美容歯科の症例写真(美容歯科)
症例写真一覧
表示件数:37889件 / 348326件
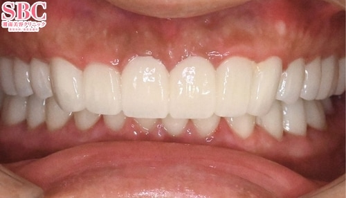
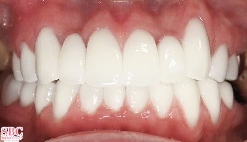
美容歯科 / マウスピース矯正 No.360318
【MVP受賞Dr・加瀬れいな】前歯のお悩みには前歯専用矯正!価格もクオリティもいいとこどり!【マウスピース矯正】
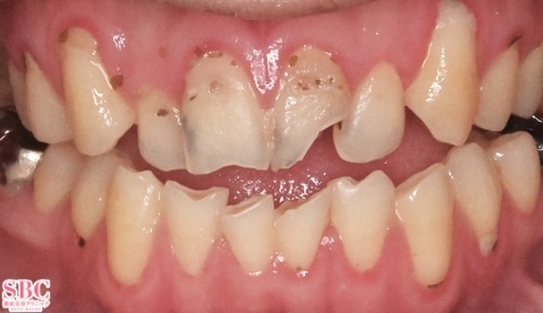
美容歯科 / マウスピース矯正 No.360259
【インビザライン モデレート】下の歯も見えるように綺麗に整えます!
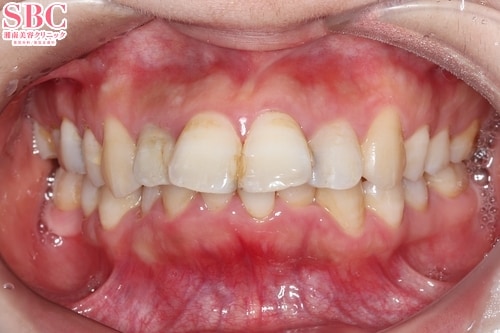
美容歯科 / No.360257
【ダイヤモンドオーダーセラミック】笑った口元を綺麗に。
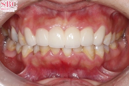
美容歯科 / プレミアムダイヤモンドセラミック No.360256
【プレミアムダイヤモンドセラミック】横から見ても美しく綺麗に!!
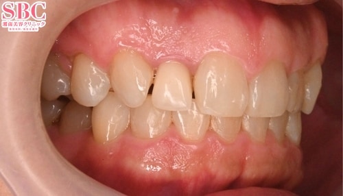
美容歯科 / ダイヤモンドオーダーセラミック No.360255
【ダイヤモンドオーダーセラミック】噛み合わせから治し綺麗に整えるセラミック矯正!!!
美容歯科 / マウスピース矯正 No.360248
【マウスピース矯正】インビザラインGoで出っ歯とすきっ歯同時に治す
美容歯科 / プレミアムダイヤモンドセラミック 他 No.360239
整形シンデレラファイナリスト担当Drが貴方に贈る 「あなたの笑顔を最高の笑顔に。」〜The Perfect Smile〜 ジルコニアダイヤモンドセラミック
美容歯科 / プレミアムダイヤモンドセラミック 他 No.360238
整形シンデレラファイナリスト担当Drが貴方に贈る 「あなたの笑顔を最高の笑顔に。」〜The Perfect Smile〜 ジルコニアダイヤモンドセラミック
美容歯科 / マウスピース矯正 他 No.360211
竹本先生があなたの笑顔をトータルデザイン!審美性と機能性を両立するセラミック矯正【プレミアムダイヤモンドセラミック】
美容歯科 / プレミアムダイヤモンドセラミック 他 No.360197
整形シンデレラファイナリスト担当Drが貴方に贈る 「あなたの笑顔を最高の笑顔に。」〜The Perfect Smile〜 ジルコニアダイヤモンドセラミック
美容歯科 / プレミアムダイヤモンドセラミック 他 No.360168
整形シンデレラファイナリスト担当Drが貴方に贈る 「あなたの笑顔を最高の笑顔に。」〜The Perfect Smile〜 ジルコニアダイヤモンドセラミック
美容歯科 / プレミアムダイヤモンドセラミック 他 No.360164
整形シンデレラファイナリスト担当Drが貴方に贈る 「あなたの笑顔を最高の笑顔に。」〜The Perfect Smile〜 ジルコニアダイヤモンドセラミック
美容歯科 / プレミアムダイヤモンドセラミック No.360148
【歯科統括院長 前田純】上6本プレミアムダイヤモンドセラミック
美容歯科 / プレミアムダイヤモンドセラミック No.360147
【歯科統括院長 前田純】上6本プレミアムダイヤモンドセラミック
美容歯科 / プレミアムダイヤモンドセラミック No.360146
【歯科統括院長 前田純】上6本プレミアムダイヤモンドセラミック
美容歯科 / ダイヤモンドオーダーセラミック 他 No.360141
整形シンデレラファイナリスト担当Drが貴方に贈る 「あなたの笑顔を最高の笑顔に。」〜The Perfect Smile〜 ジルコニアダイヤモンドセラミック
美容歯科 / プレミアムダイヤモンドセラミック 他 No.360138
整形シンデレラファイナリスト担当Drが貴方に贈る 「あなたの笑顔を最高の笑顔に。」〜The Perfect Smile〜 ジルコニアダイヤモンドセラミック
美容歯科 / マウスピース矯正 No.360137
【満足度No.1クラス】 「もっと早くやればよかった!」の声多数!まゆゆ先生が手がける、結果重視のマウスピース矯正【インビザラインGO両顎】
美容歯科 / ダイヤモンドオーダーセラミック No.360118
【ダイヤモンドオーダーセラミック】色味が整うだけでこんなに美しく
美容歯科 / プレミアムダイヤモンドセラミック No.360114
【プレミアムダイヤモンドセラミック】周りの歯と違和感なく!!
















































