若返りの症例写真(若返り)
症例写真一覧
表示件数:52521件 / 346622件
若返り / ヒアルロン酸ジュビダームビスタ ボライトXC No.358203
【Dr.森川による『ボライトXC』乾燥の改善&ハリ・弾力UP】【1回施術2週間後】【横浜東口院】【美容皮膚科】
若返り / 女優注射(R)~リジュラン+ボトックス~ No.358202
【Dr.森川による『女優注射』目周りの小ジワ改善&ハリUP】【3回施術1ヶ月後】【横浜東口院】【美容皮膚科】
若返り / 眉下リフト(眉下切開) 他 No.358180
【若返り】女性・眉下切開、眼瞼下垂、ナノリッチ脂肪注入(目の上)、コンデンスリッチ脂肪注入(目の下)【術後3ヶ月】
若返り / シークレットリフト 他 No.358179
【50代の糸リフト】凹んだゴルゴライン、たるみフェイスラインを自然に改善!引き上げ具合を自分で決められる「オーダーメイドリフトアップ」で肌を切らずに若返り
若返り / 切開ハムラ(表ハムラ)法 No.358178
【若返り】女性・切開ハムラ(クマ取り)、脂肪注入(ナノリッチ)、糸リフト(VOV)【術後3ヶ月】
若返り / 裏ハムラ法 他 No.358174
【若返り 裏ハムラ法・ナチュラル脂肪注射ナノリッチ 40代女性 術後3ヶ月】目の下の膨らんだ脂肪をずらすことで皮膚がなだらかに。脂肪注入で色味の改善もし、目周りが明るい印象に。
若返り / 裏ハムラ法 他 No.358167
【裏ハムラ法・ナチュラル脂肪注射ナノリッチ20代女性術後3ヶ月】目の下の膨らんだ脂肪をずらすことで皮膚がなだらかに。脂肪注入で色味の改善もし、目元が洗練された印象に。
若返り / ヒアルロン酸ジュビダームビスタ バイクロスシリーズ No.358157
【若返り】50代のお客様【若返りヒアルロン酸】ほうれい線改善で若見え!ヒアルロン酸注入なら美容皮膚科専属医の星野 有紀子医師にお任せくださいませ!
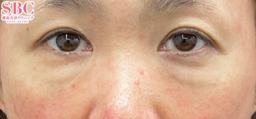
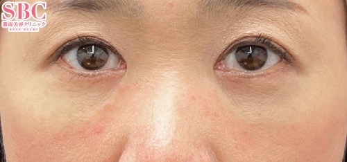
若返り / アイバックリムーブ法 他 No.358147
目元のたるみによるクマを改善して若々しい目元に!形成外科出身の清水春花医師による【切らないクマ取り×ナチュラル脂肪注射コンデンスリッチ】
若返り / 切開ハムラ(表ハムラ)法 No.358143
【クマ取り】Dr.五十嵐の切開ハムラで疲れ目卒業!
若返り / 目の下の切らないクマ・たるみ(ふくらみ)取り 他 No.358139
【若返り】【50代症例】☆症例数第1位!(アイバックリムーブ/2025年上半期/東日本)☆ 【目の下の切らないたるみ取り+ナノリッチ+コンデンスリッチフェイス】切る・切らない二つの視点からお客様にとって最適な治療を提案します!目の下のたるみ・クマをなくして-5歳に印象チェンジ…
若返り / ナチュラル脂肪注射 他 No.358111
【リードドクター】Dr中山執刀 【湘南美容外科にも在籍15年しリッチフェイス治療 圧倒的症例数の元立川院院長・新宿本院医長歴任の24年目のベテランDrによる自然な若返り治療】
若返り / ナチュラル脂肪注射 他 No.358110
【リードドクター】Dr中山執刀 【湘南美容外科にも在籍15年しリッチフェイス治療 圧倒的症例数の元立川院院長・新宿本院医長歴任の24年目のベテランDrによる自然な若返り治療】
若返り / ナチュラル脂肪注射コンデンスリッチ No.358109
◆◆美容外科専門医 名倉が叶える 美顔術!! へこみを無くして美しい輪郭へ!! ◆脂肪注入(額)3ヶ月後のお写真
若返り / 眉下リフト(眉下切開) No.358105
◆◆目元切開厳選医師の名倉が叶える -5歳!! 眉下リフト◆◆瞼のたるみでお悩みの方必見!!1ヶ月後のお写真
若返り / ナチュラル脂肪注射コンデンスリッチ 他 No.358104
◆◆美容外科専門医 名倉が叶える -5歳!! 目の下のたるみ取り+脂肪注入(目の下~ゴルゴ線)◆◆目の下のぷっくり、クマでお悩みの方必見!!◆3ヶ月後のお写真
若返り / プリマリフト No.358103
◆◆美容外科専門医 名倉が叶える小顔術!!糸リフト6年連続全国1位 (2019年~2024年)!※SBC内◆◆プリマリフト+脂肪吸引(頬+顎下)◆3ヶ月後のお写真
若返り / 目の下の切らないクマ・たるみ(ふくらみ)取り 他 No.358091
【クマ取り 症例件数No.2の実績】綺麗な仕上がりなら茂木先生にお任せ☆ ※2025上期 SBC内中四国
若返り / 裏ハムラ法 他 No.358084
【若返り】【30代症例】☆症例数第1位!(アイバックリムーブ/2025年上半期/東日本)☆【裏ハムラ】切る・切らない二つの視点からお客様にとって最適な治療を提案します!目の下のたるみ・クマをなくして-5歳に印象チェンジ!【施術後1か月経過】
若返り / テスリフト 他 No.358081
【土田式ハリウッド糸リフト】京都で切らない若返り・リフトアップならリテスリフト症例数関西No.2(※)の土田博之医師にお任せ!(SBC内症例数 2025年上半期)





















































