若返りの症例写真(若返り)
症例写真一覧
表示件数:52521件 / 346622件
若返り / 切開ハムラ(表ハムラ)法 他 No.358080
お疲れ目元改善!土田博之医師による【クマ治療・切開ハムラ法】目元切開で選ばれています!眉下リフト症例数関西No.2(※)(SBC内症例数 2023年上半期)
若返り / 切開ハムラ(表ハムラ)法 他 No.358079
【クマ取り+眉下リフト】全国に14名しかいない目元切開若返りプレミアムドクターが執刀!目の上も下もまとめて若々しく仕上げます!
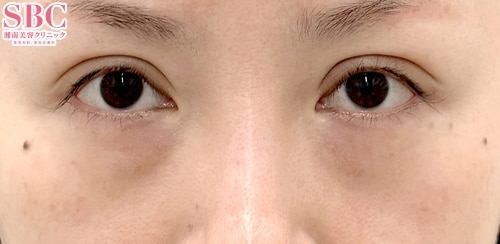
若返り / 裏ハムラ法 他 No.358078
【20代・女性】目の下のクマをなくして若々しさを取り戻す!Dr大川の若返りアップデート☆【術後1か月】
若返り / コンデンスリッチフェイス法(額・こめかみ脂肪注入) No.358076
元大学病院外科出身ドクターによる☆自然な額のまるみをつくる脂肪注入
若返り / 切開ハムラ(表ハムラ)法 他 No.358075
50代女性 眉下リフト+roof切除+切開ハムラ+創傷治癒PRP皮膚再生療法 術後3ヶ月後
若返り / 眉下リフト+roof 他 No.358074
50代女性 眉下リフト+roof切除+切開ハムラ+創傷治癒PRP皮膚再生療法 術後3ヶ月後
若返り / エグゼクティブスマスフェイスリフト(SMAS切除+リガメント切除+神経刺激装置使用) 他 No.358071
30代男性 エグゼクティブスマスフェイスリフト (スマス切除+リガメント切除・神経刺激装置使用)+コメカミリフト・ネックリフト+ベイザー脂肪吸引(ジョールファット+頬+顎下)+バッカルファット除去+創傷治癒PRP+MD式+全身麻酔(麻酔専門医) 術後6ヶ月 編集 優先
若返り / エグゼクティブこめかみリフト 他 No.358070
30代男性 エグゼクティブスマスフェイスリフト (スマス切除+リガメント切除・神経刺激装置使用)+コメカミリフト・ネックリフト+ベイザー脂肪吸引(ジョールファット+頬+顎下)+バッカルファット除去+創傷治癒PRP+MD式+全身麻酔(麻酔専門医) 術後6ヶ月
若返り / 目の下の切らないクマ・たるみ(ふくらみ)取り 他 No.358068
【クマ取り】≪全てのクマ治療に対応≫【蒲田院 院長】上岡利一先生のクマ取り症例
若返り / エグゼクティブスマスフェイスリフト(SMAS切除+リガメント切除+神経刺激装置使用) 他 No.358065
40代女性 エグゼクティブスマスフェイスリフト(SMAS切除+リガメント切除・神経刺激装置使用)+こめかみ&ネックリフト+ベイザー脂肪吸引(ジョールファット・頬・顎下)+バッカルファット切除&つり上げ固定+創傷治癒PRP+MD式+全身麻酔(麻酔専門医管理) 術後1ヶ月
若返り / エグゼクティブスマスフェイスリフト(SMAS切除+リガメント切除+神経刺激装置使用) 他 No.358063
40代女性 エグゼクティブスマスフェイスリフト(SMAS切除+リガメント切除・神経刺激装置使用)+こめかみ&ネックリフト+ベイザー脂肪吸引(ジョールファット・頬・顎下)+バッカルファット切除&つり上げ固定+創傷治癒PRP+MD式+全身麻酔(麻酔専門医管理) 術後1ヶ月
若返り / 切開ハムラ(表ハムラ)法 他 No.358061
【元・大学病院形成外科講師】形成外科専門医モリゾーが執刀する切開ハムラ+ナノリッチ
若返り / 目の下の切らないクマ・たるみ(ふくらみ)取り 他 No.358056
【若返りmuse】二子玉川院院長の青柳萌花による目の下の切らないクマたるみ取り★若々しい目元に!
若返り / ナチュラル脂肪注射 No.358036
ナチュラル脂肪注射
若返り / 目の下の切らないクマ・たるみ(ふくらみ)取り 他 No.358034
【クマ取り+脂肪注入】脱・疲れ顔!松浦医師のこだわりの自然なクマ取り。
若返り / コンデンスリッチフェイス脂肪注入全顔入れ放題 No.358029
【顔の脂肪注入】フェイスラインのゴツゴツ感や凹みをナチュラルにふっくら改善!武田有加院長の脂肪注入で自然な若返り
若返り / コンデンスリッチフェイス脂肪注入全顔入れ放題 No.358025
【若返り・顔の脂肪注入】おでこのゴツゴツ感や小じわをナチュラルに改善!武田有加院長の脂肪注入で自然な若返り
若返り / ベビーコラーゲン(ヒューマラジェン) No.358023
【若返り】元形成外科医によるによるベビーコラーゲン
若返り / VOV(ボブ)リフト 他 No.358015
【糸リフト/顔の脂肪吸引】ナチュラルなのにしっかり引き上げ 武田有加医師の若返り&輪郭形成リフト
若返り / 裏ハムラ法 他 No.358007
【目の下のクマ取り/ハムラ法】クマの再発を極力防ぐ再配置法!!「インスタ見ました」のご指名多数!奈良でクマ取りするなら”理雨医師”へ






















































