美容歯科の症例写真(美容歯科)
症例写真一覧
表示件数:37886件 / 348321件
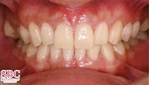
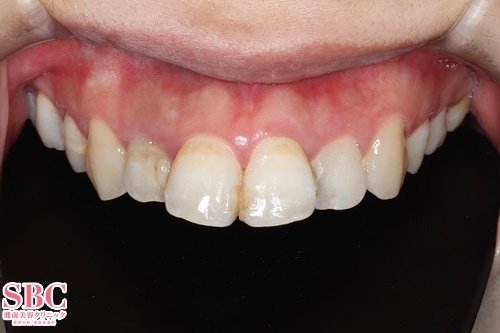
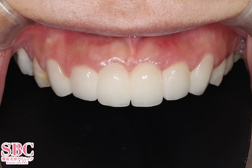
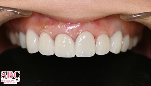
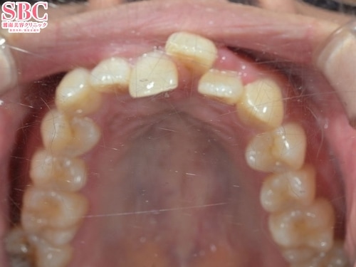
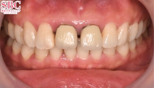
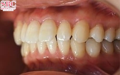
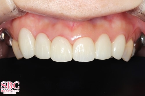
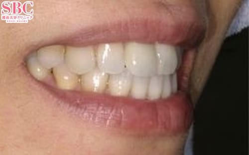
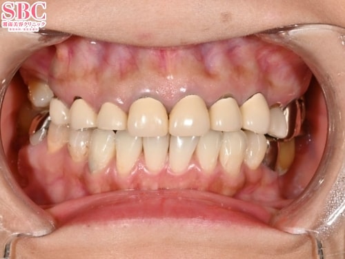
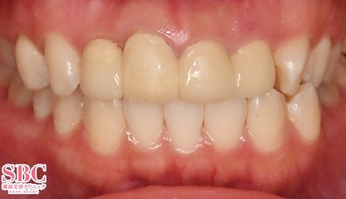
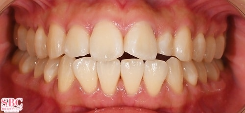
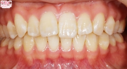
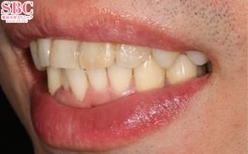
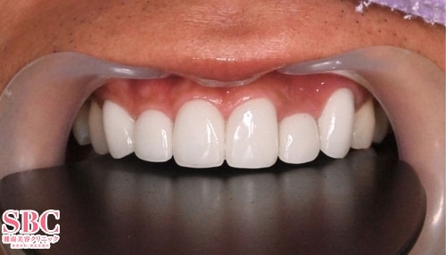
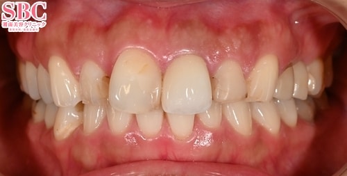
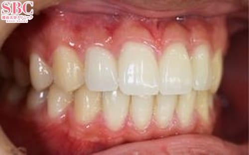
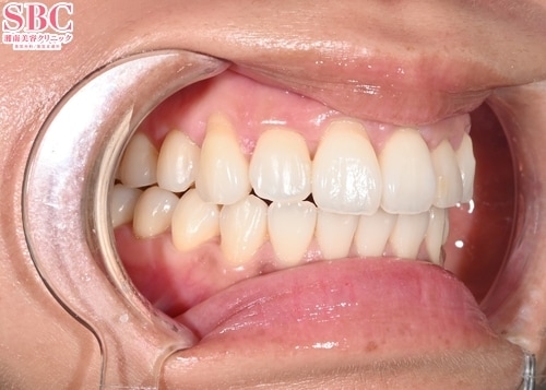
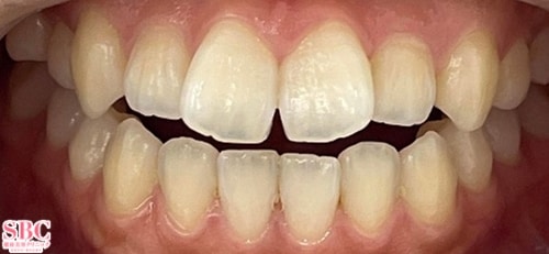
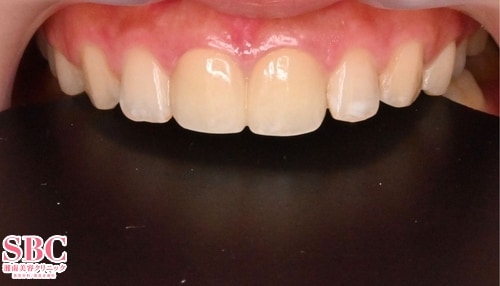
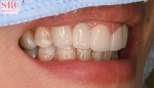
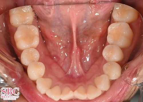
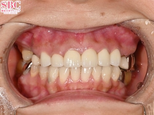
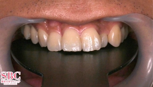
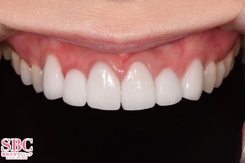
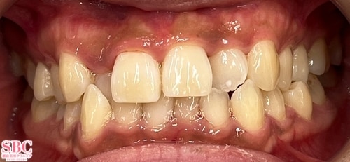
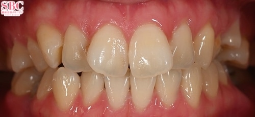
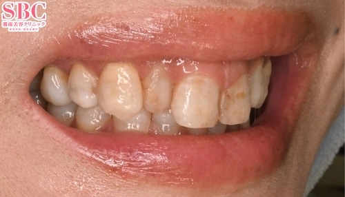
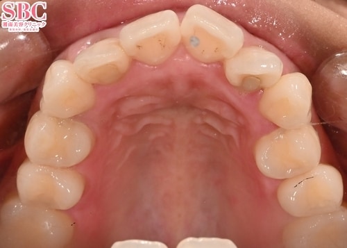
美容歯科 / プレミアムダイヤモンドセラミック 他 No.360476
整形シンデレラファイナリスト担当Drが貴方に贈る 「あなたの笑顔を最高の笑顔に。」〜The Perfect Smile〜 ジルコニアダイヤモンドセラミック
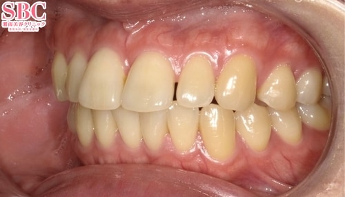
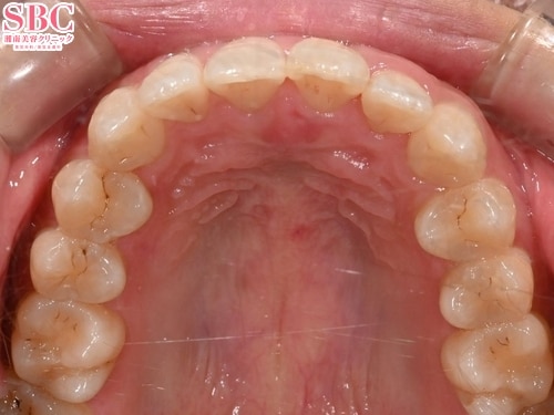
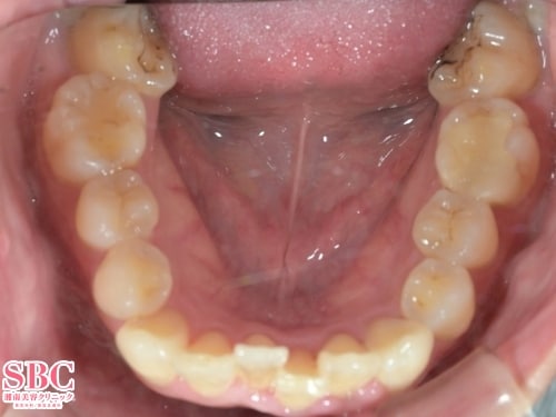
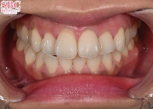
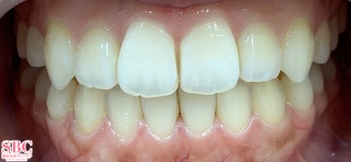
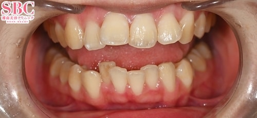
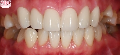
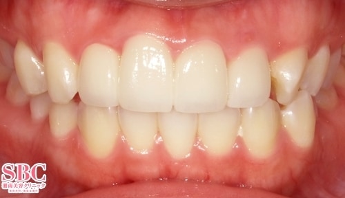
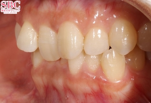
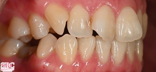
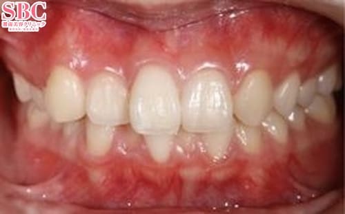
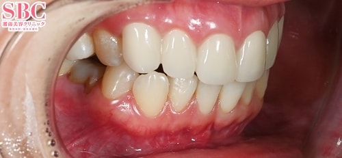
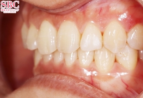
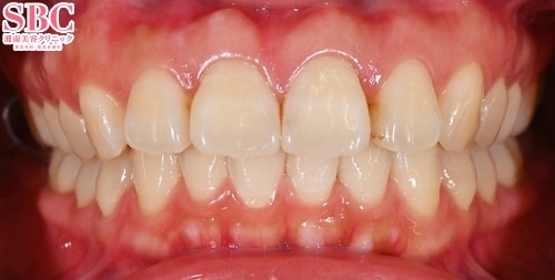
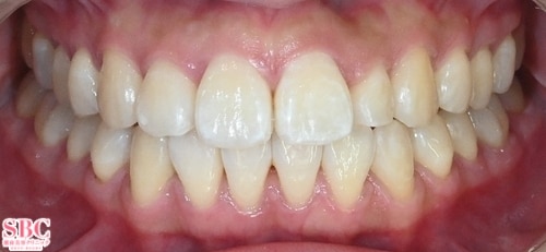
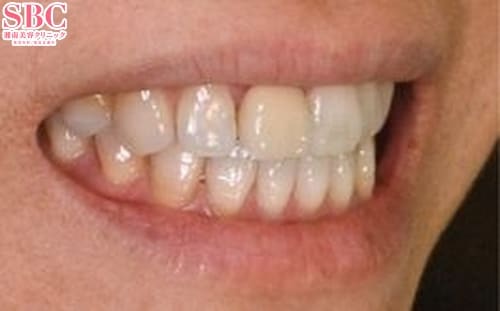
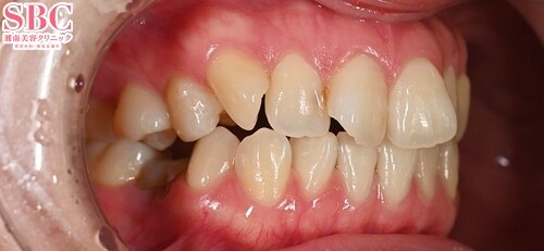
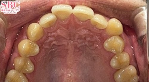
美容歯科 / マウスピース矯正 No.360453
【インビザライン GO】内側に入ってしまった歯の改善
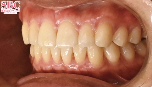
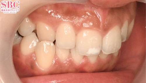
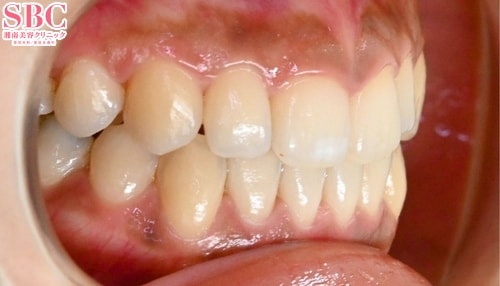
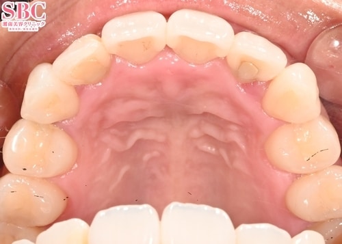
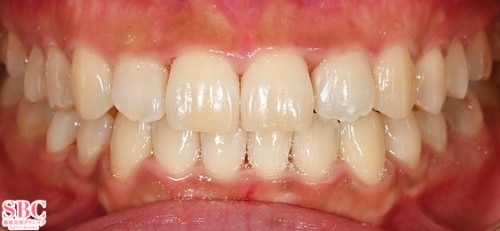
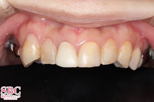
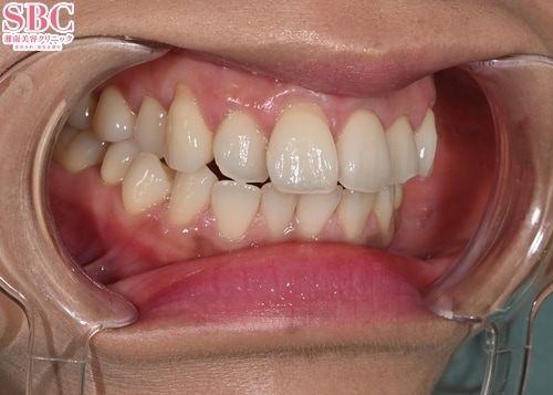
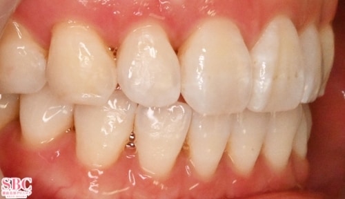
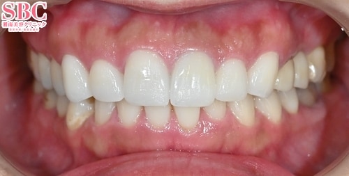
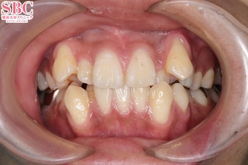
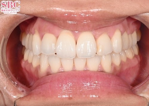
美容歯科 / マウスピース矯正 No.360450
【インビザライン GO】前歯の突出感と隙間の改善
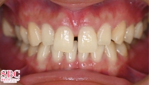
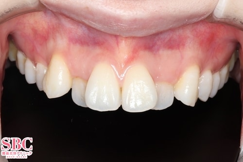
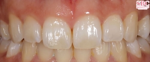
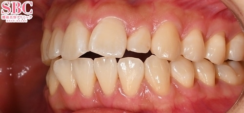
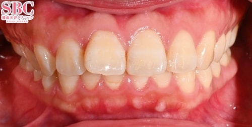
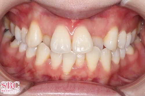
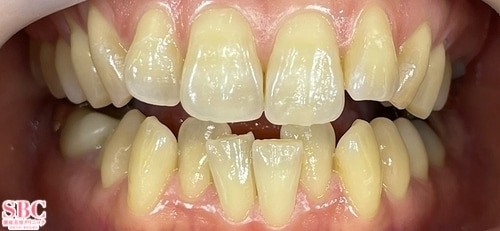
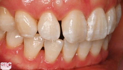
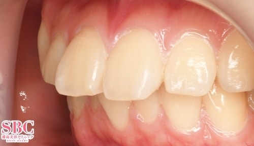
美容歯科 / マウスピース矯正 No.360448
【インビザライン GO】前歯の隙間を改善!!
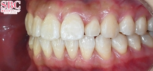
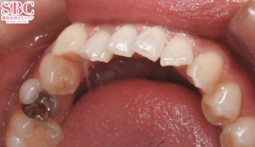
美容歯科 / プレミアムダイヤモンドセラミック 他 No.360446
整形シンデレラファイナリスト担当Drが貴方に贈る 「あなたの笑顔を最高の笑顔に。」〜The Perfect Smile〜 ジルコニアダイヤモンドセラミック
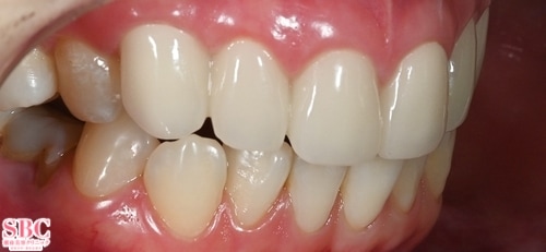
美容歯科 / プレミアムダイヤモンドセラミック 他 No.360444
整形シンデレラファイナリスト担当Drが貴方に贈る 「あなたの笑顔を最高の笑顔に。」〜The Perfect Smile〜 ジルコニアダイヤモンドセラミック
美容歯科 / ダイヤモンドオーダーセラミック 他 No.360412
整形シンデレラファイナリスト担当Drが貴方に贈る 「あなたの笑顔を最高の笑顔に。」〜The Perfect Smile〜 ジルコニアダイヤモンドセラミック
美容歯科 / プレミアムダイヤモンドセラミック 他 No.360410
整形シンデレラファイナリスト担当Drが貴方に贈る 「あなたの笑顔を最高の笑顔に。」〜The Perfect Smile〜 ジルコニアダイヤモンドセラミック
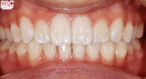
美容歯科 / プレミアムダイヤモンドセラミック No.360335
【プレミアムダイヤモンドセラミック】歯を変えることで華やかさを演出。
美容歯科 / プレミアムダイヤモンドセラミック No.360334
【プレミアムダイヤモンドセラミック】暗い印象から明るい印象に!!
美容歯科 / プレミアムダイヤモンドセラミック No.360333
【プレミアムダイヤモンドセラミック】自然体で綺麗に!!
美容歯科 / マウスピース矯正 No.360328
【MVP受賞Dr・加瀬れいな】前歯のお悩みには前歯専用矯正!価格もクオリティもいいとこどり!【マウスピース矯正】
美容歯科 / マウスピース矯正 No.360327
【MVP受賞Dr・加瀬れいな】前歯のお悩みには前歯専用矯正!価格もクオリティもいいとこどり!【マウスピース矯正】
美容歯科 / マウスピース矯正 No.360326
【MVP受賞Dr・加瀬れいな】前歯のお悩みには前歯専用矯正!価格もクオリティもいいとこどり!【マウスピース矯正】
美容歯科 / マウスピース矯正 No.360325
【MVP受賞Dr・加瀬れいな】前歯のお悩みには前歯専用矯正!価格もクオリティもいいとこどり!【マウスピース矯正】
美容歯科 / マウスピース矯正 No.360323
【MVP受賞Dr・加瀬れいな】前歯のお悩みには前歯専用矯正!価格もクオリティもいいとこどり!【マウスピース矯正】
美容歯科 / マウスピース矯正 No.360320
【MVP受賞Dr・加瀬れいな】前歯のお悩みには前歯専用矯正!価格もクオリティもいいとこどり!【マウスピース矯正】
美容歯科 / マウスピース矯正 No.360318
【MVP受賞Dr・加瀬れいな】前歯のお悩みには前歯専用矯正!価格もクオリティもいいとこどり!【マウスピース矯正】
美容歯科 / マウスピース矯正 No.360259
【インビザライン モデレート】下の歯も見えるように綺麗に整えます!
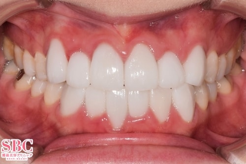
美容歯科 / No.360257
【ダイヤモンドオーダーセラミック】笑った口元を綺麗に。












































