症例写真(No.116408)
当院の症例写真は、画像処理により形や大きさをかえるような処理は一切おこなっておりません。
中山景介 医師
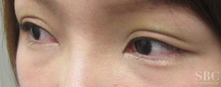
No.116408【二重・二重整形】★★★立川院中山院長の切らない二重術:クイックコスメティーク・ダブル法★★★埋没法なのに取れないフォーエバー二重術と最高に腫れないクイックコスメティーク二重術の良いトコ取り!まぶたが厚くてもしっかりした平行型ラインキープが可能!☆2014年に東日本の分院長でクイックコスメティーク法とフォーエバー二重術の執刀数が最多の立川院中山景介院長のまぶたの手術 vol .293-2(←二重モニター手術の掲載数なので、実際は年間500件以上!)☆
すべての画像を見る
施術した院
部位
施術
施術回数
数量
性別




施術担当者からのコメント