症例写真(No.160284)

当院の症例写真は、画像処理により形や大きさをかえるような処理は一切おこなっておりません。

名倉俊輔 医師

No.160284【二重・二重整形】町田院院長 名倉俊輔です!「目頭切開プレミアム+クイックコスメティーク法」 NO.194 目頭の形成は二重の埋没法と同時に行うか、二重の人が二重の形を変える時に行うことが多いです♪

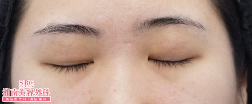
施術前

「パッチリとした瞳になりたい!」とのご相談でした。
→

施術後1ヶ月後

雰囲気が変わってとっても素敵になりましたね!
すべての画像を見る

施術した院

部位

施術

施術回数

数量

性別

施術担当者からのコメント

あなたの為に全力執刀!!


美マイスター名倉が叶える

美脚 小顔 マシュマロバスト 魅せる瞳



私名倉は町田院にて、日々美容医療に全力で取り組ませていただいております。



皆様が笑顔になり幸せになれるように、私の知識と技術を用いられれば、
私にとっても幸せなことです。
お悩みの事をなんでもご相談ください。
皆様が笑顔になれるよう、まず私が笑顔でお迎えしますね。



『パッチリとした瞳になりたい!』


とのご要望で、私名倉にご相談いただきました。



写真は、20代前半≪目頭切開プレミアム+クイックコスメティーク法≫

を受けていただいた方の、経過のお写真です。


埋没法二重術・目頭切開法は、一見単純な処置のようですが、
0.5mm単位で印象が変わってくる、とても繊細で奥深い処置です。
出来る限りご希望のラインにさせていただくべく、
私名倉も気合いを入れて、カウンセリングに臨ませていただきます。
カウンセリング・デザインはお時間をかけて丁寧にしっかりと行わせていただき、
施術は痛みを完全にとった上で繊細に丁寧にかつ、
瞼の負担を最小限にすべく無駄な動きなくスピーディーに行わせていただきます。




私名倉にご希望のラインをお伝えいただければ、思い通りのラインにさせていただきます!
≪二重術≫は、私名倉に、お任せ下さい!



×

当院におけるワクチン接種後の治療間隔(ガイドライン)

美容皮膚科、美容外科小手術

前後3日(手術日は含まず)、自覚する副反応がなければ可
安心麻酔を使用するものは接種後1週間は空ける

美容外科中、大手術

前後1週間
副反応が残っている場合は延期
接種部位と手術部位が同じ場合は2週間は空ける