若返りの症例写真(若返り)
症例写真一覧
表示件数:52523件 / 346630件
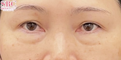
若返り / 裏ハムラ法 他 No.357478
お疲れ目元改善!土田博之医師による【クマ治療・裏ハムラ法】目元切開で選ばれています!眉下リフト症例数関西No.2(※)(SBC内症例数 2023年上半期)
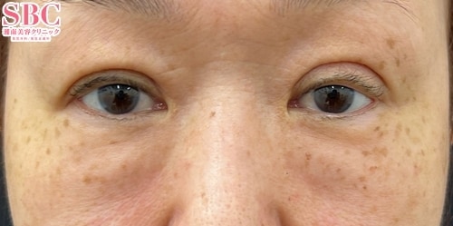
若返り / 裏ハムラ法 他 No.357477
★コスパ最強の若返り★裏ハムラ+脂肪注入で『目の下の膨らみ改善+自然な若返り』【クマゼロ宣言 】術後1ヶ月
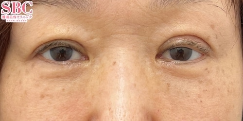
若返り / 裏ハムラ法 他 No.357476
★コスパ最強の若返り★切開ハムラでたるんだ皮膚+クマとさようなら!【クマゼロ宣言 】術後3ヶ月
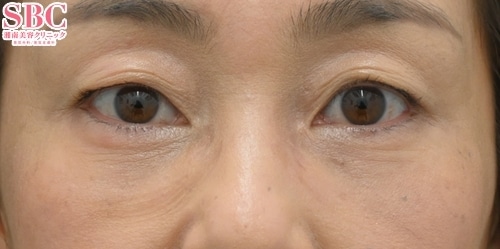
若返り / テスリフト 他 No.357475
【土田式ハリウッド糸リフト】京都で切らない若返り・リフトアップならリテスリフト症例数関西No.2(※)の土田博之医師にお任せ!(SBC内症例数 2025年上半期)
若返り / 裏ハムラ法 他 No.357474
★コスパ最強の若返り★裏ハムラ+脂肪注入+*糸リフト【クマゼロ宣言 】術後1ヶ月
若返り / 切開ハムラ(表ハムラ)法 No.357473
★コスパ最強の若返り★骨っぽさ・コケ感を改善するならコンデンスリッチ脂肪注入し放題術後1ヶ月
若返り / 目の下の切らないクマ・たるみ(ふくらみ)取り 他 No.357468
【りなてぃ先生のクマ取り】目の下の切らないクマ取り+ナノリッチ+コンデンスリッチ(目の下?ゴルゴライン)
若返り / 目の下の切らないクマ・たるみ(ふくらみ)取り 他 No.357457
【クマ取り+脂肪注入】目元の若返りなら田中医師にお任せください!
若返り / 目の下の切らないクマ・たるみ(ふくらみ)取り 他 No.357454
【クマ取り+脂肪注入】メンズの目元の若返りも、田中医師にお任せください!
若返り / ナチュラル脂肪注射ナノリッチ 他 No.357453
【表面に傷跡なし】目の下の膨らみとたるみを同時に改善!
若返り / VOV(ボブ)リフト No.357452
40代女性・VOリフト8本【術後1ヶ月】
若返り / 目の下の切らないクマ・たるみ(ふくらみ)取り 他 No.357451
【クマ取り+脂肪注入】目元の若返りなら田中医師にお任せください!
若返り / VOV(ボブ)リフト No.357450
40代女性・VOVリフト10本【術後1ヶ月】
若返り / 目の下の切らないクマ・たるみ(ふくらみ)取り 他 No.357449
【クマ改善】メンズの目元の若返りも、田中医師にお任せください!
若返り / ナチュラル脂肪注射コンデンスリッチ No.357435
◆◆美容外科専門医 名倉が叶える 美顔術!! へこみを無くして美しい輪郭へ!! ◆脂肪注入(額)1ヶ月後のお写真
若返り / 眉下リフト(眉下切開) No.357432
◆◆目元切開厳選医師の名倉が叶える -5歳!! 眉下リフト◆◆瞼のたるみでお悩みの方必見!!3ヶ月後のお写真
若返り / ナチュラル脂肪注射コンデンスリッチ 他 No.357431
◆◆美容外科専門医 名倉が叶える -5歳!! 目の下のたるみ取り+脂肪注入(目の下~ゴルゴ線)◆◆目の下のぷっくり、クマでお悩みの方必見!!◆1ヶ月後のお写真
若返り / プリマリフト No.357430
◆◆美容外科専門医 名倉が叶える小顔術!!糸リフト6年連続全国1位 (2019年~2024年)!※SBC内◆◆プリマリフト+脂肪吸引(頬+顎下)◆3ヶ月後のお写真
若返り / ヒアルロン酸ジュビダームビスタ バイクロスシリーズ No.357421
50代のお客様【若返りヒアルロン酸】ほうれい線改善で若見え!美肌治療・お肌のアンチエイジングなら美容皮膚科専属医のゆきこ先生にお任せくださいませ!
若返り / VOV(ボブ)リフト No.357420
【糸リフト】フェイスラインの糸リフトのみ【イテウォン 若返り】

















































