若返りの症例写真(大野津介、若返り)
症例写真一覧
表示件数:2118件 / 346388件
若返り / プリマリフト No.213221
脳神経外科専門医Dr.大野執刀【プリマリフト10本】当日でも腫れが気にならず、しっかりと引きあがる糸リフトで、モテ顔と若返りを両方に入れませんか??【術後1ヶ月】
若返り / プリマリフト No.211725
脳神経外科専門医Dr.大野執刀【プリマリフト10本】当日でも腫れが気にならず、しっかりと引きあがる糸リフトで、モテ顔と若返りを両方に入れませんか??【術直後】
若返り / プリマリフト No.211267
脳神経外科専門医Dr.大野執刀【プリマリフト10本】当日でも腫れが気にならず、しっかりと引きあがる糸リフトで、モテ顔と若返りを両方に入れませんか??【術後1週間】
若返り / プリマリフト No.209009
脳神経外科専門医Dr.大野執刀【プリマリフト10本】当日でも腫れが気にならず、しっかりと引きあがる糸リフトで、モテ顔と若返りを両方に入れませんか??【術直後】
若返り / シークレットリフト 他 No.204931
脳神経外科専門医Dr.大野執刀【シークレットリフト12本+肌再生FGF注入療法(目の下・法令線)】従来の糸よりも柔らかく柔軟性がある特殊スレッドで、ひきつれにくく自然なリフトアップが可能です!【術後1ヶ月】
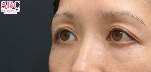
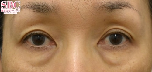
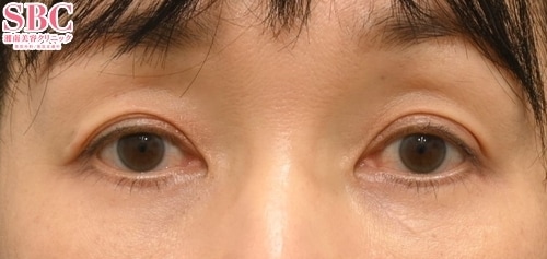
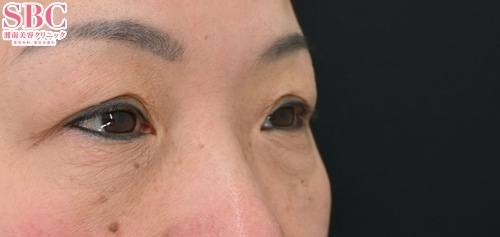
若返り / 目の下の切らないクマ・たるみ(ふくらみ)取り No.204246
脳神外科専門医Dr.大野執刀 【目の下の切らないたるみ取り+コンデンスリッチフェイス法】 疲れてみえる、目の下のクマが気になるのは 凹みと脂肪が原因になっている場合があります。 取ればスッキリしますよ!【術後3ヶ月】
若返り / シークレットリフト No.202680
脳神経外科専門医Dr.大野執刀【シークレットリフト10本】従来の糸よりも柔らかく柔軟性がある特殊スレッドで、ひきつれにくく自然なリフトアップが可能です!【術後1ヶ月】
若返り / 目の下の切らないクマ・たるみ(ふくらみ)取り 他 No.358663
【若返り】【20代症例】☆症例数第1位!(アイバックリムーブ/2025年上半期/東日本)☆ 【目の下の切らないたるみ取り+ナノリッチ+コンデンスリッチフェイス】切る・切らない二つの視点からお客様にとって最適な治療を提案します!目の下のたるみ・クマをなくして-5歳に印象チェンジ…
若返り / アイバックリムーブ法 他 No.358586
【若返り】【40代症例】☆症例数第1位!(アイバックリムーブ/2025年上半期/東日本)☆ 【アイバックリムーブ+ナノリッチ+コンデンスリッチフェイス】切る・切らない二つの視点からお客様にとって最適な治療を提案します!目の下のたるみ・クマをなくして-5歳に印象チェンジ!【施術…
若返り / 目の下の切らないクマ・たるみ(ふくらみ)取り 他 No.358479
【若返り】【30代症例】☆症例数第1位!(アイバックリムーブ/2025年上半期/東日本)☆ 【目の下の切らないたるみ取り+ナノリッチ+コンデンスリッチフェイス】切る・切らない二つの視点からお客様にとって最適な治療を提案します!目の下のたるみ・クマをなくして-5歳に印象チェンジ…
若返り / アイバックリムーブ法 他 No.358440
【若返り】【60代症例】☆症例数第1位!(アイバックリムーブ/2025年上半期/東日本)☆ 【アイバックリムーブ+ナノリッチ+コンデンスリッチフェイス】切る・切らない二つの視点からお客様にとって最適な治療を提案します!目の下のたるみ・クマをなくして-5歳に印象チェンジ!【施術…
若返り / アイバックリムーブ法 他 No.358403
【若返り】【60代症例】☆症例数第1位!(アイバックリムーブ/2025年上半期/東日本)☆ 【アイバックリムーブ+ナノリッチ+コンデンスリッチフェイス】切る・切らない二つの視点からお客様にとって最適な治療を提案します!目の下のたるみ・クマをなくして-5歳に印象チェンジ!【施術…
若返り / アイバックリムーブ法 他 No.358279
【若返り】【50代症例】☆症例数第1位!(アイバックリムーブ/2025年上半期/東日本)☆ 【アイバックリムーブ+ナノリッチ+コンデンスリッチフェイス】切る・切らない二つの視点からお客様にとって最適な治療を提案します!目の下のたるみ・クマをなくして-5歳に印象チェンジ!【施術…
若返り / 目の下の切らないクマ・たるみ(ふくらみ)取り 他 No.358139
【若返り】【50代症例】☆症例数第1位!(アイバックリムーブ/2025年上半期/東日本)☆ 【目の下の切らないたるみ取り+ナノリッチ+コンデンスリッチフェイス】切る・切らない二つの視点からお客様にとって最適な治療を提案します!目の下のたるみ・クマをなくして-5歳に印象チェンジ…
若返り / 裏ハムラ法 他 No.358084
【若返り】【30代症例】☆症例数第1位!(アイバックリムーブ/2025年上半期/東日本)☆【裏ハムラ】切る・切らない二つの視点からお客様にとって最適な治療を提案します!目の下のたるみ・クマをなくして-5歳に印象チェンジ!【施術後1か月経過】
若返り / 目の下の切らないクマ・たるみ(ふくらみ)取り 他 No.357986
【若返り】【30代症例】☆症例数第1位!(アイバックリムーブ/2025年上半期/東日本)☆ 【目の下の切らないたるみ取り+ナノリッチ+コンデンスリッチフェイス】切る・切らない二つの視点からお客様にとって最適な治療を提案します!目の下のたるみ・クマをなくして-5歳に印象チェンジ…
若返り / 目の下の切らないクマ・たるみ(ふくらみ)取り 他 No.357916
【若返り】【30代症例】☆症例数第1位!(アイバックリムーブ/2025年上半期/東日本)☆ 【目の下の切らないたるみ取り+ナノリッチ+コンデンスリッチフェイス】切る・切らない二つの視点からお客様にとって最適な治療を提案します!目の下のたるみ・クマをなくして-5歳に印象チェンジ…
若返り / 裏ハムラ法 他 No.357825
【若返り】【30代症例】☆症例数第1位!(アイバックリムーブ/2025年上半期/東日本)☆【裏ハムラ+ナノリッチ】切る・切らない二つの視点からお客様にとって最適な治療を提案します!目の下のたるみ・クマをなくして-5歳に印象チェンジ!【施術後1か月経過】
若返り / 裏ハムラ法 No.357695
【若返り】【30代症例】☆症例数第1位!(アイバックリムーブ/2025年上半期/東日本)☆【裏ハムラ】切る・切らない二つの視点からお客様にとって最適な治療を提案します!目の下のたるみ・クマをなくして-5歳に印象チェンジ!【施術後1か月経過】
若返り / 裏ハムラ法 No.357525
【若返り】【30代症例】☆症例数第1位!(アイバックリムーブ/2025年上半期/東日本)☆【裏ハムラ】切る・切らない二つの視点からお客様にとって最適な治療を提案します!目の下のたるみ・クマをなくして-5歳に印象チェンジ!【施術後1か月経過】










































