症例写真(No.113151)

当院の症例写真は、画像処理により形や大きさをかえるような処理は一切おこなっておりません。

藤巻直人 医師

No.113151【二重・二重整形】【二重】メザイクを卒業してパッチリ二重で目ヂカラアップ(奥二重→平行型/腫れづらいバレづらい二重術)【No-204】 術後4週

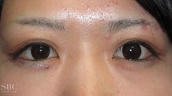
施術前

【術前】奥二重で普段はメザイクで幅広二重にしているそうです。メザイクで瞼が荒れてしまうとお悩みでした。
→

施術後

【術後4週】〜腫れづらいバレづらい二重術〜パッチリ幅広二重になりました♪この方の詳しい経過は↓をクリック
すべての画像を見る

施術した院

部位

施術

施術回数

数量

性別

施術担当者からのコメント



×

当院におけるワクチン接種後の治療間隔(ガイドライン)

美容皮膚科、美容外科小手術

前後3日(手術日は含まず)、自覚する副反応がなければ可
安心麻酔を使用するものは接種後1週間は空ける

美容外科中、大手術

前後1週間
副反応が残っている場合は延期
接種部位と手術部位が同じ場合は2週間は空ける