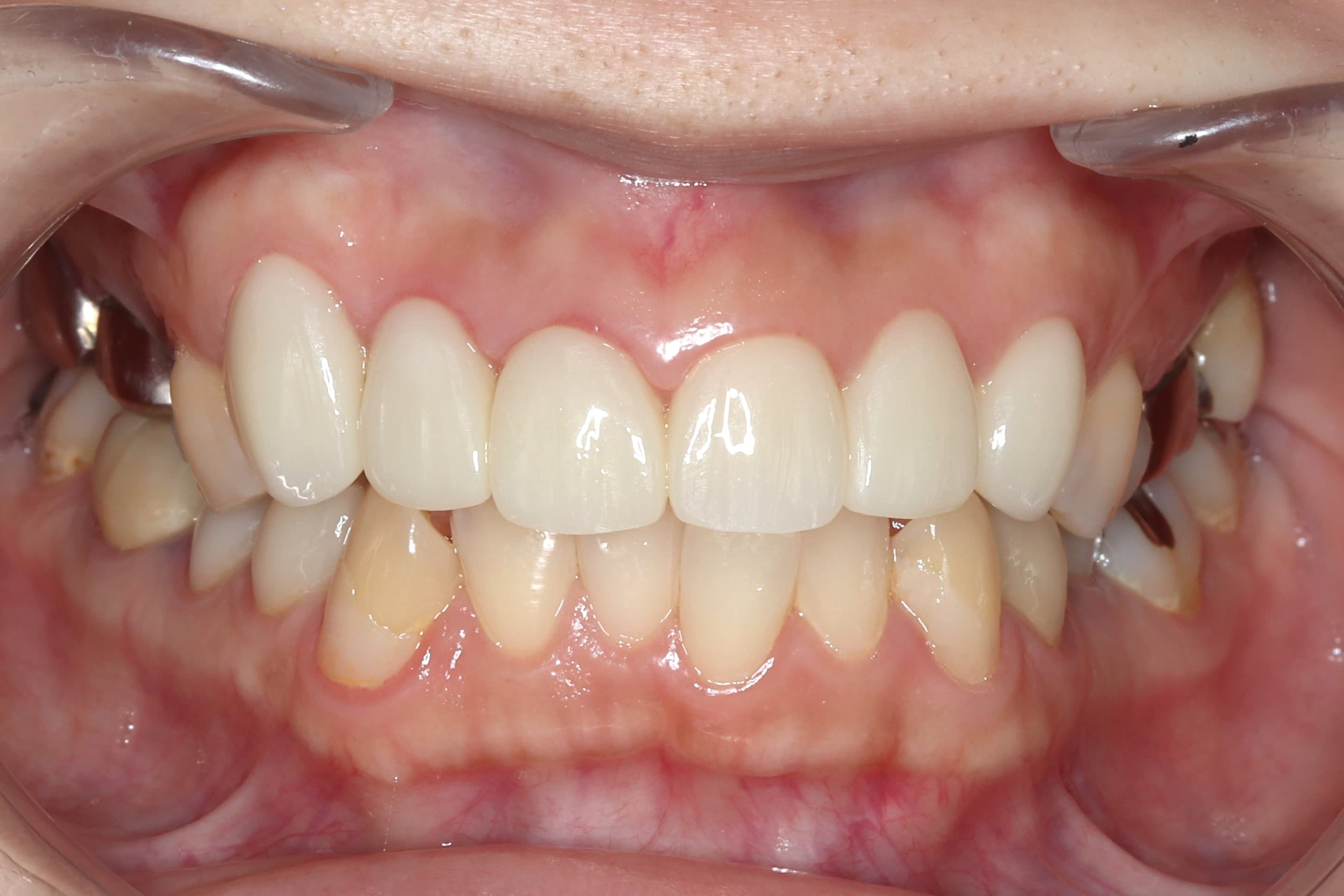
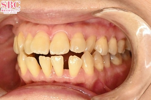
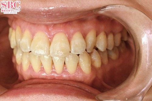
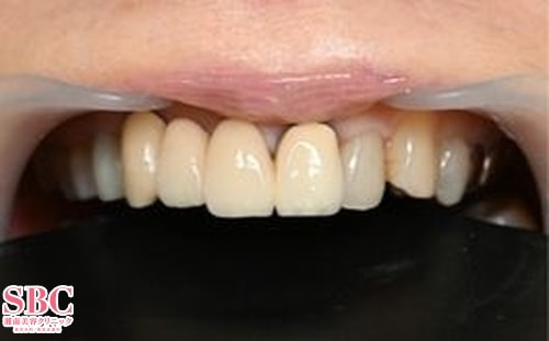
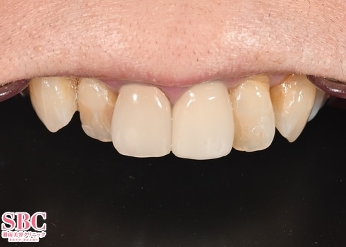
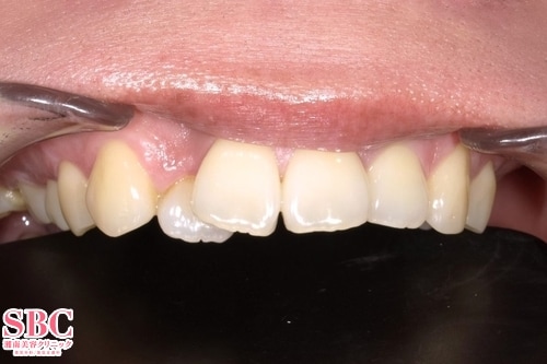
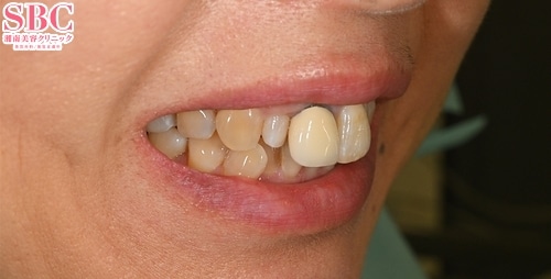
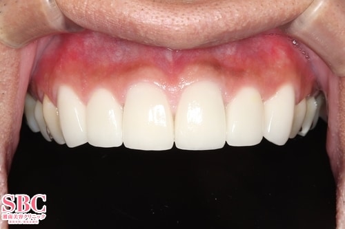
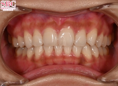
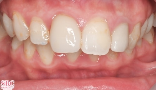
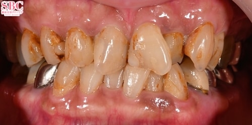
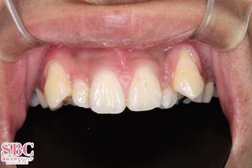
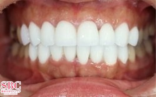
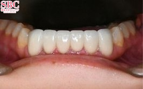
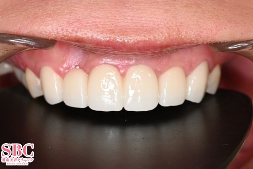
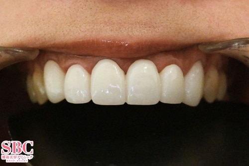
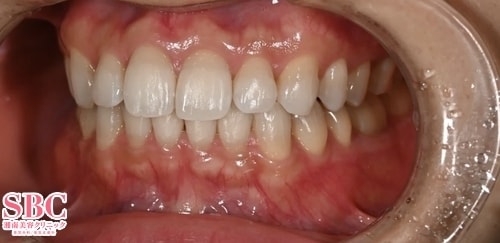
美容歯科 / ダイヤモンドオーダーセラミック No.360751
【ダイヤモンドオーダーセラミック】セラミックにすることで明るい口元に!!!
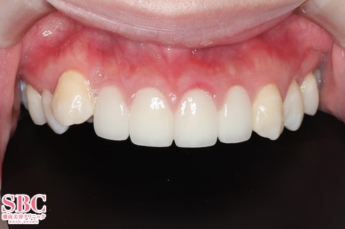
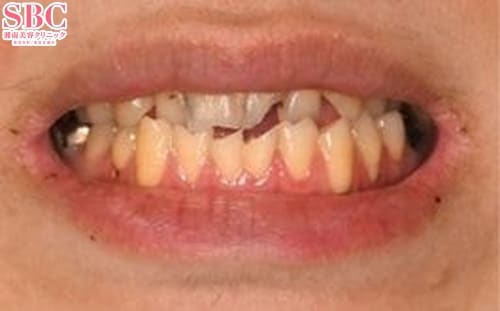
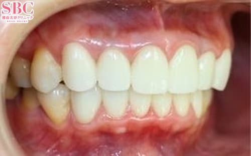
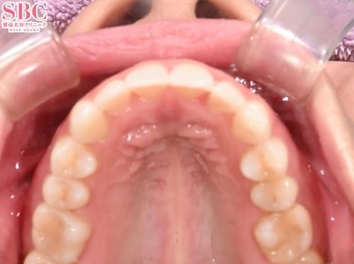
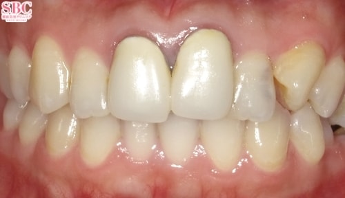
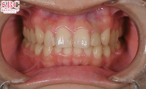
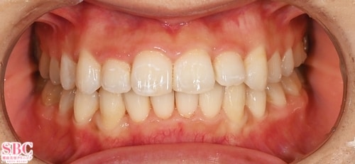
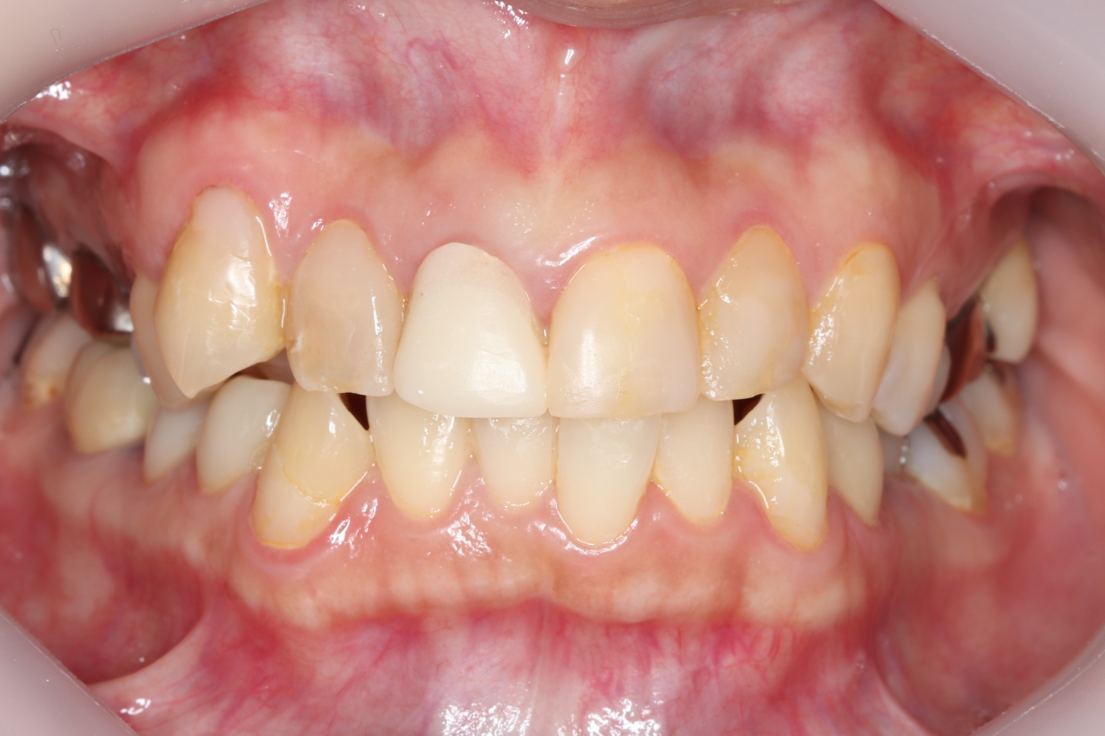
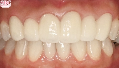
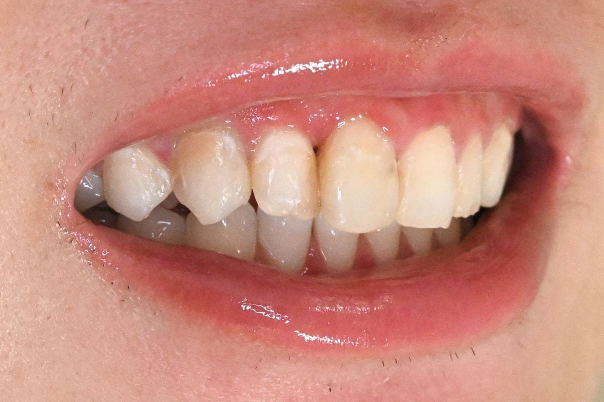
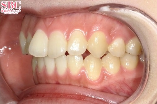
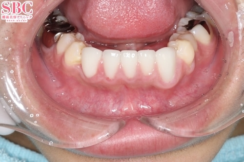
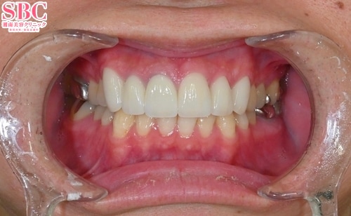
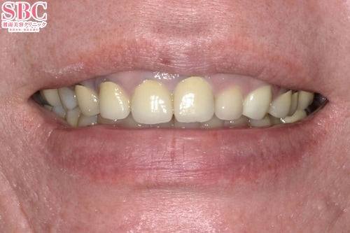
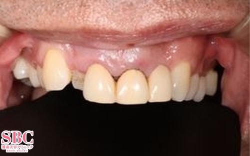
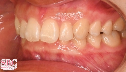
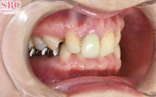
美容歯科 / プレミアムダイヤモンドセラミック 他 No.360742
整形シンデレラファイナリスト担当Drが貴方に贈る 「あなたの笑顔を最高の笑顔に。」〜The Perfect Smile〜 ジルコニアダイヤモンドセラミック
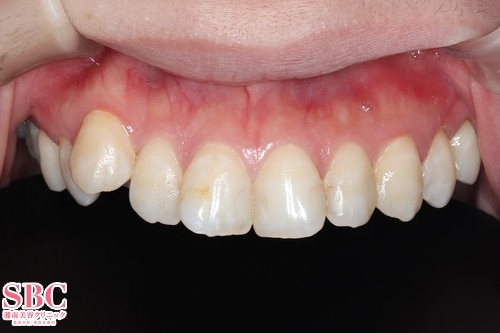
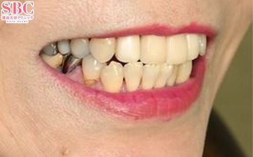
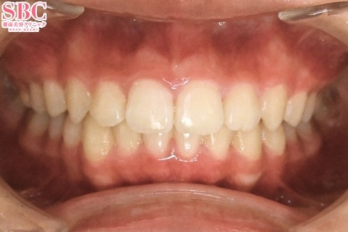
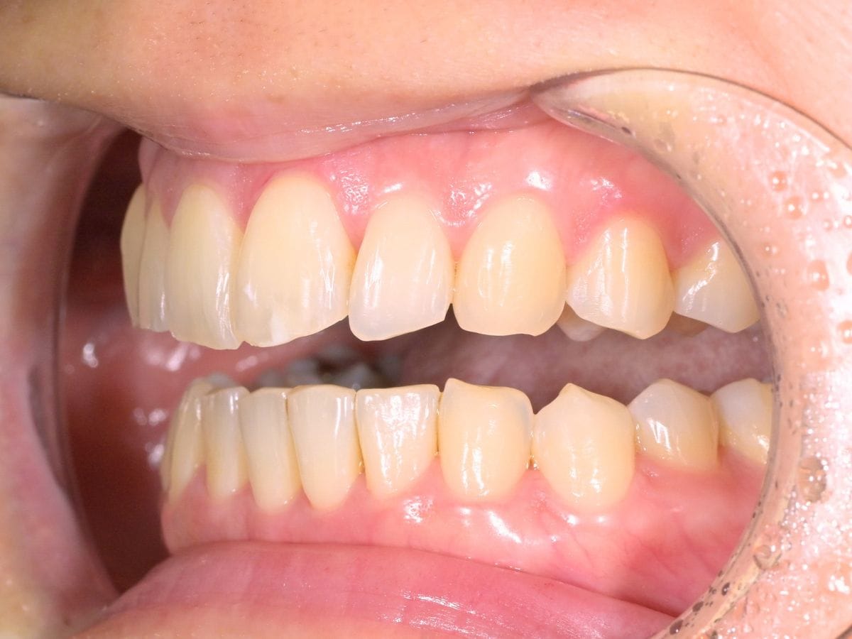
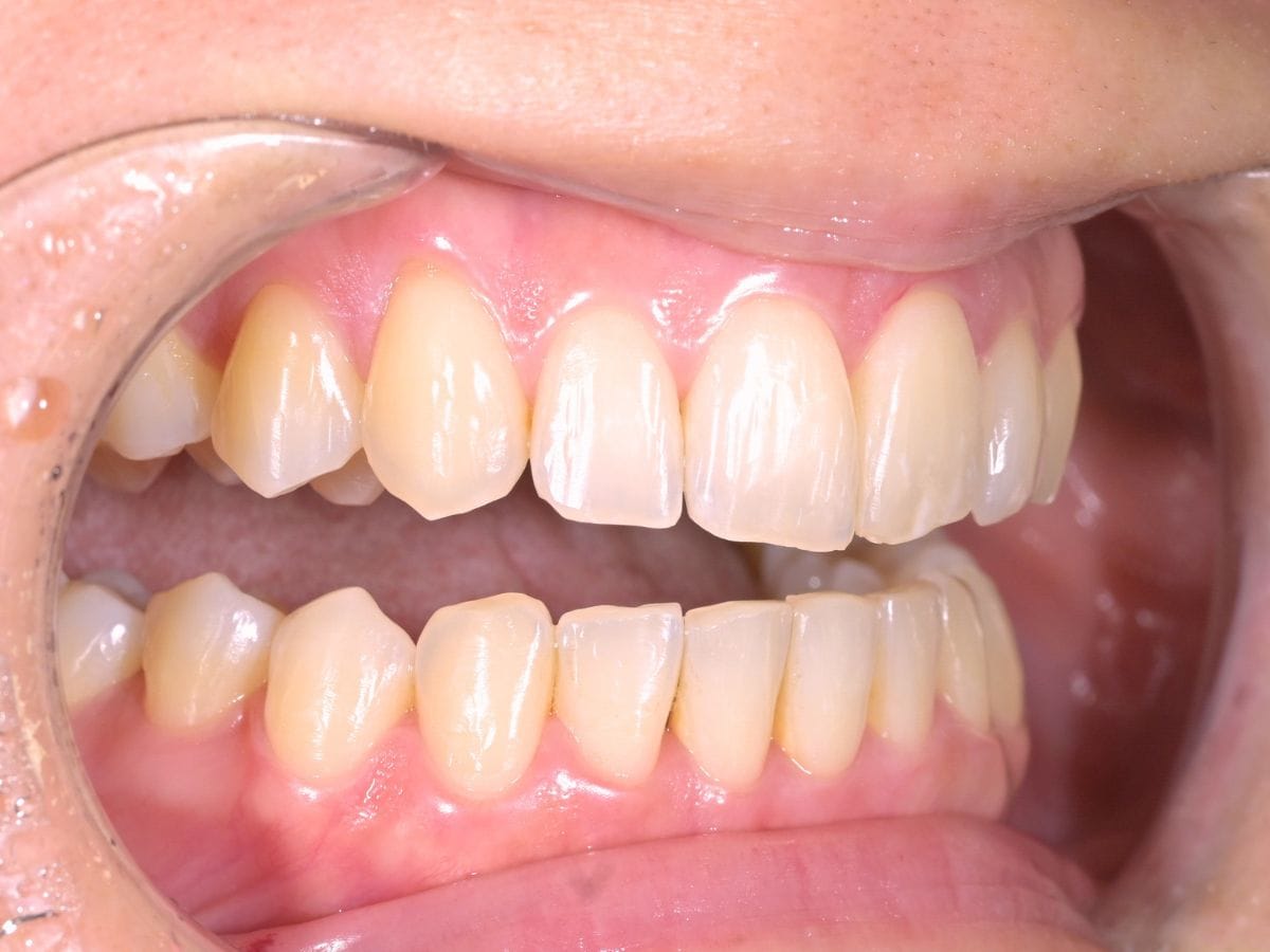
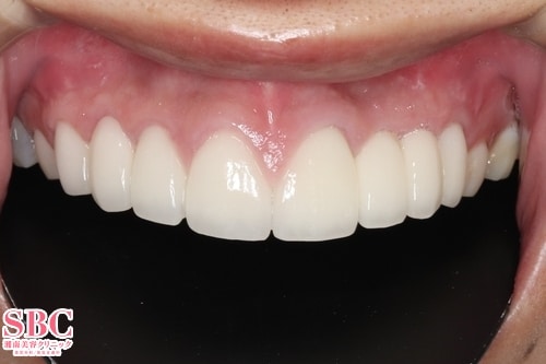
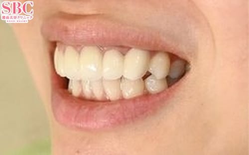
美容歯科 / プレミアムダイヤモンドセラミック 他 No.360741
整形シンデレラファイナリスト担当Drが貴方に贈る 「あなたの笑顔を最高の笑顔に。」〜The Perfect Smile〜 ジルコニアダイヤモンドセラミック
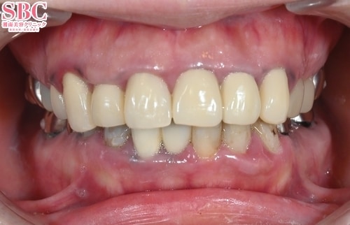
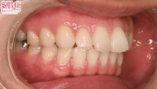
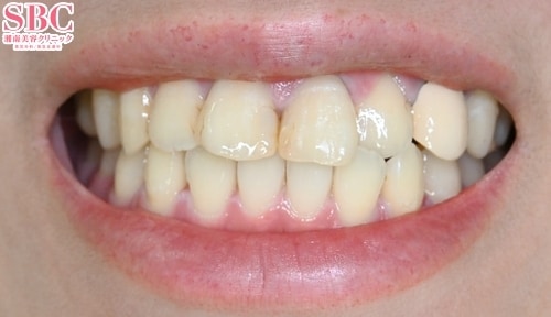
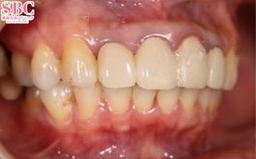
美容歯科 / プレミアムダイヤモンドセラミック 他 No.360723
【マウスピース、セラミック両方】歯茎ラインを見せないようにすることで若々しい印象に!!!
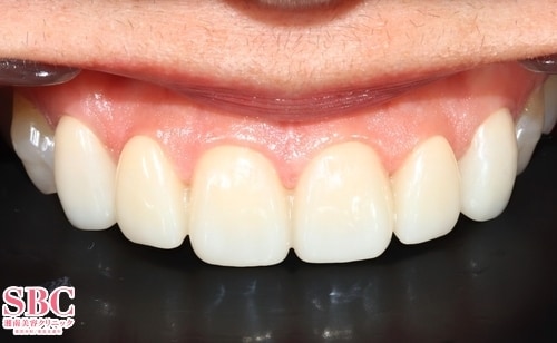
美容歯科 / プレミアムダイヤモンドセラミック No.360718
【プレミアムダイヤモンドセラミック】セラミックにすることでこんなにも印象が変わる!
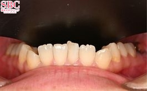
美容歯科 / プレミアムダイヤモンドセラミック No.360717
【プレミアムダイヤモンドセラミック】大きさから印象を変えるセラミック治療!!
美容歯科 / マウスピース矯正 No.360710
【インビザライン モデレート】凸凹感の改善をマウスピース矯正で!!
美容歯科 / マウスピース矯正 No.360707
【インビザライン モデレート(上のみ)】横から見た時の口元の印象を美しく
美容歯科 / マウスピース矯正 No.360705
【インビザライン モデレート】隙間の改善で引き締まった印象に。
美容歯科 / プレミアムダイヤモンドセラミック 他 No.360687
整形シンデレラファイナリスト担当Drが貴方に贈る 「あなたの笑顔を最高の笑顔に。」〜The Perfect Smile〜 ジルコニアダイヤモンドセラミック
美容歯科 / プレミアムダイヤモンドセラミック 他 No.360686
整形シンデレラファイナリスト担当Drが貴方に贈る 「あなたの笑顔を最高の笑顔に。」〜The Perfect Smile〜 ジルコニアダイヤモンドセラミック
美容歯科 / マウスピース矯正 No.360668
【“似合う”歯並びをプロデュース】竹本先生があなたの笑顔をトータルデザイン!審美性と機能性を両立するマウスピース矯正【インビザラインGO(両顎)】
美容歯科 / プレミアムダイヤモンドセラミック 他 No.360644
整形シンデレラファイナリスト担当Drが貴方に贈る 「あなたの笑顔を最高の笑顔に。」〜The Perfect Smile〜 ジルコニアダイヤモンドセラミック
美容歯科 / プレミアムダイヤモンドセラミック 他 No.360641
整形シンデレラファイナリスト担当Drが貴方に贈る 「あなたの笑顔を最高の笑顔に。」〜The Perfect Smile〜 ジルコニアダイヤモンドセラミック
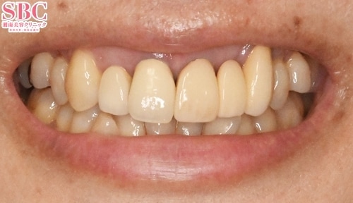
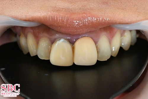
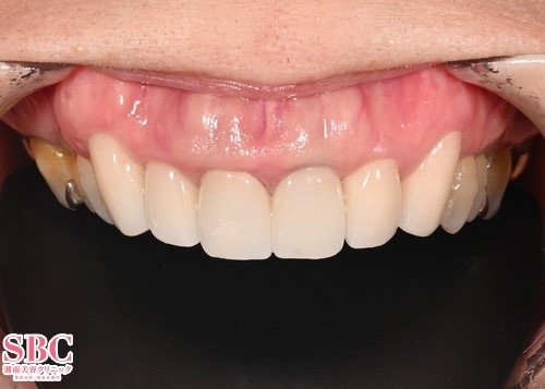
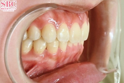
美容歯科 / ダイヤモンドクラウン(ジルコニア) No.360593
【ダイヤモンドクラウン】気になるところを部分的に改善!
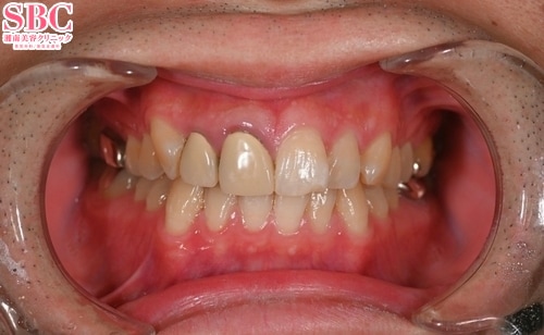
美容歯科 / ダイヤモンドオーダーセラミック No.360592
【ダイヤモンドオーダーセラミック】全く印象を変えるセラミック矯正
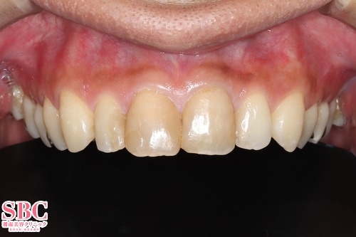
美容歯科 / プレミアムダイヤモンドセラミック No.360591
【プレミアムダイヤモンドセラミック】自然な歯と差がないほどのクオリティー
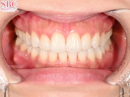
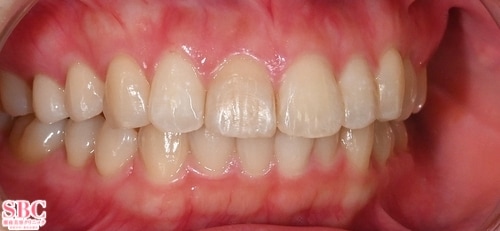
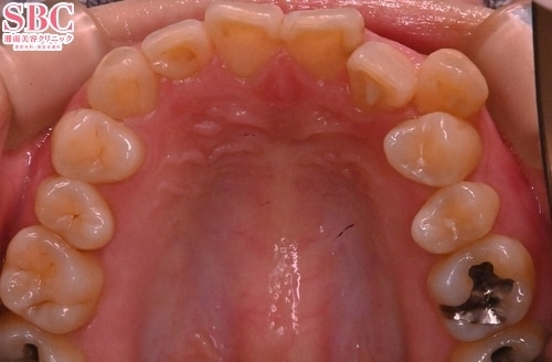
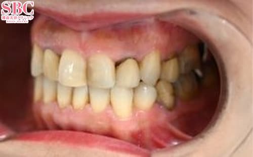
美容歯科 / マウスピース矯正 No.360590
【インビザライン モデレート】全体的ながたつきを綺麗にする矯正!!
美容歯科 / マウスピース矯正 No.360588
【インビザライン モデレート】横から見る口元に華やかさを。













































