若返りの症例写真(若返り)
症例写真一覧
表示件数:52521件 / 346620件
若返り / 眉下リフト(眉下切開) No.358513
◆◆目元切開厳選医師の名倉が叶える -5歳!! 眉下リフト◆◆瞼のたるみでお悩みの方必見!!6ヶ月後のお写真
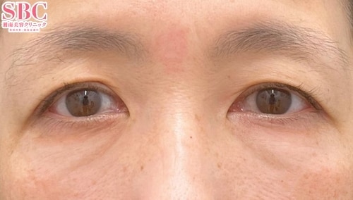
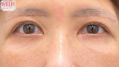
若返り / ナチュラル脂肪注射コンデンスリッチ 他 No.358510
◆◆美容外科専門医 名倉が叶える -5歳!! 目の下のたるみ取り+脂肪注入(目の下~ゴルゴ線)◆◆目の下のぷっくり、クマでお悩みの方必見!!◆1ヶ月後のお写真
若返り / プリマリフト No.358508
◆◆美容外科専門医 名倉が叶える小顔術!!糸リフト6年連続全国1位 (2019年~2024年)!※SBC内◆◆プリマリフト+脂肪吸引(頬+顎下)◆2年ヶ月後のお写真
若返り / 眉下リフト(眉下切開) 他 No.358499
【眉下リフト/眉下切開】+【裏ハムラ】で目元の若返りセット!
若返り / 切開ハムラ(表ハムラ)法 No.358498
【若返り】目の下のたるみ・クマ改善!庄院長の凄技で目元から若返り!
若返り / 裏ハムラ法 他 No.358495
【クマ取り】【ハムラ法】膨らんだ「眼窩脂肪」を凹みに移動してクマ解消!老け見え解消なら奥医師にお任せ!【施術3ヶ月後】【裏ハムラ法×ナチュラル脂肪注射ナノリッチ/コンデンスリッチ】
若返り / ナチュラル脂肪注射コンデンスリッチ No.358494
【若返りMuse】もえか先生の若返り術|お客様一人ひとりに合わせたパーソナルプランで自然な若返り?
若返り / ヒアルロン酸ジュビダームビスタ バイクロスシリーズ No.358481
【自然な若返り】ジュビダームビスタ バイクロスシリーズ ボリューマ2本
若返り / 目の下の切らないクマ・たるみ(ふくらみ)取り 他 No.358479
【若返り】【30代症例】☆症例数第1位!(アイバックリムーブ/2025年上半期/東日本)☆ 【目の下の切らないたるみ取り+ナノリッチ+コンデンスリッチフェイス】切る・切らない二つの視点からお客様にとって最適な治療を提案します!目の下のたるみ・クマをなくして-5歳に印象チェンジ…
若返り / 裏ハムラ法 他 No.358464
【クマ取り】【ハムラ法】膨らんだ「眼窩脂肪」を凹みに移動してクマ解消!老け見え解消なら奥医師にお任せ!【施術1ヶ月後】【裏ハムラ法×ナチュラル脂肪注射ナノリッチ】
若返り / 目の下の切らないクマ・たるみ(ふくらみ)取り 他 No.358452
【若返りmuse】二子玉川院院長の青柳萌花による目の下の切らないクマたるみ取り★若々しい目元に!
若返り / 目の下の切らないクマ・たるみ(ふくらみ)取り 他 No.358441
【Instagramから指名多数】マサ先生のクマ取り+脂肪注入で目元若返り!
若返り / アイバックリムーブ法 他 No.358440
【若返り】【60代症例】☆症例数第1位!(アイバックリムーブ/2025年上半期/東日本)☆ 【アイバックリムーブ+ナノリッチ+コンデンスリッチフェイス】切る・切らない二つの視点からお客様にとって最適な治療を提案します!目の下のたるみ・クマをなくして-5歳に印象チェンジ!【施術…
若返り / テスリフト 他 No.358437
【土田式ハリウッド糸リフト】京都で切らない若返り・リフトアップならリテスリフト症例数関西No.2(※)の土田博之医師にお任せ!(SBC内症例数 2025年上半期)
若返り / 裏ハムラ法 他 No.358432
お疲れ目元改善!土田博之医師による【クマ治療・裏ハムラ法】目元切開で選ばれています!眉下リフト症例数関西No.2(※)(SBC内症例数 2023年上半期)
若返り / ナチュラル脂肪注射コンデンスリッチ No.358421
◆◆美容外科専門医 名倉が叶える 美顔術!! へこみを無くして美しい輪郭へ!! ◆脂肪注入(頬)3ヶ月後のお写真
若返り / 眉下リフト(眉下切開) No.358418
◆◆目元切開厳選医師の名倉が叶える -5歳!! 眉下リフト◆◆瞼のたるみでお悩みの方必見!!1ヶ月後のお写真
若返り / ナチュラル脂肪注射コンデンスリッチ 他 No.358417
◆◆美容外科専門医 名倉が叶える -5歳!! 目の下のたるみ取り+脂肪注入(目の下~ゴルゴ線)◆◆目の下のぷっくり、クマでお悩みの方必見!!◆3ヶ月後のお写真
若返り / プリマリフト No.358416
◆◆美容外科専門医 名倉が叶える小顔術!!糸リフト6年連続全国1位 (2019年~2024年)!※SBC内◆◆プリマリフト+脂肪吸引(頬+顎下)◆1年11ヶ月後のお写真
若返り / VOV(ボブ)リフト No.358413
リピート確定。重力に逆らう糸リフト。【糸リフト】


















































