二重・二重整形の症例写真(須田陽一、二重・二重整形)
症例写真一覧
表示件数:403件 / 352656件
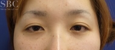
二重・二重整形 / フォーエバー二重術(R) No.129818
豊富な手術経験☆ベテランDr須田施術 ≪フォーエバー二重術≫
二重・二重整形 / 全切開法二重術 No.129757
豊富な手術経験☆ベテランDr須田施術 ≪全切開法二重術+ROOF切除術≫
二重・二重整形 / クイックコスメティーク・シングルNeo No.109808
豊富な手術経験☆ベテランDr須田施術 グランドクロス法(クイックコスメティーク法2ループ)〜究極に腫れにくく取れずらい二重術、術直後からお化粧可能!
二重・二重整形 / クイックコスメティーク・シングルNeo No.109603
豊富な手術経験☆ベテランDr須田施術 グランドクロス法(クイックコスメティーク法2ループ)〜究極に腫れにくく取れずらい二重術、術直後からお化粧可能!
二重・二重整形 / フォーエバー二重術(R) 他 No.109202
豊富な手術経験☆ベテランDr須田施術 グランドクロス法〜究極に腫れにくく取れずらい二重術、術直後からお化粧可能!
二重・二重整形 / クイックコスメティーク・シングルNeo 他 No.106382
クイックコスメティーク法+マイクロリポサクション法〜二重をパッチリさせて厚ぼったさも改善!
二重・二重整形 / 目頭切開プレミアム 他 No.105628
☆最大限に目を大きく!〜全切開二重術+眼瞼下垂治療術+目頭切開プレミアム+目尻切開+下眼瞼下制(タレ目形成術)〜デカ目へのフルコース☆
二重・二重整形 / クイックコスメティーク・シングルNeo No.105605
豊富な手術経験☆ベテランDr須田施術 クイックコスメティーク法〜究極に腫れない二重術、術直後からお化粧可能!
二重・二重整形 / クイックコスメティーク・シングルNeo No.105259
豊富な手術経験☆ベテランDr須田施術 クイックコスメティーク法〜究極に腫れない二重術、術直後からお化粧可能!
二重・二重整形 / クイックコスメティーク・シングルNeo No.104168
豊富な手術経験☆ベテランDr須田施術 クイックコスメティーク法〜究極に腫れない二重術、術直後からお化粧可能!
二重・二重整形 / クイックコスメティーク・シングルNeo No.96090
豊富な手術経験☆ベテランDr須田施術 クイックコスメティーク法〜究極に腫れない二重術、術直後からお化粧可能!
二重・二重整形 / No.95536
下眼瞼下制術(経結膜式タレ目術)☆魅力的なグラマラスライン☆
二重・二重整形 / No.95371
豊富な手術経験☆ベテランDr須田施術 クイックコスメティーク法〜究極に腫れない二重術、術直後からお化粧可能!
二重・二重整形 / No.95087
豊富な手術経験☆ベテランDr須田施術 クイックコスメティーク法〜究極に腫れない二重術、術直後からお化粧可能!
二重・二重整形 / No.95084
豊富な手術経験☆ベテランDr須田施術 クイックコスメティーク法〜究極に腫れない二重術、術直後からお化粧可能!
二重・二重整形 / No.94422
豊富な手術経験☆ベテランDr須田施術 クイックコスメティーク法〜究極に腫れない二重術、術直後からお化粧可能!
二重・二重整形 / No.94337
全切開二重術+眼瞼下垂修正術で眠そうな目をパッチリ大きく!!
二重・二重整形 / No.94335
全切開二重術+眼瞼下垂修正術で眠そうな目をパッチリ大きく!!
二重・二重整形 / No.94280
全切開二重術+眼瞼下垂修正術で眠そうな目をパッチリ大きく!!
二重・二重整形 / No.93872
全切開二重術+眼瞼下垂修正術+脂肪除去(ROOF)〜厚ぼったくて開けづらい一重をパッチリ魅力的な目に










































