美容歯科の症例写真(美容歯科)
症例写真一覧
表示件数:37889件 / 348326件
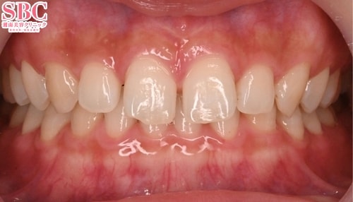
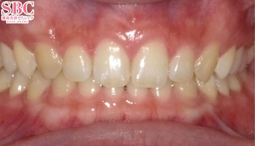
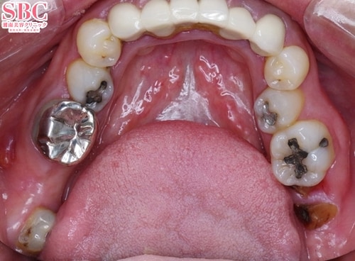
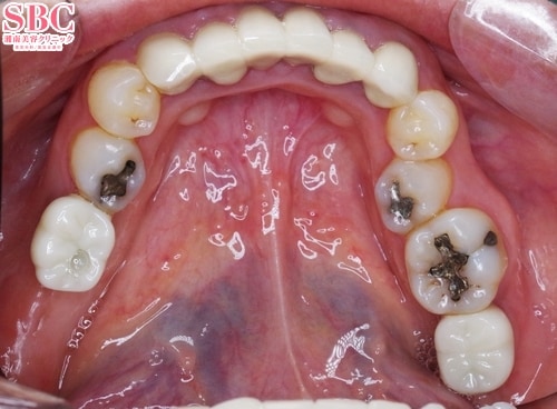
美容歯科 / プレミアムダイヤモンドセラミック No.360113
【プレミアムダイヤモンドセラミック】口元の印象を綺麗に!!
美容歯科 / マウスピース矯正 No.360112
【インビザライン GO】隙間をなくし綺麗な歯列に。
美容歯科 / マウスピース矯正 No.360089
【満足度No.1クラス】 「もっと早くやればよかった!」の声多数!まゆゆ先生が手がける、結果重視のマウスピース矯正【インビザラインGO両顎】
美容歯科 / インプラント No.360078
■湘南歯科グループ技術指導医■見た目だけ綺麗にする治療は治療ではない!難症例のレスキュー医師☆柿野統史医師による【インプラント】
美容歯科 / マウスピース矯正 No.360070
【“似合う”歯並びをプロデュース】竹本先生があなたの笑顔をトータルデザイン!審美性と機能性を両立するマウスピース矯正【インビザラインGO(両顎)】
美容歯科 / プレミアムダイヤモンドセラミック 他 No.360062
整形シンデレラファイナリスト担当Drが貴方に贈る 「あなたの笑顔を最高の笑顔に。」〜The Perfect Smile〜 ジルコニアダイヤモンドセラミック
美容歯科 / マウスピース矯正 No.360044
【インビザライン GO】横から見た時の出っ張り感を解消!!!!
美容歯科 / マウスピース矯正 No.360043
【インビザライン モデレート】全体的ながたつき感をなくし綺麗に整える矯正
美容歯科 / マウスピース矯正 No.360023
【マウスピース矯正】7ヶ月間の歯科矯正
美容歯科 / プレミアムダイヤモンドセラミック 他 No.360013
整形シンデレラファイナリスト担当Drが貴方に贈る 「あなたの笑顔を最高の笑顔に。」〜The Perfect Smile〜 ジルコニアダイヤモンドセラミック
美容歯科 / マウスピース矯正 No.359984
【“似合う”歯並びをプロデュース】竹本先生があなたの笑顔をトータルデザイン!審美性と機能性を両立するマウスピース矯正【インビザラインGO(両顎)】
美容歯科 / マウスピース矯正 No.359973
【“似合う”歯並びをプロデュース】竹本先生があなたの笑顔をトータルデザイン!審美性と機能性を両立するマウスピース矯正【インビザラインGO(両顎)】
美容歯科 / プレミアムダイヤモンドセラミック No.359971
【プレミアムダイヤモンドセラミック】横から見た印象を美しく
美容歯科 / プレミアムダイヤモンドセラミック 他 No.359970
整形シンデレラファイナリスト担当Drが貴方に贈る 「あなたの笑顔を最高の笑顔に。」〜The Perfect Smile〜 ジルコニアダイヤモンドセラミック
美容歯科 / プレミアムダイヤモンドセラミック No.359969
【プレミアムダイヤモンドセラミック】色味・並び・形全てにおいて綺麗にする!!
美容歯科 / プレミアムダイヤモンドセラミック No.359956
【プレミアムダイヤモンドセラミック】口元の印象を華やかに整えるセラミック矯正
美容歯科 / プレミアムダイヤモンドセラミック 他 No.359836
整形シンデレラファイナリスト担当Drが貴方に贈る 「あなたの笑顔を最高の笑顔に。」〜The Perfect Smile〜 ジルコニアダイヤモンドセラミック
美容歯科 / ダイヤモンドオーダーセラミック 他 No.359813
整形シンデレラファイナリスト担当Drが貴方に贈る 「あなたの笑顔を最高の笑顔に。」〜The Perfect Smile〜 ジルコニアダイヤモンドセラミック
美容歯科 / ダイヤモンドクラウン(ジルコニア) No.359806
【セラミック治療】歯並び・歯の変色・銀歯もまとめてセラミックで解決
美容歯科 / ダイヤモンドクラウン(ジルコニア) No.359796
【ヒデキ感激セラミック】変色した歯を改善したい!/40代女性
















































