症例写真(司馬孟浩)
症例写真一覧
表示件数:109件 / 350914件
若返り / ベビーコラーゲン(ヒューマラジェン/ベビーダーム) No.363181
【40代女性】目の下のクマ改善でベビーコラーゲンを目の下に注射した直後の症例写真です。
若返り / ベビーコラーゲン(ヒューマラジェン/ベビーダーム) No.358749
【40代女性】目の下のクマ改善でベビーコラーゲンを目の下に注射した症例写真です。
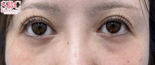
若返り / ベビーコラーゲン(ヒューマラジェン/ベビーダーム) No.358005
ベビーコラーゲンによるクマ治療(施術直後)
若返り / ベビーコラーゲン(ヒューマラジェン/ベビーダーム) No.356916
ベビーコラーゲン(目の下) 1回 1ヶ月後
若返り / ベビーコラーゲン(ヒューマラジェン/ベビーダーム) No.355271
【即効改善】ベビーコラーゲンによるクマ治療【ダウンタイムほぼなし】
若返り / ベビーコラーゲン(ヒューマラジェン/ベビーダーム) No.353747
【即効改善】ベビーコラーゲンによるクマ治療【ダウンタイムほぼなし】
若返り / ベビーコラーゲン(ヒューマラジェン/ベビーダーム) No.351367
ベビーコラーゲンによるクマの改善
美容皮膚科 / シルファームX No.333760
シルファームX +薬剤塗布(ベビースキン、ボトックス)併用 5回 1ヶ月後
美容皮膚科 / シルファームX No.340303
シルファームX+薬剤塗布(グロスファクター)併用 5回 1ヶ月後
医療ダイエット / クールスカルプティング(R)・ エリート(クルスカダブル) 他 No.338353
クールスカルプティング(腹部10エリア)1回+リポフラット(腹部ウエスト)2回併用
医療ダイエット / トゥルースカルプiD No.334184
トゥルースカルプiD(上腹部下腹部側腹部腰) 1回 2ヶ月後
医療ダイエット / 新・脂肪溶解リニアハイフ No.331626
輪郭スッキリQ+(脂肪溶解リニアハイフ) 3回施術 1ヶ月後
若返り / ヒアルロン酸 他 No.322384
ヒアルロン酸(ほうれい線頬) 1ヶ月後
若返り / 女優注射(R)~リジュラン+ボトックス~ No.319201
女優注射(額) 1回 1ヶ月後
若返り / ベビーコラーゲン(ヒューマラジェン/ベビーダーム) No.358746
【30代女性】目の下のクマにベビーコラーゲンを注入した直後の症例写真です。
医療ダイエット / FatX Core 他 No.351381
FatXCore+リニアハイフによる切らない小顔治療
医療ダイエット / FatX Core 他 No.351380
FatXCore+リニアハイフによる切らない小顔治療
医療ダイエット / FatX Core 他 No.351379
FatXCore+リニアハイフによる切らない小顔治療
医療ダイエット / FatX Core 他 No.351377
FatXCore+リニアハイフによる切らない小顔治療
医療ダイエット / FatX Core 他 No.351376
FatXCore+リニアハイフによる切らない小顔治療










































