お急ぎの方はお電話ください
WEB予約
メンズ専用
LINE登録
オンラインストア
SBC e Gift
SBC公式アプリ
SBC 採用サイト
医療機関検索サイトアイメッド
定額制セルフエステ
当院の症例写真は、画像処理により形や大きさをかえるような処理は一切おこなっておりません。
本間重行 医師
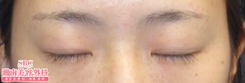
施術前
施術後1週間後
施術した院
部位
施術
施術回数
数量
性別
当院の埋没法には様々な種類がありますが、今回ご紹介するのはSBC内の数あるメニューの中でも最も腫れない埋没法、【クイックコスメティーク・ダブル】です。術前→術後1週間でもこの程度の腫れです。とても可愛くなりましたね。しかも、【クイックコスメティーク・ダブル】は術直後からお化粧可能なため、さらにバレにくいです。くい込みも無く、目を閉じてもばれにくいです。糸の結び目がまぶたの裏側(結膜側結紮)のため、埋没法後のまぶたのぼこつきはないので、眼を閉じたときも自然です。美しい二重をご希望の方は、ぜひ池袋西口院院長の本間までご相談下さい。★★instagramやってます★★instaの方ではより詳しく&沢山の症例写真を載せています!是非チェックしてみて下さい♪@shigeyuki.honma≪↓↓下の「instagram」アイコンから飛べます↓↓≫☆followme☆
前後3日(手術日は含まず)、自覚する副反応がなければ可安心麻酔を使用するものは接種後1週間は空ける
前後1週間副反応が残っている場合は延期接種部位と手術部位が同じ場合は2週間は空ける
施術担当者からのコメント
当院の埋没法には様々な種類がありますが、今回ご紹介するのはSBC内の数あるメニューの中でも最も腫れない埋没法、
【クイックコスメティーク・ダブル】
です。
術前→術後1週間でもこの程度の腫れです。
とても可愛くなりましたね。
しかも、【クイックコスメティーク・ダブル】は術直後からお化粧可能なため、さらにバレにくいです。
くい込みも無く、目を閉じてもばれにくいです。
糸の結び目がまぶたの裏側(結膜側結紮)のため、埋没法後のまぶたのぼこつきはないので、眼を閉じたときも自然です。
美しい二重をご希望の方は、ぜひ池袋西口院院長の本間までご相談下さい。
★★instagramやってます★★
instaの方ではより詳しく&沢山の症例写真を載せています!
是非チェックしてみて下さい♪
@shigeyuki.honma
≪↓↓下の「instagram」アイコンから飛べます↓↓≫☆followme☆